Komplexe Behandlung eines „schiefen Gesichts“
Eine 39-jährige Patientin stellte sich mit der Frage nach einer ästhetischen Verbesserung ihres „schiefen Gesichts“ in der Klinik für Mund-, Kiefer- und Gesichtschirurgie und Plastische Operationen in Bremen vor. Bei ihr bestünden seit Geburt eine linksseitige Unterentwicklung und eine damit verbundene Asymmetrie. Vor über 20 Jahren seien zuletzt andernorts verschiedene Therapien erfolgt, darunter kieferorthopädische Maßnahmen, Operationen am Unterkiefer und eine Transplantation eines Muskelanteils vom Rücken zur Konturverbesserung des Gesichts. Allerdings hätten alle Maßnahmen nicht dauerhaft zum gewünschten Erfolg geführt.
Klinisch imponierte eine deutliche Atrophie des linken Untergesichts mit Abweichung der Gesichtsmitte nach links, so dass unter Berücksichtigung der Vorgeschichte eine hemifaziale Mikrosomie vorlag. Des Weiteren zeigten sich Narben präaurikulär sowie bogenförmig submandibulär links. Die dentale Mitte des Unterkiefers war ebenfalls nach links verschoben, die Zahnreihen allerdings gut abgestützt und die prinzipiell dysgnathe Situation dental gut kompensiert.
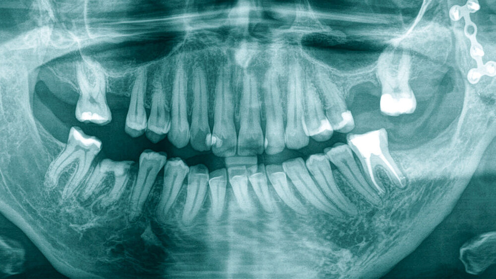
Radiologisch zeigten sich schon im Orthopantomogramm (Abbildung 1) eine deutliche Verschmälerung des gesamten linken Unterkieferbereichs und eine vormals eingebrachte Miniosteosyntheseplatte im Bereich des aufsteigenden Unterkieferastes.
Um dem verständlichen Wunsch der Patientin nach einer ästhetischen Verbesserung zu entsprechen, wurde ein zweizeitiges Verfahren gewählt: Der erste Schritt umfasste eine ossäre Genioplastik mit Rotation und Translation des Kinns nach rechts mit Einstellung zur Gesichtsmitte. Im gleichen Eingriff erfolgte dann die basale Augmentation der Mandibula links mit einem patientenspezifischen Implantat (PSI) aus Poly-Ether-Ether-Keton (PEEK) zur Korrektur des knöchernen Defizits. Aufgrund der Komplexität der Verlagerung und zur Planung des PSI wurde die CAD/CAM-Technik verwendet. Zur Verlagerung und zur Fixierung des Kinns in der neuen Position wurden eine Schnitt- und Bohrschablone zur intraoperativen Kennzeichnung der Osteotomielinien und eine individuelle Osteosyntheseplatte geplant. Die Größe und die Ausdehnung des PSI zur Augmentation wurde festgelegt durch die Differenz der Projektion der rechten auf die linke Mandibula-Hälfte, mit zusätzlicher anteriorer Fassung des neupositionierten Kinns. Schnittschablone, Osteosyntheseplatte und PSI wurden im 3-D-Druckverfahren produziert und nach Sterilisation intraoperativ eingebracht (Abbildung 2).

Im zweiten Schritt erfolgte sechs Monate nach der ersten Operation zur weiteren Augmentation und Konturierung des Weichgewebes, insbesondere in der Wangenregion, ein autologer Fettgewebetransfer (Lipofilling). Hierzu wurden vorab 60 ml reines Fettgewebe aus der Bauch- und der lateralen Oberschenkelregion entnommen (Liposuction) (Abbildung 3). Mit den verschiedenen Verfahrenstechniken konnte eine nahezu vollständige Gesichtssymmetrie erreicht werden. Die Patientin ist sehr zufrieden mit dem Ergebnis, das seit über einem Jahr stabil ist. (Abbildung 4).
