Restaurative Therapie von Zahnverschleiß als Folge von Bruxismus
In der Vergangenheit sind wir Zahnärzte und Zahnärztinnen davon ausgegangen, dass Bruxismus als die Summe von Zähnepressen und/oder -knirschen zumindest teilweise auf Störungen der statischen und/oder dynamischen Okklusion zurückgehen, dass also der Bruxismus Folge einer okklusalen Störung ist [Behr et al., 2012]. Auch eine aktuelle experimentelle Studie belegt einen Einfluss okklusaler Äquilibrierung auf Schlafbruxismus [de Abreu et al., 2023]. Dazu passen Alltagserfahrungen aus der restaurativen Therapie von Kariesfolgen, wenn beispielsweise provisorische (Teil-)Kronen nach Abklingen der Lokalanästhesie doch höher erscheinen als bei der Okklusionskontrolle in der Praxis und betroffene Patienten danach Beschwerden durch Zähneknirschen oder Zähnepressen entwickeln – und diese nach Korrektur der Okklusion wieder zurückgehen.
PD Dr. M. Oliver Ahlers
CMD-Centrum Hamburg-Eppendorf
Falkenried 88, 20251 Hamburg
und
Poliklinik für Zahnärztliche Prothetik, Zentrum für Zahn-, Mund- u.Kieferheilkunde, Universitätsklinikum Hamburg-Eppendorf
Martinistr. 52, 20246 Hamburg
Oliver.Ahlers@CMD-Centrum.de
1992: Promotion zur Prävention von LKG-Spalten
1992: Leitung der CMD-Sprechstunde der ZMK-Klinik des UKE
1997: Oberarzt, Stv. ärztliche Leitung der Poliklinik für Zahnerhaltung und Präventive Zahnheilkunde
2001: Generalsekretär der Deutschen Gesellschaft für Funktionsdiagnostik und -therapie (DGFDT)
2004: Habilitation, Verleihung der Venia legendi
2005: Gründung des CMD-Centrums Hamburg-Eppendorf
2005: Ernennung zum Spezialisten für Funktionsdiagnostik und -therapie der DGFDT
2010: Zertifizierung des CMD-Centrum Hamburg-Eppendorf als erste postgraduierte Ausbildungsstätte für Spezialisten für Funktionsdiagnostik und -therapie (DGFDT)
2014: Vorsitzender des Fortbildungsausschusses der Zahnärztekammer Hamburg
zehnTagungsbestpreise der DGFDT (1996, 2001, 2008, 2009, 2011, 2016, 2018, 2021, 2022, 2023), vier Alex-Motsch-Preise der DGFDT für die beste wissenschaftliche Publikation des Jahres
Zeitschriften-/Buchpublikationen:
circa 150 Zeitschriftenpublikationen, davon 100 peer-reviewed, mehrere Lehrbücher, diverse Patente; Software für die zahnärztliche Funktionsanalyse sowie zahlreiche Medizinprodukte

Ungeachtet dessen ergibt sich aus vielen Studien zur Wirkung der Äquilibrierung der Okklusion, dass diese Maßnahme die Neigung zum Bruxismus an sich nicht beseitigt, was die S3-Leitlinie „Diagnostik und Behandlung des Bruxismus“ der DGFDT und zahlreicher anderer Fachgesellschaften entsprechend zusammengefasst hat [Peroz et al., 2019]. Für die Praxis bedeutet dies, dass bei der Mehrzahl der Patientinnen und Patienten nicht davon auszugehen ist, dass eine Äquilibrierung der (statischen) Okklusion vorhersehbar den Bruxismus an sich beseitigt. Diese Information war bei der Verabschiedung der Leitlinie neu und ist daher zur Orientierung der Zahnärzteschaft wichtig. Sie stellt allerdings nicht den Nutzen einer Wiederherstellung harmonischer Belastungsverhältnisse für den Zahnerhalt infrage, und es widerspricht auch nicht dem möglichen Nutzen der Wiedererstellung einer Eckzahngeschützten Okklusion im Einzelfall.
Die Leitlinie trifft zudem nur Aussagen zum Bruxismus. „Zur Therapie der CMD“ hingegen gibt es eine wissenschaftliche Mitteilung gleichen Namens von der DGFDT und anderen Fachgesellschaften, die seit Ende 2022 in einer Neufassung vorliegt [Imhoff et al., 2022]. Wie in den Vorgängerversionen betont das Regelwerk, dass die Therapie der CMD generell mit möglichst reversiblen Mitteln erfolgen soll – und dass nach erfolgreicher Funktionstherapie im begründeten Einzelfall eine restaurative und/oder kieferorthopädische Folgebehandlung indiziert sein kann [Imhoff et al., 2022].

