Ein bösartiger Hauttumor mit steigender Inzidenz – das Merkelzellkarzinom
Auf Nachfrage berichtete die Patientin von einer für sie wahrnehmbaren Größenprogredienz der oben genannten Hautveränderung seit zwei Monaten. Bei der klinischen Untersuchung zeigte sich der beschriebene Befund als schmerzlose 2,1 x 0,8 cm messende, prall elastische Gewebeproliferation im Bereich der äußeren Wange (Abbildungen 1a und 1b), die die Patientin selbst als ästhetisch störend empfand. Aus ihrer Kranken-anamnese ergab sich neben einer ausgeprägt kardialen Beeinträchtigung (Aortenstenose II°, permanentes Vorhofflimmern und NYHA Klasse III) kein Hinweis für das Vorliegen dermaler Tumoren.
Zur histopathologischen Dignitätsklärung der hochgradig Malignom-verdächtigen Gewebeveränderung erfolgte die diagnostische Befundexzision mit Sicherheitsabstand sowie temporärer Deckung mittels Kunsthaut und Überknüpfverband noch in derselben Woche (Abbildungen 2a und 2b).
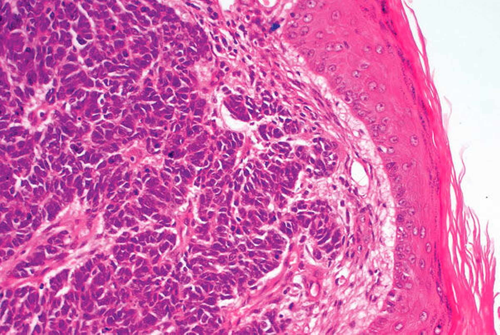
Der Befund zeigte ein R0-reseziertes Merkelzellkarzinom mit multiplen Lymphgefäßeinbrüchen, wobei die tumorfreien Sicherheitsabstände mit 4 mm in horizontaler und 1 mm in basaler Richtung entsprechend der aktuell gültigen S2k-Leitlinie als unzureichend gewertet werden mussten (Abbildung 3). Die beim Merkelzellkarzinom immunhistologisch etablierten Marker CK20 und Synaptophysin waren positiv, der Ki-67-Proliferationsindex lag bei 50 Prozent. Zum Ausschluss einer stattgehabten Lymphknoten- und Fernmetastasierung erfolgte anschließend das weitere Staging mithilfe der sonografischen Halslymphknotenuntersuchung und der Kontrastmittelgestützten CT-Schnittbildgebung der Kopf-Hals-Region sowie von Thorax und Abdomen. Bei klinisch-radiologischer cN0-Situation wurden entsprechend des interdisziplinären Tumorboard-Entscheids die Sentinel-Lymphknotenbiopsie mit Nachexzision des ehemaligen Tumorbetts sowie die plastische Defektdeckung mittels Vollhauttransplantation durchgeführt (Abbildungen 4a bis d). Bei histopathologisch nachgewiesener Lymphknotenmetastasierung erfolgte unter Berücksichtigung des hohen Alters und der umfangreichen Komorbiditäten der Patientin anschließend die isoliert adjuvante Strahlentherapie ohne die beidseitige Ausräumung der Halslymphknoten.
Im Rahmen der postoperativen Nachsorge erwies sich die Einheilung des Vollhauttransplantats unter der laufenden Strahlentherapie als suffizient (Abbildungen 5a bis c). In der klinischen Verlaufsbeobachtung von nunmehr einem halben Jahr zeigte sich kein Hinweis auf ein Rezidiv.
Diskussion
Diese Falldarstellung thematisiert mit dem Merkelzellkarzinom (MCC) einen äußerst seltenen primären, neuroendokrinen Tumor der Haut unklarer Genese, der vornehmlich im Bereich der Gesichtshaut älterer Patienten (mittleres Lebensalter 70 Jahre) auftritt [Oram, Bartus et al., 2016]. Erhebungen zufolge geht man derzeit von einer stetig zunehmenden Inzidenz (aktuell 0.4/100.000 pro Jahr) und Mortalität aus [Han, North et al., 2012]. Ätiologisch gilt, nicht zuletzt aufgrund der bevorzugt fazialen Lokalisation und dem gehäuften Auftreten in der Bevölkerung sonnenreicher Regionen, wie Westaustralien [Han, North et al., 2012], eine anamnestisch gesteigerte UV-Exposition als Hauptursache in der Karzinom-entstehung, wobei eine vorliegende Immunsuppression oder Immundefizienz ebenfalls einen wichtigen Risikofaktor darstellt [S2k-Kurzleitlinie, 2012; Oram, Bartus et al., 2016].