Diskussion
Die hemifaziale Mikrosomie ist – nach den Lippen-Kiefer-Gaumenspalten – die zweithäufigste angeborene Fehlbildung des Gesichts und tritt mit einer Häufigkeit von einem Fall pro 5.600 bis 20.000 Geburten auf [Gorlin und Hennekam, 2001]. Ursächlich für das phänotypisch durchaus sehr heterogene Krankheitsbild wird eine Duplikation eines Chromosoms diskutiert, das auch als Onkogen bei dem bösartigen, embryonalen Tumor des Kleinhirns (Medulloblastom) nachweisbar ist [Zielinski et al., 2014]. Als Synonyme werden häufig okulo-aurikulo-vertebrale Dysplasie und das Goldenhar-Syndrom verwendet, wobei diese Termini bevorzugt werden, wenn zusätzliche Fehlbildungen im Bereich der Ohren und der Augen bestehen. In diesen Fällen kommen interdisziplinäre Behandlungskonzepte zum Tragen.
Von der hemifazialen Mikrosomie abzugrenzen ist die progressive faziale Hemiatrophie, die auch als Parry-Romberg-Syndrom bekannt ist. Dieses Krankheitsbild entwickelt sich erst später, im Laufe der ersten und der zweiten Lebensdekade, besonders bei Frauen und führt ebenfalls zu einer Gesichtsasymmetrie mit unterschiedlichem Ausmaß. Initial ist dabei häufig die Wangenregion betroffen. Die Ursachen sind mannigfaltig und reichen von Infektionen über lokale Durchblutungsstörungen bis hin zu Autoimmunprozessen [El-Kehdy et al., 2012; Indurkar et al., 2008]. Von diesen Krankheitsbildern zu unterscheiden sind die weit häufigeren rein skelettal bedingten Laterogenien mit oder ohne Vorliegen einer kondylären Hyperplasie, die ins Behandlungsspektrum der orthognathen Chirurgie fallen [Fariña et al., 2018; Mouallem et al., 2017].
Beim hier beschriebenen Fall einer vorbehandelten hemifazialen Mikrosomie fokussierte sich die Therapie auf die weiter bestehende Unterentwicklung des unteren Gesichtsdrittels, mit einer daraus resultierenden knöchernen und weichgeweblichen Asymmetrie. Ausschlaggebend für die Vorstellung der Patientin, die beruflich in der Öffentlichkeit steht, war insbesondere der Wunsch nach einer ästhetischen Korrektur.
Häufig bestehen bei der hemifazialen Mikrosomie dysgnathe Verhältnisse mit vorwiegenden Abweichungen in der Vertikalen und der Transversalen, so dass hier nach Abschluss des Wachstums entsprechende kieferorthopädische und orthognath-chirurgische Therapien notwendig werden [Abotaleb et al., 2021]. Zur weichgeweblichen Augmentation bieten sich je nach Defizit auch freie Fernlappenplastiken an [Abdullaev et al., 2018; Kaira und Gupta, 2013]. Trotzdem ist es nicht immer möglich, dadurch Asymmetrien vollständig auszugleichen. Dann werden später weitere Korrektureingriffe an den Gesichtsweichteilen und am knöchernen Gesichtsschädel notwendig.
Während die CAD/CAM-Technik bei Genioplastiken oder bei knöchernen Rekonstruktionen schon von vielen MKG-Kliniken erfolgreich eingesetzt wird, ist eine Kombination beider Operationstechniken mit einer autologen Fettgewebsaugmentation noch nicht beschrieben worden [Rustemeyer et al., 2014; Rückschloß et al., 2020]. Insbesondere durch letztere Technik lässt sich ein weichgewebliches Defizit sehr gut dosiert und exakt ausgleichen. Zudem kann zusätzlich eine Modellation im augmentierten Bereich erfolgen.
Es stellt sich jedoch immer wieder die Frage nach der Stabilität des Ergebnisses. Dabei decken sich unsere Erfahrungen mit der Liposuction/ Lipofilling-Therapie mit denen in der Literatur. Eine partielle Fettresorption tritt meistens in den ersten drei Monaten auf, danach eher nicht mehr [Karmali et al., 2018]. Eine entsprechende Überkorrektur von vornherein wird allerdings kontrovers diskutiert.
