Sie wurden erfolgreich abgemeldet!

Oberflächenzellen der Lymphgefäße enthalten Markerproteine

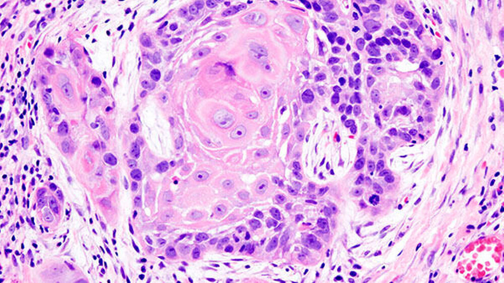
Aggressiver Mundhöhlenkrebs kann im Frühstadium erkannt werden

mg
Medizin
Mundhöhlenkrebs mit hohem Rezidivrisiko lässt sich durch die Untersuchung der Lymphgefäße des Tumors frühzeitig erkennen, zeigt eine finnische Studie.

Finnische Forscher haben erstmals entdeckt, dass die Oberflächenzellen der Lymphgefäße bei Mundhöhlenkrebs Proteine ​​enthalten, die auf Zellteilung hinweisen und die Krankheitsprogression sowie die Sterblichkeit stark vorhersagen.

Mundhöhlenkrebs ist die häufigste bösartige Tumorerkrankung im Kopf-Hals-Bereich und verursacht jährlich weltweit mehr als 188.000 Todesfälle. Anders als bei vielen anderen Krebsarten kann Mundhöhlenkrebs bereits im Frühstadium tödlich verlaufen. In Finnland, wo die Studie durchgeführt wurde, stirbt bis zu ein Fünftel der Patienten, die im Frühstadium behandelt wurden, später an der Erkrankung, schreiben die Forschenden.

„Wir benötigen Biomarker, um Hochrisikopatienten effektiver behandeln und Patienten mit besserer Prognose vor den potenziell schwerwiegenden Nebenwirkungen adjuvanter Therapien schützen zu können.“

Joni Näsiaho, Hauptautorin der Studie

Das Forschungsteam der Universität Turku und des Forschungsprojekts InFLAMES untersuchte anhand von Proben aus Mundhöhlenkrebs-Frühstadien, die von etwa 300 finnischen Patienten stammten, die Eigenschaften verschiedener Abwehr- und Strukturzellen im Tumorgewebe. Durch die Analyse mehrerer unterschiedlicher Proteinmarker machten die Forscher die überraschende Entdeckung, dass einige Tumore eine höhere Anzahl proliferierender Lymphgefäße aufwiesen als normales Gewebe. Diese hohe Anzahl proliferierender Lymphgefäße sagte das Wiederauftreten des Krebses und die Sterblichkeit besser voraus als alle anderen bisher bekannten Risikofaktoren für Mundhöhlenkrebs.

Markerproteine sind die Hinweisgeber

Lymphgefäße sind normalerweise im Mund vorhanden, aber in einer gesunden Mundhöhle teilen sich ihre Zellen selten, und Markerproteine, die auf diesen Prozess hinweisen, sind normalerweise nicht zu sehen.

„Es ist entscheidend, aggressive Krankheitsformen bereits im Diagnosestadium zu erkennen, um das erhöhte Risiko eines Rezidivs und des Todes bei der Behandlungsplanung zu berücksichtigen. Derzeit besteht die lokale Behandlung von Mundhöhlenkrebs hauptsächlich aus chirurgischen Eingriffen, und es gibt keine präzisen Methoden für die gezielte Anwendung von adjuvanten Therapien. Wir benötigen Biomarker, um Hochrisikopatienten effektiver behandeln und Patienten mit besserer Prognose vor den potenziell schwerwiegenden Nebenwirkungen adjuvanter Therapien schützen zu können“, so die Hauptautorin der Studie, Joni Näsiaho , Doktorandin an der Universität Turku und Fachärztin für Onkologie.

Besitzt der Marker ähnliche Vorhersagekraft bei anderen Krebsarten?

„Wir freuen uns über die Ergebnisse und glauben, dass die Erkenntnisse auch als praktisches Instrument für die klinische Anwendung genutzt werden könnten. Darüber hinaus wäre es interessant herauszufinden, ob der von uns entdeckte Marker eine ähnliche Vorhersagekraft bei anderen Krebsarten besitzt“, sagte Näsiaho.

Die Studie wurde in der renommierten medizinischen Fachzeitschrift Cell Reports Medicine veröffentlicht . Sie wurde vom finnischen Forschungsrat, der finnischen Krebsstiftung und der finnischen Regierung finanziert und im MediCity-Forschungslabor der Universität Turku in der Arbeitsgruppe von Prof. Marko Salmi, dem Leiter der InFLAMES-Forschungsgruppe, durchgeführt. Zusätzlich beteiligten sich drei Hals-Nasen-Ohren-Ärzte des Universitätsklinikums Turku, die Mundhöhlenkrebs behandeln und erforschen.

Näsiaho, Joni et al., Spatial single-cell analysis reveals tumor microenvironment signatures predictive of oral cavity cancer outcome, Cell Reports Medicine, Volume 7, Issue 2, 102615, DOI: 10.1016/j.xcrm.2026.102615

Melden Sie sich hier zum zm Online-Newsletter an

Die aktuellen Nachrichten direkt in Ihren Posteingang

zm Online-Newsletter


Sie interessieren sich für einen unserer anderen Newsletter?
Hier geht zu den Anmeldungen zm starter-Newsletter und zm Heft-Newsletter.