Beachtet werden muss hierbei das häufig synchrone Vorliegen von Zweitkarzinomen wie einem kutanen Plattenepithelkarzinom, einem malignen Melanom oder einem Basalzellkarzinom [Donepudi, DeConti et al., 2012; Oram, Bartus et al., 2016]. Das im Jahr 2008 neu identifizierte human-onkogene Merkelzell-Polyomavirus (MCPyV) gilt ebenso mit als Hauptverursacher des MCC. In diesem Zusammenhang zeigte eine Studie von Feng et al. den positiven Virusnachweis bei 80 Prozent der untersuchten MCC-Fälle [Feng, Shuda et al., 2008]. Da Viren auch im Trachealsekret nachgewiesen wurden, gilt das Virus als über die Atemluft übertragbar, so dass aktuelle Untersuchungen von einer 80-prozentigenn Durchseuchung der Gesamtbevölkerung ausgehen.
Die Seltenheit der Tumormanifestation erklärt sich durch den bei gesunden Virusträgern ausschließlichen Nachweis der nichtmutierten Wildtyp-Virusvariante. Die Mehrheit der aus MCC isolierten MCPyV-Genome zeigten jedoch mindestens zwei Mutationen, welche eine Übertragung ausschließen [Shuda, Feng et al., 2008; Bhatia, Afanasiev et al., 2011]. Klinisch zeichnet sich das Merkelzellkarzinom durch ein schnelles Wachstum und die auch in dem vorliegenden Fall beobachtete charakteristische violett-blau-rot-kugelige Form mit glatt glänzender Oberfläche aus [Goessling, McKee et al., 2002; S2k-Kurzleitlinie, 2012]. In seltenen Fällen kann es auch zu einem plaqueartigen Wachstum kommen, das jedoch vornehmlich im Bereich des Körperstamms auftritt [S2k-Kurzleitlinie, 2012]. Die Tumorgröße liegt zum Zeitpunkt der Diagnosestellung bei durchschnittlich 20 mm, wobei es sich klassischerweise um einen schmerzlosen Lokalbefund handelt.
Zusammenfassen lässt sich die Charakteristik des Merkelzellkarzinoms mit dem Akronym „AEIOU“, wobei A für asymptomatisch, E für rasche Expansion, I für immunsupprimiert, O für ältere (older) Patienten und U für die UV-Assoziation steht [Heath, Jaimes et al., 2008]. Erstbeschreiber des MCC war im Jahr 1875 der deutsche Pathologe Sigmund Merkel, der den Tumor als epidermalen Ursprungs, mit nicht-dendritischem und nicht-keratinisierendem Wachstumsmuster charakterisierte. Heute herrscht Uneinigkeit über die Zugehörigkeit der Karzinomzellen, wobei die eindeutige histogenetische Verbindung mit den physiologisch vorkommenden Merkelzellen bisher nicht sicher nachgewiesen werden konnte [Oram, Bartus et al., 2016].
In der HE-Färbung zeigen sich die meist mittelgroßen Zellen klassischerweise monomorph mit hyperchromatisch gelappten Zellkernen und einem schwach gefärbten Zytoplasma. In der Literatur häufig beschrieben wird die histopathologische Ähnlichkeit von MCC mit der des Lymphoms, des kleinzelligen Bronchialkarzinomen, mit Neuroblastomen, Rhabdomyosarkomen und Ewing-Sarkomen, wobei die Abgrenzung zum kleinzelligen Bronchialkarzinom aufgrund seiner Häufigkeit von besonderer Bedeutung ist [Oram, Bartus et al., 2016]. Potenzielle zur sicheren Abgrenzung herangezogene immunhistologische Marker sind Chromogranin und Neuron-spezifische Enolase (NSE), wobei Synaptophysin, Melan-A, S100 und Cytokeratin 20 am häufigsten verwendet werden [Han, North et al., 2012; S2k-Kurzleitlinie, 2012; Oram, Bartus et al., 2016].
