So sollte jeder Patient behandelt werden
Voraussetzung für eine komplikationslose Arzt-Patienten-Beziehung ist nicht die Umsatzerwartung, sondern die richtige Einschätzung des Patientenwunsches. Informationen über die Möglichkeiten, die Erwartungshaltung des Patienten und die Aufklärung über die Behandlung und deren Kosten sind Kernleistungen im Tagesgeschäft. Die Verantwortung für den Mund und das Bewusstsein für die Bedeutung eines gesunden Mundes sind in der Zahnärzteschaft fest verankert.
Die Neuentwicklungen aus Praxis, Wissenschaft und Industrie und das durch die globalen Märkte entstandene forcierte wirtschaftliche Umdenken machen eine systematische Behandlung auf medizinischer und wirtschaftlicher Grundlage notwendig. Therapiesicherheit, Kostenbewusstsein und ein strukturiertes Vorgehen sind Voraussetzungen für den Erfolg der Behandlung. Die Kernaufgabe ist es, dem Patienten eine klare, medizinisch verständliche und wirtschaftlich attraktive Lösung anzubieten. Zu koordinieren sind Patientenwunsch, Erkrankungsumfang, Therapie und resultierende Kosten.
Praxisgerechte Implantologie
Die fachlichen Weiterentwicklungen in der Implantologie vollziehen sich in drei Teilbereichen:
• medizinische Indikationsstellung
• Behandlungskonzeption
• mikrochirurgische Realisation
Die Integration und Vernetzung dieser Bereiche in das Praxiskonzept Implantologie ist eine kreative Herausforderung, die dann Spaß macht und gelingt, wenn die wirtschaftliche Abhängigkeit der Praxis oder die Profitmaximierung nicht ausschließlich auf implantologischer Grundlage ruhen.
Die Aufnahme der Medizin in das Praxiskonzept wird erfüllt durch:
1. Einbindung des parodontalen Behandlungsspektrums vor der Implantation.
Die wirtschaftliche Realisation gelingt durch Konzentration des Therapiefokus auf die Molarenstützzonen. Dabei gelten zwei Grundregeln:
2. Vermeidung von herausnehmbarem Zahnersatz bei prothetisch bislang unversorgten Patienten
3. Entlastung parodontal schadhafter Pfeilerzähne nach langjähriger prothetischer Tragezeit durch gezielte Pfeilervermehrung (Wiederherstellung der Einzelzahnversorgung durch Implantation)
Die mikrochirurgische Umsetzung (Defensivtherapie) umfasst folgende Eckpunkte:
4. Frühzeitige Implantation zur Vermeidung kostenintensiver patientenbelastender Augmentationen
5. Realisation periointegrativer Maßnahmen (Volumenunterstützung durch Weichgewebsmanagement) während der Implantation oder bei Freilegung (meistens)
6. Anwendung von Mikroinzisions- und Nahttechniken
Die Einhaltung des genannten Strukturfadens (Behandlungslogik) mit konsequenter Umsetzung der genannten Zielbausteine vor der Implantation (1), während der Implantatplanung (2 bis 3) und der intraoperativen Durchführung (4 bis 6) ermöglicht eine medizinisch sinnvolle, wirtschaftlich vernünftige und patientengerechte Integration der Implantologie in die Gesamtsanierung [Stefanac und Nesbit, 2006].
Parodontologie und Implantologie
Eine praxisgerechte Implantologie vereint die medizinisch sinnvolle Zahnerhaltung mit einer Implantation zur Pfeilervermehrung.
Herausnehmbarer Zahnersatz soll zugunsten einer besseren Lebensqualität durch eigene Zähne oder Implantate vermieden werden. Darauf sollte der Zahnarzt bereits in der parodontalen Grunduntersuchung hinweisen und dem Patienten entsprechende Therapiemöglichkeiten darstellen.
Therapiefokus Medizin
Parodontitis ist eine chronische Erkrankung des Mundraums mit vielschichtigen Ursachen- und Entwicklungsfaktoren. Dazu zählen in Analogie zu chronischen Erkrankungen des Körpers die Dispositionen für Entzündungen, Stress, Rauchen und die lokale Erregerlage. Ein erhöhter Blutzuckerspiegel, Hypertonie, hohe Blutfettwerte und Übergewicht sowie die durch langjährige Entzündungen bedingte perivaskuläre Ansammlung von Gewebeflüssigkeit (Ödeme) sind weitere Belastungsfaktoren. Die Therapie fortgeschrittener und schwerer Parodontalerkrankungen erhält unter dem Fokus Entzündung mit der daraus resultierenden Negativbilanz auf die Gefäßdurchlässigkeit, die Organperfusion (Durchblutung) und die Stoffwechsellage eine unmittelbare praktische Bedeutung.
