Sie wurden erfolgreich abgemeldet!

Pneumonie durch Zahnkrone

Unbemerkte Fremdkörperaspiration

Ein Patient aspiriert während einer Extraktion unbemerkt eine Zahnkrone und entwickelt erst zwei Jahre später Symptome wie Husten und Kurzatmigkeit.

Eine Fremdkörperaspiration im zahnärztlichen Praxisalltag ist selten, aber wenn sie auftritt, kann sie lebensbedrohlich sein. Im vorliegenden Fall wird von einem Patienten berichtet, der erst zwei Jahre nach der Aspiration eines Zahnfragments samt Krone eine postobstruktive Pneumonie entwickelte.

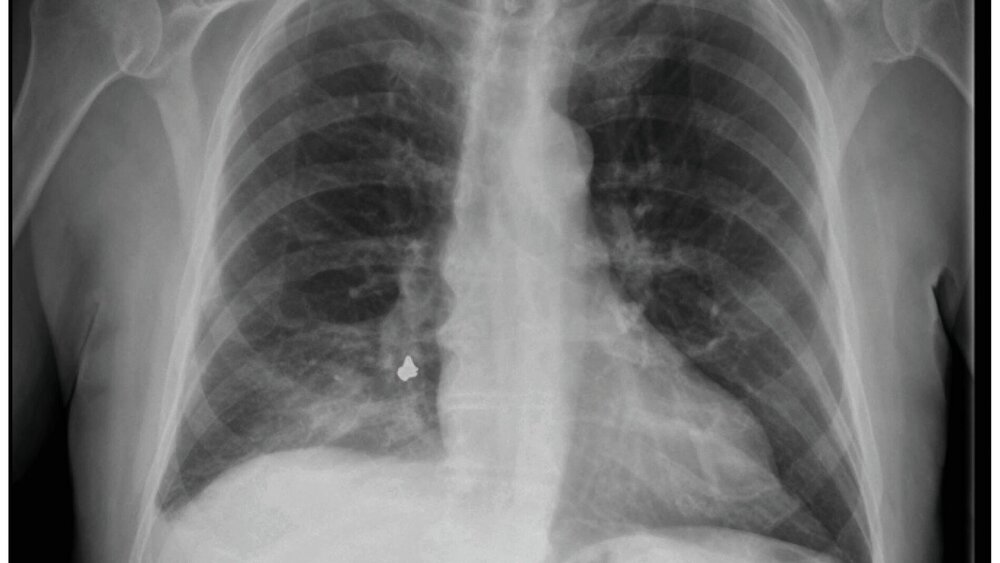
Der 93-jährige Patient stellte sich in der Notaufnahme in reduziertem Allgemeinzustand, Husten und Kurzatmigkeit vor. Seit Symptombeginn vier Tage zuvor hatte sich der Zustand des Patienten trotz Antibiotika-Therapie verschlechtert. In der Röntgenaufnahme des Thorax zeigte sich im infrahilären Bereich eine Verschattung, die den Verdacht auf einen Fremdkörper bestätigte. Zur genaueren Lokalisation wurde ein CT des Brustkorbs angefertigt. Der Fremdkörper wurde im subsegmentalen Bronchus im hinteren, rechten Unterlappen lokalisiert. Des Weiteren zeigte sich eine distale Konsolidierung, die mit einer postobstruktiven Pneumonie vereinbar war. Der Fremdkörper wurde anschließend mittels Bronchoskopie entfernt. Es handelte sich um eine Zahnkrone aus einer Goldlegierung mit umliegendem, purulentem Schleimmaterial. Der Patient konnte unter Antibiose bereits am Folgetag entlassen werden.

Patient erinnert sich an Zahnextraktion vor zwei Jahren

Der Patient erinnerte sich an eine zwei Jahre zurückliegende Zahnextraktion, bei der ein Teil des Zahnes abgebrochen und nicht mehr auffindbar war. Damals wurde vermutet, dass der Patient die Krone verschluckt habe. Er habe keinen Husten und auch keine anderen Symptome gezeigt und es wurde nach der zahnärztlichen Behandlung keine Bildgebung angefertigt.

Bei Kindern und älteren PatientInnen sowie bei Personen mit Bewusstseins-einschränkungen oder neurologischen Erkrankungen kommen Fremdkörper-aspirationen etwas häufiger vor als bei gesunden Erwachsenen. Ein klassisches Symptom ist starker Husten. Weitere können Hämoptyse, Keuchen und Dyspnoe sein. In manchen Fällen erfolgt die Aspiration eines Fremdkörpers allerdings auch vollkommen asymptomatisch. Fremdkörper-aspirationen können schwerwiegende Komplikationen wie Atemwegsversagen, Atemwegsödeme, Infektionen und Pneumothorax nach sich ziehen [Primera et al., 2023]. Die AutorInnen berichten, dass Fremdkörper in klassischen Thorax-Röntgenaufnahmen in bis zu 80 Prozent der Fälle nicht sichtbar sind und hier ein CT hilfreich sein kann.

Literaturliste

Primera G, Matta J, Eubank L, Gurung P. The Lost Crown: A Case of an Aspirated Tooth Crown Causing Post-Obstructive Pneumonia. Case Rep Dent. 2023 Mar 8;2023:4863886. doi: 10.1155/2023/4863886. PMID: 36937221; PMCID: PMC10017206.

Melden Sie sich hier zum zm-Newsletter des Magazins an

Die aktuellen Nachrichten direkt in Ihren Posteingang

zm Heft-Newsletter


Sie interessieren sich für einen unserer anderen Newsletter?
Hier geht zu den Anmeldungen zm Online-Newsletter und zm starter-Newsletter.