Staging und Prognose
Unabhängig von der Tumorgröße empfehlen aktuelle Studien, nicht zuletzt aufgrund fehlender Leitlinienprotokolle, neben der klinisch-sonografischen Untersuchung des Lymphabstromgebiets die standardmäßige Sentinel-Lymphknotenbiopsie bei allen Betroffenen im Rahmen des Stagings [Han, North et al., 2012; Oram, Bartus et al., 2016]. In diesem Zusammenhang zeigte der Einsatz moderner bildgebender Verfahren wie dem PET/CT (Positronen-Emissions-Tomografie) vielversprechende Ergebnisse und ist damit Bestandteil aktueller Untersuchungen [Poulsen, Macfarlane et al., 2018].
Bezüglich der Prognose liegt die durchschnittliche 5-Jahresüberlebensrate bei einer Tumorgröße kleiner/gleich 2 cm und einer negativen Lymphknotenmetastasierung (c/pN0) bei 66 Prozent. Bei positivem Lymphknotenstatus (pN+) reduziert sich die 5-Jahresüberlebensrate hingegen bereits auf 26 bis 42 Prozent sowie auf lediglich 18 Prozent bei positiver Fernmetastasierung (cM1) [Donepudi, DeConti et al., 2012; Oram, Bartus et al., 2016].
Therapie
Bei der Therapie des Merkelzellkarzinoms gilt das chirurgische Vorgehen mit adjuvanter Strahlentherapie weiterhin als Goldstandard [National Comprehensive Cancer Network, 2017]. Allgemein anerkannt ist dabei die histologisch kontrollierte Tumorentfernung unter Respektierung der anatomischen Nachbarstrukturen mit einem Sicherheitsabstand von mindestens 2 cm. Ist die Diagnose aufgrund der klinisch eindeutigen Befundcharakteristik wahrscheinlich und eine ausgedehnte Lokalexzision erforderlich, wird die synchrone Durchführung von Karzinomexzision und Sentinel-Lymphknotenbiopsie empfohlen. Präoperativ durchgeführt werden soll die Sentinel-Lymphknotenbiopsie bei geplanter Tumorentfernung mit intraoperativ-histopathologischer Kontrolle der Absetzungsränder auf Tumorfreiheit (Mohs-Chirurgie). Andernfalls ist bei beiden Vorgehensweisen eine Verfälschung des szintigraphischen Untersuchungsergebnisses durch eine Veränderung des Lymphabflusses nicht auszuschließen [Han, North et al., 2012; Oram, Bartus et al., 2016]. Aufgrund der hohen lymphogenen Metastasierungsrate von MCCs im Kopf-Hals-Bereich, sollte bei positivem Sentinel-Lymphknotennachweis eine therapeutische Lymphknotenausräumung der betroffenen Region oder zusätzlich der kontralateralen Region, bei Manifestation im Bereich der Mittellinie durchgeführt werden [Fields, Busam et al., 2011; Hoetzenecker, Guenova et al., 2011; S2k-Kurzleitlinie, 2012]. Die Durchführung einer adjuvanten Strahlentherapie im Bereich des Tumorbetts und des Lymphabstromgebiets wird aufgrund der hohen Lokalrezidivrate sowohl für Primärkarzinome als auch für Lokalrezidive empfohlen [Ghadjar, Kaanders et al., 2011]. Demgegenüber stehen Studienergebnisse, die keinen Unterschied in Bezug auf die Lokalrezidivrate im Vergleich zwischen primär und adjuvant strahlentherapeutisch behandelten Patienten zeigen konnten [Han, North et al., 2012]. Chemotherapeutika spielen aufgrund der ausgeprägten Resistenzbildung der MCC gegenüber den meisten Wirkstoffen aktuell eine eher untergeordnete Rolle und sind vornehmlich als palliative Therapieoption bei stattgehabter Fernmetastasierung zu heranzuziehen.
Besonders erwähnt werden muss in diesem Zusammenhang der Einsatz der neuartigen als „Checkpoint Inhibitoren“ bekannten Immuntherapeutika. Als monoklonale Antikörper verabreicht hemmen sie die malignominduzierte peritumorale Immunsuppression und machen die Tumorzellen dadurch zugänglich für die körpereigene Immunantwort. Als Mitglied der Immunglobulin-Superfamilie und Angriffsort für die genannten Immuntherapeutika ist das Oberflächenprotein PD-1 (Programmed cell death protein 1) an der Hemmung der körpereigenen Immunantwort beteiligt und fungiert damit als Angriffsort für den monoklonalen Antikörper Pembrolizumab® (anti-PD-1 Ak).