Die Medizinrelevanz des Fachgebiets Parodontologie besteht aus vier Kernbausteinen, und ist eine empfehlenswerte Vorbereitung für die spätere Implantation:
1. Entzündung: Entzündungsfelder im Körper führen zu einer Vielzahl von Staugebieten wie Ödemen, chronischen Flüssigkeitsräumen und mehr und belasten das Immunsystem durch Rückresorption. Mit zunehmendem Lebensalter (50-Plus-Patienten) verlangsamt sich infolge des reduzierten Zell-Turnovers die Körperabwehr. Eine Parodontalbehandlung wird immer wichtiger.
2. Biofilm: Bakteriengifte und ihre Zerfallsprodukte gelangen direkt in den Körper (Bakteriämie) oder werden indirekt über den Darm (Resorption) aufgenommen. Neben der Antikörperbildung sind Schwachstellen wie Herzklappen, Implantate und das an Übertragungsprozessen im Gehirn beteiligte nicht vaskularisierte Gehirnfett besonders gefährdet (Schlaganfall). Die Reduktion des Biofilms vermindert das Gefahrenpotenzial.
3. Gefäßschäden: Die Gefäßbelastung durch Antigene, Gifte, Fette und Reaktionsprodukte des Immunsystems resultiert in einer chronischen Entzündung der Gefäßwände, zunächst mit erhöhter Durchlässigkeit und perivaskulären Staufeldern. Später entsteht als Gegenreaktion der Gefäßmedia eine Verdickung (Ablagerung) und Verhärtung – Initiatoren der arteriellen Hypertonie (Abbildung 1).
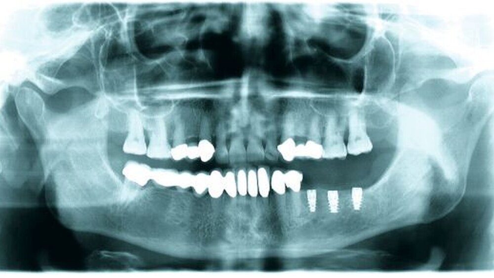
4. Prävention von Allgemeinerkrankungen: Die eigentliche Wertschöpfung der Parodontologie besteht in der Kontrolle organbedingter Entzündungen, der Verbesserung des Biofilms und der Verminderung der vorschnellen Gefäßalterung als wesentlicher präventivmedizinischer Therapiekomplex zur Förderung der Allgemeingesundheit.
Zu den Kernkompetenzen moderner Zahnheilkunde gehört es, dem Patienten die genannten medizinrelevanten Einflussgrößen bewusst zu machen und sie bedarfsbezogen in die zahnärztliche Behandlung zu integrieren. Dies bedeutet Kommunikation, Transparenz und eine defensive Therapiewahl im Sinne der Zahnerhaltung. Therapiefokus ist die Lebensqualität.
Die medizinischen Sachkenntnisse sind je nach Interesse und persönlichen Vorerfahrungen durch sorgfältige Beobachtungen des Lebensalltags, beginnend in der eigenen Familie, und durch das Studium medizinischer (nicht zahnärztlicher) Fachliteratur in einem Zeitfenster von einem halben bis zu zwei Jahren erlernbar. Die praktischen Details zum Ablauf der parodontalen Zieltherapie sind bereits mehrfach publiziert [Buchmann, 2006, 2008, 2010] und als Fachbuch zusammengestellt [Buchmann, 2010].
Extraktion und Implantation
Es gilt zu unterscheiden zwischen prothetisch nicht versorgten Patienten und Personen mit langjähriger Tragedauer von festsitzendem Zahnersatz:
• Prothetisch unversorgte Patienten sind häufig junge Menschen mit gutem Allgemeinzustand, unauffälliger Medikation und Reaktionslage. Zunächst müssen aufgrund der guten Konstitution und geringen Defektgrößen alle Möglichkeiten der Regenerationstherapie ausgeschöpft werden.
Achtung: Regenerationseffekte sind in der Vorhersage unsicher und stellen sich langfristig ein. Bei umfangreichen Substanzdefekten mit endodontischer Beteiligung ist die Implantation sicherer und aus Kostengründen zu befürworten. Endodontie, gegebenenfalls Revision, adhäsive Stiftversorgung und Zahnersatz sind aufwendiger.
