Hibernom: Ein seltener Befund
Die Patientin stellte sich in der Ambulanz der Klinik und Poliklinik für Mund-Kiefer-Gesichtschirurgie – Plastische Operationen der Universitätsmedizin Mainz mit einer seit mehreren Jahren bestehenden und größenprogredienten Schwellung submandibulär links vor (Abbildung 1). Nachts bereitete diese ihr zunehmend Schmerzen, insbesondere in Linksseitenlage.
Palpatorisch präsentierte sich ein prall-kugeliger Tumor, der zum umliegenden Gewebe gut verschieblich war. Die bildgebende Diagnostik mittels B-Mode-Sonografie zeigte eine echoreiche, scharf begrenzte Raumforderung mit dorsaler Schallverstärkung (Abbildung 2). Aus der Zusammenschau aus klinischem und sonografischem Bild wurde der Verdacht auf ein Lipom gestellt. Die alio loco angefertigte MRT bekräftigte diese Verdachtsdiagnose, zudem zeigte sich darin die Unterbrechung des Platysma durch das verdrängende Wachstum des Befunds in die Tiefe (Abbildung 3).
Die Patientin wurde darauf über zwei wesentliche Therapiealternativen aufgeklärt: die Entfernung der Raumforderung über einen extraoralen Zugang und deren potenziellen Risiken (hängende Unterlippe durch Schädigung von Ausläufern des Facialisnerven, Narbenbildung) mit dem Vorteil der histologischen Sicherung gegenüber dem Belassen der Läsion und einer engmaschigen Verlaufskontrolle ohne Entitätssicherung. Die Patientin entschied sich für unsere Empfehlung der Exzision des Befunds bei vorhandenen Beschwerden und der langsamen Größenzunahme.
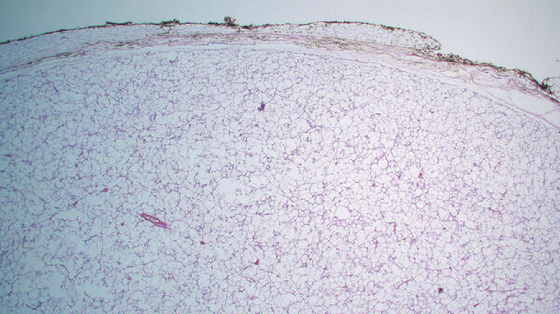
Intraoperativ wurde der Befund über einen submandibulären Schnitt unter Darstellung und Schonung des Nervus facialis in toto entfernt (Abbildungen 4 bis 6). In der histologischen Aufbereitung zeigte sich ein Hibernom mit zahlreichen großen uni- sowie plurivakuolären, lipidreichen Zellen (Abbildung 7). Bei einer Nachsorgezeit von nunmehr einem Jahr zeigte sich kein Anhalt auf das Vorliegen eines Rezidivs.
Diskussion
Hibernome sind gutartige adipogene Tumoren. Die Tumorzellen entstehen aus unreifen Vorläuferzellen und differenzieren zu Zellen, die eine starke Ähnlichkeit mit den Adipozyten des braunen Fettgewebes haben. Vereinzelt wird jene histologische Ähnlichkeit mit braunem Fettgewebe von Winterschläfern („hibernating animals“) zur Erklärung der Namensherkunft herangezogen [Lawson und Biller, 1976; Lee et al., 2006]. Sie manifestieren sich insbesondere in der Nacken- und Achselregion, subclavikulär, im Mediastinum und im Retroperitoneum – also überall dort, wo braunes Fettgewebe physiologischerweise beim Menschen vorkommt [Lee et al., 2006; Dagher et al., 2013]. Hibernome zählen zu den eher selteneren Befunden [Dagher et al., 2013] und treten typischerweise in der dritten oder in der vierten Lebensdekade auf, verteilen sich aber generell auf alle Altersklassen [Trujillo et al., 2015].
Klinisch imponiert eine reizfreie, verschiebliche, langsam wachsende Schwellung, die in aller Regel asymptomatisch verläuft und mehrere Zentimeter an der maximalen Zirkumferenz messen kann [Lawson und Biller, 1976; Trujillo et al., 2015]. Teilweise maskieren Hibernome sich in computer- oder magnetresonanztomografischen Aufnahmen als maligne Prozesse, eine maligne Entartung selbst ist nicht beschrieben [Dagher et al., 2013].