Nach positivem Nachweis einer gesteigerten PD-L1-Expression beim Merkelzellkarzinom [Afanasiev, Yelistratova et al., 2013] konnte unter Verwendung der monoklonalen PD-1-Immun-Checkpoint-Inhibitoren Pembrolizumab [Nghiem, Bhatia et al., 2016], Avelumab [Kaufman, Russell et al., 2016] und Nivolumab im Rahmen klinischer Studien eine Verbesserung des progressionsfreien Überlebens gezeigt werden, was in den USA zur FDA-Medikamentenzulassung bei der Behandlung des metastasierten Merkelzellkarzinoms führte – unabhängig davon, ob zuvor eine Chemotherapie durchgeführt wurde oder nicht [National Comprehensive Cancer Network, 2017].
Nachsorge
Aufgrund des hohen Lokalrezidiv-Risikos wird während des ersten Jahres nach Tumorentfernung eine engmaschige Nachsorge im sechswöchigen Intervall empfohlen, anschließend eine Ausdehnung der Intervalle auf einen vierteljährlichen Abstand für 12 Monate und alle sechs Monate während der darauffolgenden fünf Jahre. Zusätzlich wird empfohlen, die Patienten in die regelmäßige Selbstuntersuchung einzuweisen.
Dr. Daniel G. E. Thiem
Klinik und Poliklinik für Mund-, Kiefer- und Gesichtschirurgie
Universitätsmedizin Rostock
Schillingallee 35, 18057 Rostock
Prof. Dr. Andreas Erbersdobler
Direktor des Institutes für Pathologie
Universitätsmedizin Rostock
Strempelstraße 14, 18055 Rostock
PD. Dr. Dr. Bassam Saka
Leitender Oberarzt und stellvertretender Klinikdirektor
Klinik und Poliklinik für Mund-, Kiefer- und Gesichtschirurgie
Universitätsmedizin Rostock
Schillingallee 35,18057 Rostock
PD. Dr. Dr. Peer W. Kämmerer, MA, FEBOMFS
Leitender Oberarzt und stellvertretender Klinikdirektor
Klinik und Poliklinik für Mund-, Kiefer- und Gesichtschirurgie
Universitätsmedizin Mainz
Augustusplatz 2, 55131 Mainz
Fazit für die Praxis
Bei älteren Patienten mit einem rasch wachsendem rot-violett-knotigem Hauttumor ist das Merkelzellkarzinom als Differentialdiagnose mit einzubeziehen.
„AEIOU“ als Akronym für das charakteristische Erscheinungsbild des Merkelzellkarzinoms (A = asymtomatisch; E = rasche Expansion; I = immunsuppremierte Patienten; O = ältere (older) Patienten; U = UV-Strahlung).
Umgehende Überweisung zum Facharzt für Dermatologie oder Mund-, Kiefer- und Gesichtschirurgie bei Verdacht auf Vorliegen eines Merkelzellkarzinoms bei früher Lymphknotenmetastasierung.
Regelmäßige und engmaschige Nachsorge des Patienten bei hoher Lokalrezidivrate.
Ausschluss von möglichen Zweitkarzinomen wie eines Basalzellkarzinoms, kutanen Plattenepithelkarzinoms oder malignen Melanoms.