• Bei erwachsenen und älteren Patienten mit langjähriger Tragedauer von festsitzendem Zahnersatz findet sich in der Praxis häufig ein altersgemäßer horizontaler Knochenabbau, kombiniert mit Vertikalschäden auf prothetischen Pfeilerzähnen. Der Horizontalabbau kann nicht behandelt werden. Die Ursache der Vertikaldefekte liegt in einer Überlastung der Prothetikpfeiler. Eine altersund gebrauchsbezogene Biss-Senkung, Fehlfunktionen durch Habbits (Pressen, Knirschen) und eine Überalterung des Zahnersatzes sind die Kernursachen der Vertikalschäden. Eine parodontale Regenerationsbehandlung ist daher wenig aussichtsreich. Die Behandlungskonzeption umfasst eine gezielte Extraktion mit Pfeilervermehrung durch Implantation und einer aus wirtschaftlicher Sicht funktionell verkürzten Zahnreihe.
Für die Therapieentscheidung zur Extraktion bei Furkationsbefall muss ebenfalls zwischen prothetisch unversorgten und überkronten Pfeilerzähnen unterschieden werden. Die nachfolgenden Empfehlungen gelten für natürliche Zähne (Abbildung 2):
Oberkiefer: Ab mehr als 50 Prozent an horizontalem Knochenabbau gilt Implantationsempfehlung, da Furkationseingänge freiliegen, eine korrekte Reinigung durch den Patienten nicht mehr möglich ist, und auch bei guter Knochendichte die Entzündung unterhalb des Zahnfleisches weiter fortschreitet (Abbildung 3). Vor Implantation erfolgt eine Ausheilzeit von vier bis sechs Monaten, da die Implantation der parodontal erkrankten Oberkiefer-Prämolaren und Molaren häufig mit einem Sinuslift kombiniert werden muss.
Unterkiefer: Bei Furkationsbefall Grad III (durchgängig) und schlitzförmiger Wurzelmorphologie bis in Apexnähe, häufig bei zweiten Molaren, sinkt die Zahnprognose drastisch. Karies in der Wurzelteilungsstelle, Seitenkanäle im Furkationsgebiet oder Kanalobliterationen erschweren die Behandlung. Betroffene Zähne sind in der Vorbehandlung zu entfernen.
Bei ZE-versorgten Zähnen, insbesondere Brückenpfeilern, gelten aus Zugangsgründen (Kronenrandlage), funktioneller Sicht (Überlastung) oder Substanzschäden (Kronenkaries, Schwächung durch Stiftversorgung) strengere Empfehlungen. Hier kann bereits bei Furkationsbefall Grad II zum Schutz von Nachbarzähnen, bei Raumbeengung oder aus Hygienegründen eine Extraktion sinnvoll sein [Lundgren et al., 2008; Cochran et al., 2009; Popelut et al., 2010; Walter et al., 2010].
Behandlungsplanung Implantologie
Eine strukturelle Voraussetzung hierfür ist die frühzeitige Information und Aufklärung der Patienten. Sind die anatomischen Verhältnisse des Knochens und des Weichgewebes zum Zahnerhalt aussichtsreich, erfolgt wie in der Medizin die Prolongation der Erkrankung und die Sicherung des Zahnbestands durch Parodontaltherapie.
Bei fortgeschrittenen Schäden von mehr als 50 Prozent Knochenverlust und Befall der Wurzelteilungsregion leidet der Patientenkomfort, werden die Behandlungs-prognosen unsicher und die Nachkontrollen häufiger [Faggion et al., 2007].
Hier fällt die Entscheidung zur Fortsetzung des Zahnerhalts für Patienten, die chronisch krank sind, Implantate ablehnen oder sich bewusst für medizinische Defensivlösungen entscheiden.
Für den Normalpatienten ist auf Basis der schlechten Knochenprognose bei fortgeschrittenen Parodontalschäden im Oberkiefer eine rechtzeitige Aufklärung zur Entfernung der zweiten und der dritten Molaren angezeigt: Implantation und prothetische Versorgung erfolgen in den Kernbereichen bis zum ersten Molaren. Im Unterkiefer können die zweiten Molaren aufgrund der günstigeren Knochenanatomie belassen werden. Sie sollten restauriert, jedoch nicht in die Implantatplanung integriert werden. Nach Entfernung des ersten Molaren im Oberkiefer ist die Implantation mit Sinusbodenelevation erforderlich. Wird an Nachbar- oder strategisch wichtigen Zähnen eine parodontale Regenerationschirurgie notwendig, erfolgt diese zeitgleich mit der Implantattherapie. So wird die operative Belastung für den Patienten reduziert.