Restaurative Therapie
Bei Patienten mit Bruxismus entsteht eine Indikation zur restaurativen Therapie insbesondere bei nichtkariösen Zahnhartsubstanzverlusten (Zahnverschleiß). Deshalb weist die Bruxismus-Leitlinie darauf hin, dass zur Therapie der Bruxismusfolgen restaurative Behandlungen erforderlich werden können [Peroz et al., 2019]. Im Sinne der obigen Feststellung zielen diese aber nicht auf eine kausale Beseitigung des Bruxismus ab, sondern auf den Erhalt durch Zahnverschleiß geschädigter und bedrohter Zähne. Welche Therapieform ausgewählt wird, hängt von der individuellen Situation ab. Erforderlich ist somit eine strukturierte Diagnostik des Zahnverschleißes als Grundlage der individuellen Entscheidung über die Indikation restaurativer Therapien.
Ätiologie und Morbidität
Zahnverschleiß (toothwear) bezeichnet alle Formen von nichtkariösem Zahnhartsubstanzverlust. Dessen Ätiologie liegt entweder in chemischen Ursachen, die zu Erosionen führen, und/oder in mechanischen Ursachen. Letztere werden unterschieden in Abrieb durch Zähneknirschen (Attritionen) oder im Zusammenhang mit der Nahrungsaufnahme (Abrasionen beziehungsweise Demastikationen).
Studien zum Ausmaß des Zahnverschleißes zeigen eine hohe Variabilität, mit physiologischen Verlustraten zwischen 28 µm [Lambrechts et al., 1984] und 64 µm [Xhonga, 1977] pro Jahr, verglichen mit bis zu 500 µm pro Jahr bei pathologischem Substanzverlust [Seligman und Pullinger, 1995]. Die Häufigkeit erhöhter Verschleißraten nimmt dabei offenbar zu, besonders bei Jugendlichen [Van't Spijker et al., 2009; El Aidi et al., 2010] und besonders gefährdeten Patientengruppen [Bartlett et al., 2013]. Wegen der gravierenden Folgen im fortgeschrittenen Stadium ist die frühzeitige Identifikation wichtig. Wünschenswert ist dabei vor allem eine differenzierte Diagnostik, um die Ursachen aufzudecken und nach Möglichkeit zu behandeln.
Diagnostik
Aus diesem Grund sind über die Jahre verschiedene Vorschläge zur Erfassung und Bewertung von Zahnverschleiß veröffentlicht worden, unter anderem von einer skandinavischen Arbeitsgruppe [Hugoson et al., 1988; Hugoson et al., 1996], einer niederländischen Arbeitsgruppe [Wetselaar et al., 2009; Vervoorn-Vis et al., 2015; Wetselaar und Lobbezoo, 2016; Wetselaar et al., 2016] sowie aus der Schweiz [Bartlett et al., 2008]. Verbreitet in der Zahnerhaltung ist die Basic Erosive Wear Examination (BEWE), die den Flächenanteil nichtkariöser Erosionen an den Zahnoberflächen erfasst, allerdings nur als ein Screening, ohne nachgelagerte differenzierte Diagnostik.
Eine mehrstufige Diagnostik inklusive der Erfassung chemischer und mechanischer extrinsischer und intrinsischer Zahnverschleißursachen ermöglicht das Tooth Wear Evaluation System [Wetselaar und Lobbezoo, 2016]. Ein Jahr nach dessen Veröffentlichung wurde im Konsensus-Statement zur Therapie erheblichen Zahnverschleißes das Kriterium der Pathologie des Zahnverschleißes eingeführt [Loomans et al., 2017], um Überbehandlungen bei beschwerdefreien Patienten zu vermeiden. Zu der flächenhaften oder volumetrischen Erfassung des Ausmaßes und der Ursachen von Zahnverschleiß kommt so zusätzlich die Bewertung der pathologischen Relevanz.