Fazit für die Praxis
Hibernome sind sehr seltene, gutartige Tumoren mit einer Differenzierungsrichtung in braunes Fettgewebe.
Therapie der Wahl ist die chirurgische Exzision in toto.
Differenzialdiagnostisch kann ein ähnlich aussehendes Liposarkom durch weiterführende molekulargenetische Untersuchungen ausgeschlossen werden.
Hibernome weisen eine sehr gute Prognose nach vollständiger Exzision auf, eine adjuvante Therapie ist nicht notwendig.
Für eine kurative Therapie wird in erster Linie die chirurgische Exzision in toto empfohlen [Dagher et al., 2013]. Makroskopisch zeigt sich ein Hibernom dann als umkapselte, noduläre Läsion. Das pathohistologische Bild besteht aus einer Mischung von pluri- und univakuolärem Fettgewebe in einer lobulären Grundstruktur und ist von einer bindegewebigen Kapsel umgeben. Zeichen einer chronischen Entzündung können in Form von Lymphozyten vorliegen. Immunhistochemisch sind Hibernome wie Lipome positiv für S100-Protein und zeigen keine erhöhte Ki67-Proliferationsrate. Mitosen und nukleäre Atypien liegen bei Hibernomen nicht vor.
Sollte differenzialdiagnostisch aus morphologischer Sicht ein Liposarkom in Betracht kommen, kann eine molekulargenetische Untersuchung mittels Fluoreszenz- oder Chromogen-in-situ-Hybridisierung zur Frage einer MDM2-Amplifikation durchgeführt werden [Beals et al., 2014].
Liposarkome sind klinisch eher tiefer gelegene, schnell wachsende, typischerweise symptomfreie maligne Tumoren, die insbesondere in Stammnähe, im Retroperitoneum oder paratestikulär auftreten können [Board, 2020]. Die prognostisch günstigste und häufigste Form ist das gut differenzierte Liposarkom / atypischer lipomatöser Tumor, das kaum zur Metastasierung neigt. Liposarkome mit Zeichen der Dedifferenzierung haben hingegen eine schlechtere Prognose (dedifferenziertes Liposarkom). Neben dem Nachweis von Adipozyten, einer Stromakomponente und/oder überlagernder Inflammation ist das histologische Bild von gut differenzierten Liposarkomen von Kernatypien und einer Kernpleomorphie bestimmt [Board, 2020].
Zytogenetisch haben Hibernome oft einen Bruchpunkt im Chromosom Arm 11q. Es besteht eine Assoziation mit der multiplen endokrinen Neoplasie (MEN) Typ 1.
Hibernome, die chirurgisch in sano exzidiert wurden, haben eine exzellente Prognose: Weder Rezidive noch eine maligne Transformation wurden bis heute beschrieben [Dagher et al., 2013].
Literaturliste
Beals, C., A. Rogers, P. Wakely, J. L. Mayerson and T. J. Scharschmidt (2014). „Hibernomas: a single-institution experience and review of literature.“ Med Oncol 31(1): 769.
Board, W. C. o. T. E. (2020). Soft Tissue and Bone Tumours, International Agency for Research on Cancer.
Dagher, W., L. Fedore and R. O. Wein (2013). „Hibernoma presenting as an asymptomatic neck mass.“ Am J Otolaryngol 34(6): 755-756.
Lawson, W. and H. F. Biller (1976). „Cervical hibernoma.“ Laryngoscope 86(8): 1258-1267.
Lee, J. C., A. Gupta, A. Saifuddin, A. Flanagan, J. A. Skinner, T. W. Briggs and S. R. Cannon (2006). „Hibernoma: MRI features in eight consecutive cases.“ Clin Radiol 61(12): 1029-1034.
Trujillo, O., I. H. Cui, M. Malone and M. Suurna (2015). „An unusual presentation of a rare benign tumor in the head and neck: A review of hibernomas.“ Laryngoscope 125(7): 1656-1659.