Daraus ergibt sich folgende Therapieplanung mit konzeptionell verkürzter Zahnreihe, die sich in der Praxis seit Jahren bestens bewährt (Abbildungen 4, 5, 6) [Luthardt et al., 2000; Jivraj und Chee, 2006]:
• prothetische Neuversorgung OK, UK bis zum ersten Molaren
• OK-, UK-Pfeilervermehrung durch Implantation
• UK: zweiten Molaren belassen, restaurieren, nicht in die ZE-Planung integrieren
• OK: Prämolaren und ersten Molar erhalten, bei Furkationsbefall Grad III Extraktion mit Sinusbodenelevation
• Langzeitprovisorien (Kosten!) nur bei beabsichtigter Veränderung der Vertikaldimension (Bisshöhe)
• Regenerationstherapie auf klinisch feste (Pfeiler-)Zähne beschränken
• Prothetikpfeiler unter herausnehmbarem Zahnersatz belassen, restaurieren, nicht für regenerative Chirurgie vorsehen
Spezielle Implantologie
Langjährige atrophische Knochenverhältnisse und parodontale Defizite erfordern zusätzliche augmentative Lösungen. Aufgrund mangelnden Knochenvolumens ist eine Primärimplantation häufig nicht möglich, was für Patient und Zahnarzt einen sechs- bis achtmonatigen Zeitverzug in der Therapie bedeutet. Wie in der Parodontologie ist der Einsatz von Fremdmaterialien (Nanobone, BioOss) in der Augmentation nur bei kleinen Volumenschäden medizinisch empfehlenswert. Der Füllanteil des partikulierten Knochens, gewonnen mit Bone-Trap, Bone-Scraper oder Knochenmühle sollte immer mehr als 50 Prozent betragen. In Anbetracht der komplexen chirurgischen und technischen Anforderungen an den Zahnarzt und das OP-Team, verbunden mit hohen Implantationskosten, ist für den Behandlungsablauf Implantologie/Augmentation folgende Behandlungskonzeption ratsam (Abbildung 7):
1. Hinweis auf erforderliche Implantatversorgung mit Nennung des/r Implantationsgebiete/ s in parodontaler Basisuntersuchung. Vorläufige Preisangaben helfen bei der Entscheidungsfindung.
Grunduntersuchung Implantologie: Nach erfolgter PAR-Therapie und/oder Zahnentfernung erfolgen Definitivplanung mit präoperativem OPG, Beurteilung der Kieferkammbreite (Schieblehre) und Erstellung des Kostenvoranschlags IMP, Abformung für Messschablone, DVT (Kosten!) nur bei kritischem Knochenangebot oder Anatomie [Walter et al., 2009].
2. Revision des vorhandenen Zahnersatzes (Trennung, gegebenenfalls Provisorien) im IMP-Bereich nach Erstellung des Kostenvoranschlags (Abbildungen 5 und 6)
3. Die Implantation erfolgt in der Regel in Lokalanästhesie, auf Patientenwunsch und bei zeit intensiver Augmentation in ambulanter intravenöser Sedierung mit Dormicum (nur bei ausreichender Erfahrung, sonst Anästhesist), ansonsten in ambulanter Intuba tionsnarkose. Aus Zeitgründen, Kräfte mangel und Patientenrücksichtnahme sollte die Implantation auf das Front- oder Seitenzahngebiet pro Kiefer beschränkt werden.
4. Die externe Sinusbodenelevation ist mit lateraler Knochendeckelentnahme mittels Piezosurgery durchzuführen. Die Augmentation sollte mit Knochenchips plus Füller (weniger als 50 Prozent) erfolgen (Abbildungen 8 bis 15). Eine geringe Perforation der Sinusschleimhaut ohne Augmentation ist unschädlich. Perforationen bei Augmentation des Sinus durch Nahtverschluss und/ oder Abdeckung mit Kollagenmembran (BioGide) versorgen. Eine simultane Implantation bei Restknochenhöhen von mehr als vier mm ist möglich [Listl und Faggion, 2010]. Zeitgleich erfolgt die parodontale Regenerationschirurgie an den Nachbarzähnen im OP-Gebiet.