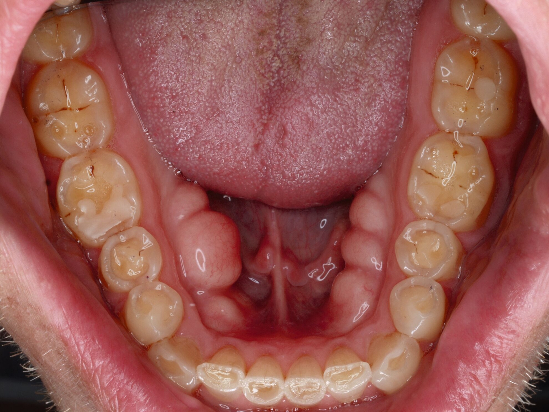
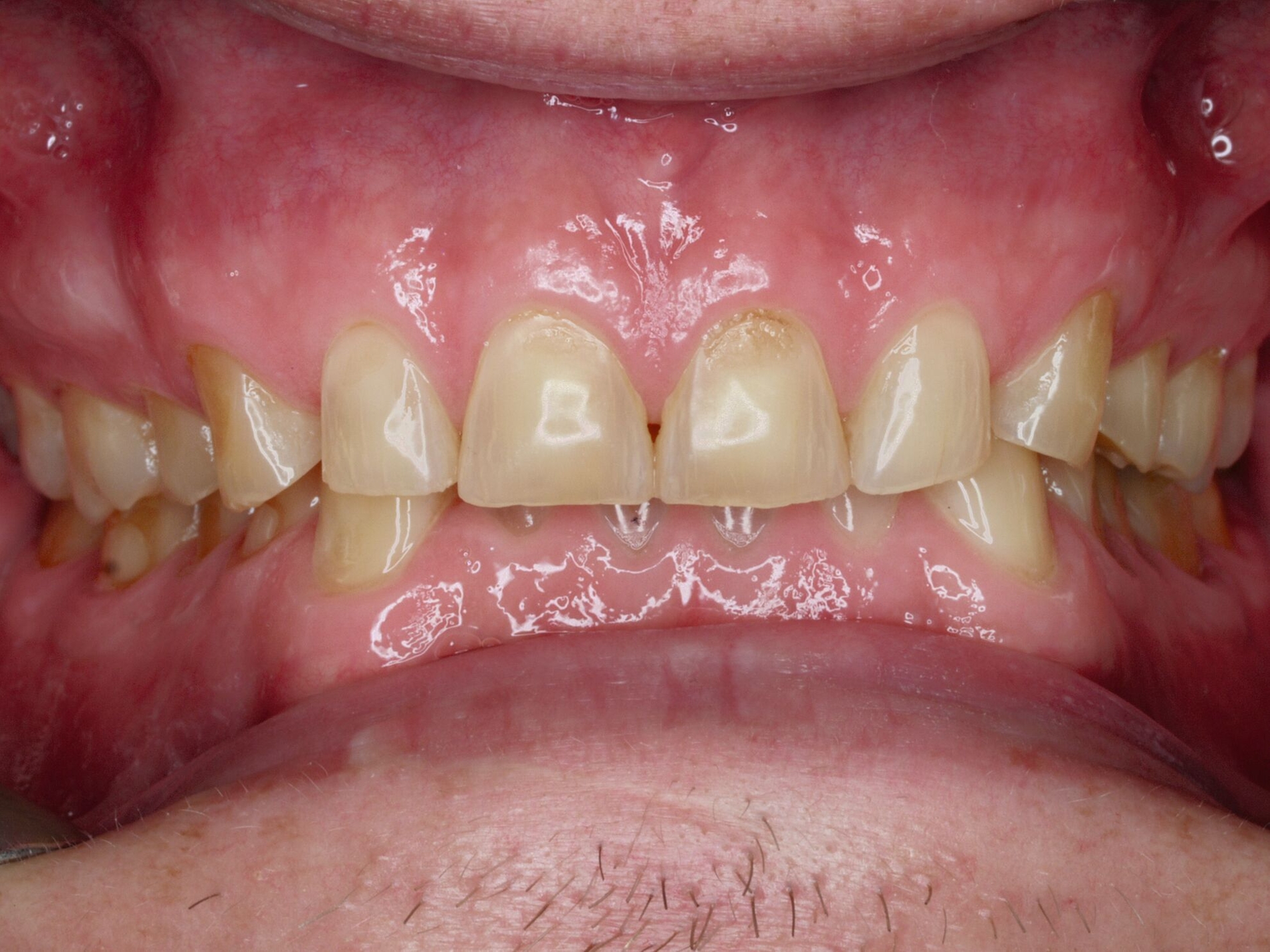