Literaturliste
Afanasiev, O. K., L. Yelistratova, N. Miller, K. Nagase, K. Paulson, J. G. Iyer, D. Ibrani, D. M. Koelle and P. Nghiem. „Merkel polyomavirus-specific T cells fluctuate with merkel cell carcinoma burden and express therapeutically targetable PD-1 and Tim-3 exhaustion markers.“ Clin Cancer Res 19(19): 5351-5360, (2013)
Bhatia, S., O. Afanasiev and P. Nghiem. „Immunobiology of Merkel cell carcinoma: implications for immunotherapy of a polyomavirus-associated cancer.“ Curr Oncol Rep 13(6): 488-497, (2011)
Donepudi, S., R. C. DeConti and W. E. Samlowski. „Recent Advances in the Understanding of the Genetics, Etiology, and Treatment of Merkel Cell Carcinoma.“ Seminars in Oncology 39(2): 163-172, (2012)
Feng, H., M. Shuda, Y. Chang and P. S. Moore. „Clonal integration of a polyomavirus in human Merkel cell carcinoma.“ Science 319(5866): 1096-1100, (2008)
Fields, R. C., K. J. Busam, J. F. Chou, K. S. Panageas, M. P. Pulitzer, D. H. Kraus, M. S. Brady and D. G. Coit. „Recurrence and survival in patients undergoing sentinel lymph node biopsy for merkel cell carcinoma: analysis of 153 patients from a single institution.“ Ann Surg Oncol 18(9): 2529-2537, (2011)
Ghadjar, P., J. H. Kaanders, P. Poortmans, R. Zaucha, M. Krengli, J. L. Lagrange, O. Ozsoy, T. D. Nguyen, R. Miralbell, A. Baize, N. Boujelbene, T. Collen, L. Scandolaro, M. Untereiner, H. Goldberg, G. A. Pesce, Y. Anacak, E. E. Friedrich, D. M. Aebersold and K. T. Beer. „The essential role of radiotherapy in the treatment of Merkel cell carcinoma: a study from the Rare Cancer Network.“ Int J Radiat Oncol Biol Phys 81(4): e583-591, (2011)
Goessling, W., P. H. McKee and R. J. Mayer. „Merkel cell carcinoma.“ J Clin Oncol 20(2): 588-598, (2002
Han, S. Y., J. P. North, T. Canavan, N. Kim and S. S. Yu. „Merkel cell carcinoma.“ Hematol Oncol Clin North Am 26(6): 1351-1374, (2012)
Heath, M., N. Jaimes, B. Lemos, A. Mostaghimi, L. C. Wang, P. F. Penas and P. Nghiem. „Clinical characteristics of Merkel cell carcinoma at diagnosis in 195 patients: the AEIOU features.“ J Am Acad Dermatol 58(3): 375-381, (2008)
Hoetzenecker, W., E. Guenova, T. U. Bottinger, H. M. Hafner and H. Breuninger. „Mapping of specific sentinel node locations for skin cancer of the head.“ Eur J Dermatol 21(3): 354-358, (2011)
Kaufman, H. L., J. Russell, O. Hamid, S. Bhatia, P. Terheyden, S. P. D'Angelo, K. C. Shih, C. Lebbe, G. P. Linette, M. Milella, I. Brownell, K. D. Lewis, J. H. Lorch, K. Chin, L. Mahnke, A. von Heydebreck, J. M. Cuillerot and P. Nghiem. „Avelumab in patients with chemotherapy-refractory metastatic Merkel cell carcinoma: a multicentre, single-group, open-label, phase 2 trial.“ Lancet Oncol 17(10): 1374-1385, (2016)
National Comprehensive Cancer Network, I. (2017). Clinical Proactice Guidlines in Oncology. Merkel Cell Carcinoma. Fort Washington, National Comprehensive Cancer Network, Inc.
Nghiem, P. T., S. Bhatia, E. J. Lipson, R. R. Kudchadkar, N. J. Miller, L. Annamalai, S. Berry, E. K. Chartash, A. Daud, S. P. Fling, P. A. Friedlander, H. M. Kluger, H. E. Kohrt, L. Lundgren, K. Margolin, A. Mitchell, T. Olencki, D. M. Pardoll, S. A. Reddy, E. M. Shantha, W. H. Sharfman, E. Sharon, L. R. Shemanski, M. M. Shinohara, J. C. Sunshine, J. M. Taube, J. A. Thompson, S. M. Townson, J. H. Yearley, S. L. Topalian and M. A. Cheever. „PD-1 Blockade with Pembrolizumab in Advanced Merkel-Cell Carcinoma.“ N Engl J Med 374(26): 2542-2552, (2016)
Oram, C. W., C. L. Bartus and S. M. Purcell. „Merkel cell carcinoma: a review.“ Cutis 97(4): 290-295, (2016)
Poulsen, M., D. Macfarlane, M. Veness, V. Estall, G. Hruby, M. Kumar, A. Pullar, L. Tripcony and D. Rischin. „Prospective analysis of the utility of 18-FDG PET in Merkel cell carcinoma of the skin: A Trans Tasman Radiation Oncology Group Study, TROG 09:03.“ J Med Imaging Radiat Oncol, (2018)
S2k-Kurzleitlinie (2012). S2k - Kurzleitlinie - Merkelzellkarzinom (MCC, kutanes neuroendokrines Karzinom) – Update 2012, AWMF online.
Shuda, M., H. Feng, H. J. Kwun, S. T. Rosen, O. Gjoerup, P. S. Moore and Y. Chang. „T antigen mutations are a human tumor-specific signature for Merkel cell polyomavirus.“ Proc Natl Acad Sci U S A 105(42): 16272-16277, (2008)

