5. Bei Volumendefizit ist die laterale Augmentation mit retromolarem Knochenblock (Piezosurgery, Mectron; FRIOS MicroSaw, Dentsply Friadent), kortikalem Bone-Shield, Distanzfixierung mit Stoma Micro-Screw-Set und Auffüllung mit partikuliertem Knochen nötig [Khoury, 2009]. Der Volumenaufbau ähnelt einem kortiko-spöngiösem Augmentat (Abbildungen 16 bis 27).
Wichtig: Die Implantation sollte aufgrund der Resorptionsgefahr bereits nach drei Monaten erfolgen.
6. Nach langandauerndem Eingriff mit Augmentation (meist mehr als zwei Stunden) sollten Solu-Decortin H 250 mg, zehn Tabletten (Wirkstoff: Prednisolon-21-hydrogensuccinat, antiinflammatorisch, immunsuppressiv) und Cindamyin 600 mg, 20 Tabletten oder Amoxicillin 1000 mg, 20 Tabletten verordnet werden.
7. Keine Belastung des Augmentats in der Einheilphase (drei Monate), Prothesen dürfen nicht getragen werden. Eingliederung von temporärem Ersatz auf verbleibenden oder parodontal schadhaften, später zu entfernenden Zähnen, alternativ temporäre Implantate zur funktionellen Abstützung (Kosten!)
8. Periointegration: Die vertikale Breitenverbesserung erfolgt durch Edlan-Mejchar-OP im Unterkiefer, im Oberkiefer durch apikalen Verschiebelappen während der Implantation. Alternativ dient ein freies Schleimhauttransplantat in der Einheilphase. Bei lateralem Volumendefizit: Rolllappentechnik, Bindegewebstransplantation zusätzlich je nach Erfordernis.
Aufgrund des vitalen Knochenmaterials unterliegt das kortiko-spöngiöse Augmentat geringen Volumenschrumpfungen. Bei Augmentation innerhalb der Knochenkontur sind die Resorptionen gering, außerhalb der Kontur aufgrund der funktionellen Belastung (Muskelzüge) größer. Dies gilt ebenso für den Seitenzahnbereich (gering) und das Kinn (größer). Geringe Resorptionen werden durch einen kleineren Implantatdurchmesser, eine weitere orale Implantation – sofern prothetisch möglich – und die Angulation des prothetischen Abutments kompensiert.
Kurze Implantate
Aufgrund natürlicher biologischer Resorptionen, Probleme in der Einheilung und Dauerstabilität des Knochenblocks sind komplexe Knochenaugmentationen medizinisch risikoreicher, zeitaufwendiger und kostenintensiver. In anatomischen Grenzsituationen oder in ästhetisch wenig anspruchsvollen Situationen sind daher kurze Implantate eine Alternative zur chirurgischen Augmentation (Abbildungen 28, 29). Eine schlechte Knochenqualität (D3/D4), vestibuläre Knochendefizite und hohe mechanische Belastungen gelten als Kontraindikationen. Für die Überlebensdauer sind wie bei konventionellen Versorgungen die horizontale Breite des Kieferkamms als Grundlage für die funktionelle Sicherung, die Vaskularisation sowie die Ernährung ausschlaggebend.
Zusammenfassung
Die Implantologie ergänzt das Therapiespektrum, wenn die Zahnerhaltung nicht aussichtsreich ist. Aufklärung und Entscheidung zur Implantation sollten frühzeitig erfolgen, um aufwendige und therapieunsichere kostenintensive Augmentationen zu vermeiden. Sofern Parodontologie und Implantologie keine Eigenwege beschreiten, erzielen sie durch Synergieeffekte kompakte, nachvollziehbare Lösungen für den Patienten. Komplikationen werden reduziert, wenn erweiterte medizinische Kenntnisse mit einer patientengerechten Behandlungskonzeption koordiniert werden. Mit der Inte gration der Medizin, der Mikrochirurgie und einer defensiven Implantologie, kurzen Anfahrtswegen und einer guten Patienten bindung steigen die Chancen der Zahnärzteschaft, den traditionell hohen Vertrauensvorschuss in der Bevölkerung gegenüber Spezialisten und Zahnkliniken weiter auszubauen.
Prof. Dr. Rainer BuchmannFachzahnarzt ParodontologieDr. Gerhard KochhanFachzahnarzt OralchirurgieKönigsallee 12, 40212 Düsseldorfinfo@rainer-buchmann.depraxis@dr-kochhan.de