Falls eine Fettresorption eintritt, die das gewonnene ästhetische Ergebnis beeinträchtigt, ist eine Re-Augmentation nach acht bis neun Monaten Erfolg versprechend [Azoury et al., 2021; Cervelli et al., 2016]. Bei unserem Fall zeigt sich nach nunmehr einem Jahr ein stabiles Ergebnis ohne sichtbare Verminderung des Volumens des Fettgewebsaugmentats. Somit konnte durch eine Kombination aus Genioplastik, knöcherner Augmentation mittels PSI und anschließender Fettgewebsaugmentation ein für die Patientin sehr akzeptables Ergebnis erreicht werden.
Fazit für die Praxis
Als Ursachen für Gesichtsasymmetrien kommen sowohl knöcherne als auch weichgewebliche Defizite infrage. Das Behandlungsspektrum reicht je nach Schwere und Ausprägung der Deformität von der orthognathen Chirurgie bis hin zu komplexen Eingriffen mit Kombinationen von unterschiedlichen Techniken. Betroffenen Patienten kann man Hoffnung machen, dass diese Gesichtsasymmetrie zumindest deutlich verbessert werden kann.
Literaturliste
1. Gorlin RJ CM, Hennekam RCM (2001) Syndromes of the head and neck. Oxford University Press, New York.
2. Zielinski D, Markus B, Sheikh M, et al. et al. (2014) OTX2 Duplication Is Implicated in Hemifacial Microsomia. PLoS ONE 9: e96788.
3. El-Kehdy J, Abbas O, Rubeiz N (2012) A review of Parry-Romberg syndrome. J Am Acad Dermatol 67:769-784.
4. Indurkar A, Degwekar S, Gondivkar S (2008) Facial hemihypertrophy and facial hemiatrophy: Report of 2 cases. J Indian Acad Oral Med Radiol 20:57-59.
5. Fariña R, Mebus C, Mayer C, et al. (2018) Unilateral sagittal split ramus osteotomy: an alternative for some cases of asymmetric mandibular prognathism. Int J Oral Maxillofac Surg 47:630-637.
6. Mouallem G, Vernex-Boukerma Z, Longis J et al. (2017) Efficacy of proportional condylectomy in a treatment protocol for unilateral condylar hyperplasia: A review of 73 cases. J Craniomaxillofac Surg 45:1083-1093.
7. Abotaleb B, Bi R, Telha W, et al. (2021) Treatment measures of hemimandibular hyperplasia and associated facial deformities. J Craniomaxillofac Surg 49:126-134.
8. Abdullaev KF, Orlova EV, Yadav MK, et al. (2018) Preoperative planning for advanced modelling of anterolateral thigh flaps in the treatment of servere hemifacial atrphy in Parry-Romberg and Goldenhar syndrome. JPRAS Open 16:36-49.
9. Kaira GDS, Gupta RK (2013) Facial contouring with parascapular free flap: A case series of 22 cases. Indian J Plast Surg 46:562-567.
10. Rustemeyer J, Busch A, Sari-Rieger A (2014) Application of computer-aided designed/computer-aided manufactured techniques in reconstructing maxillofacial bony structures. Oral Maxillofac Surg 18:471-476.
11. Rückschloß T, Ristow O, Kühle R, et al. (2020) Accuracy of laser-melted patient-specific implants in genioplasty - A three-dimensional retrospective study. J Craniomaxillofac Surg 48:653-660.
12. Karmali RJ, Hanson SE, Nguyen AT, et al. (2018) Outcomes following Autologous Fat Grafting for Oncologic Head and Neck Reconstruction. Plast Reconstr Surg 142: 771-780.
13. Azoury SC, Shakir S, Bucky LP, et al. (2021) Modern Fat Grafting Techniques to the Face and Neck. Plast Reconstr Surg 148:620e-633e.
14. Cervelli G, Gasparini A, Moro A, et al. (2016) Lipofilling as refinement procedure in maxillo-mandibular malformations. Acta Otorhinolaryngol Ital 36:368-372