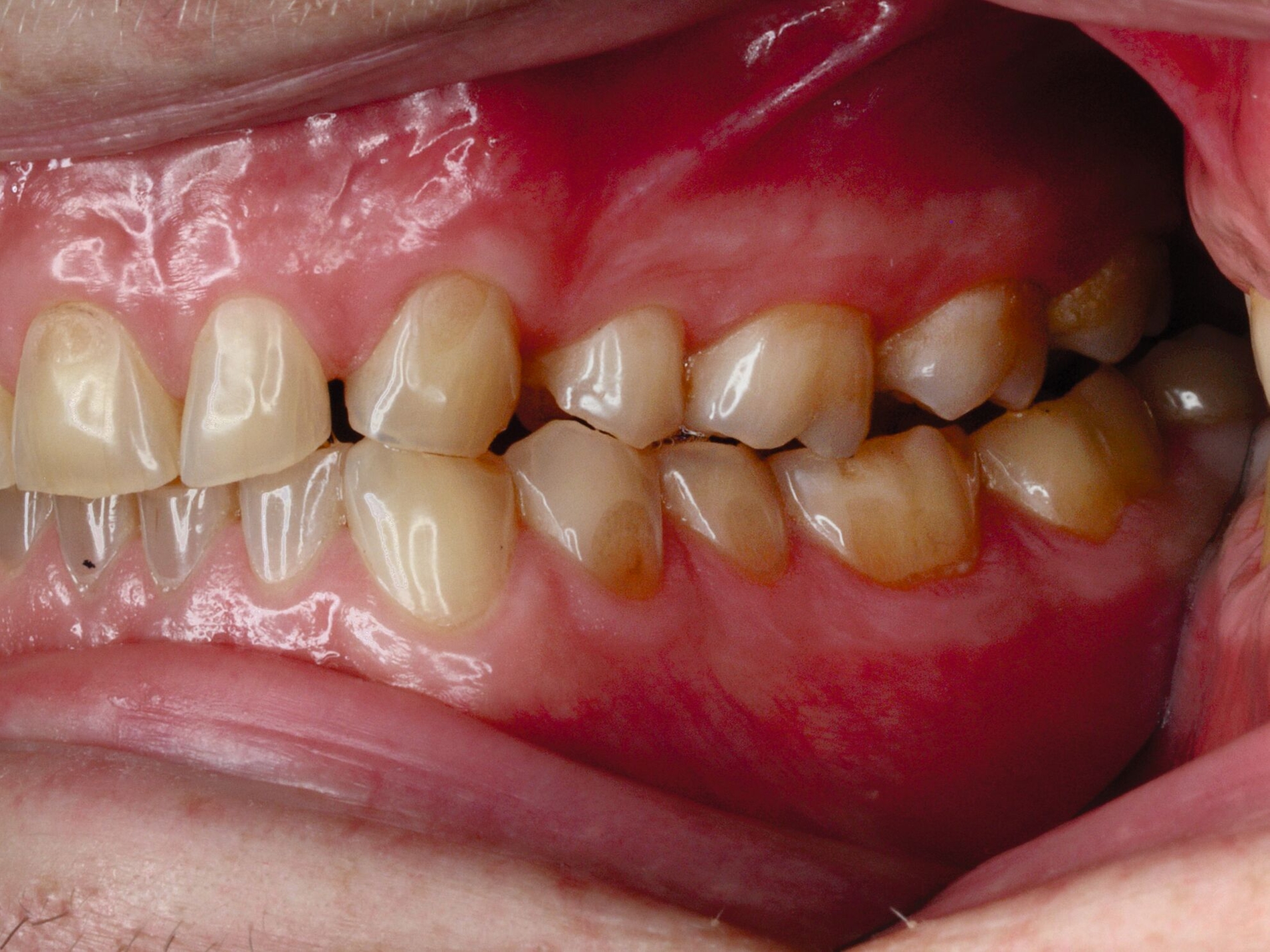
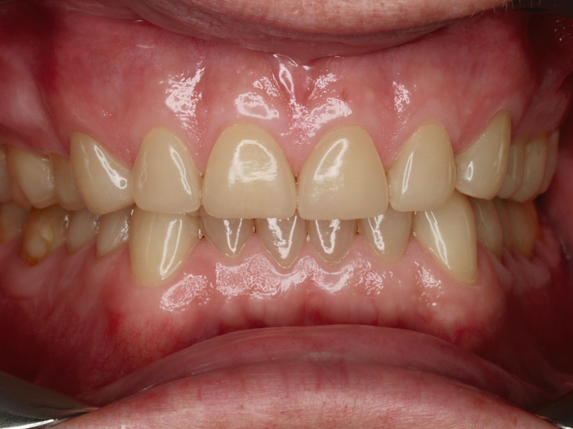
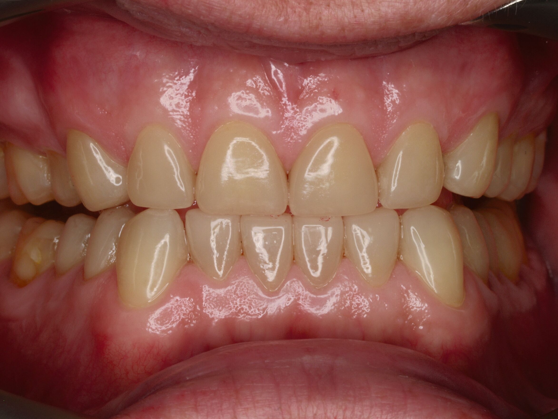
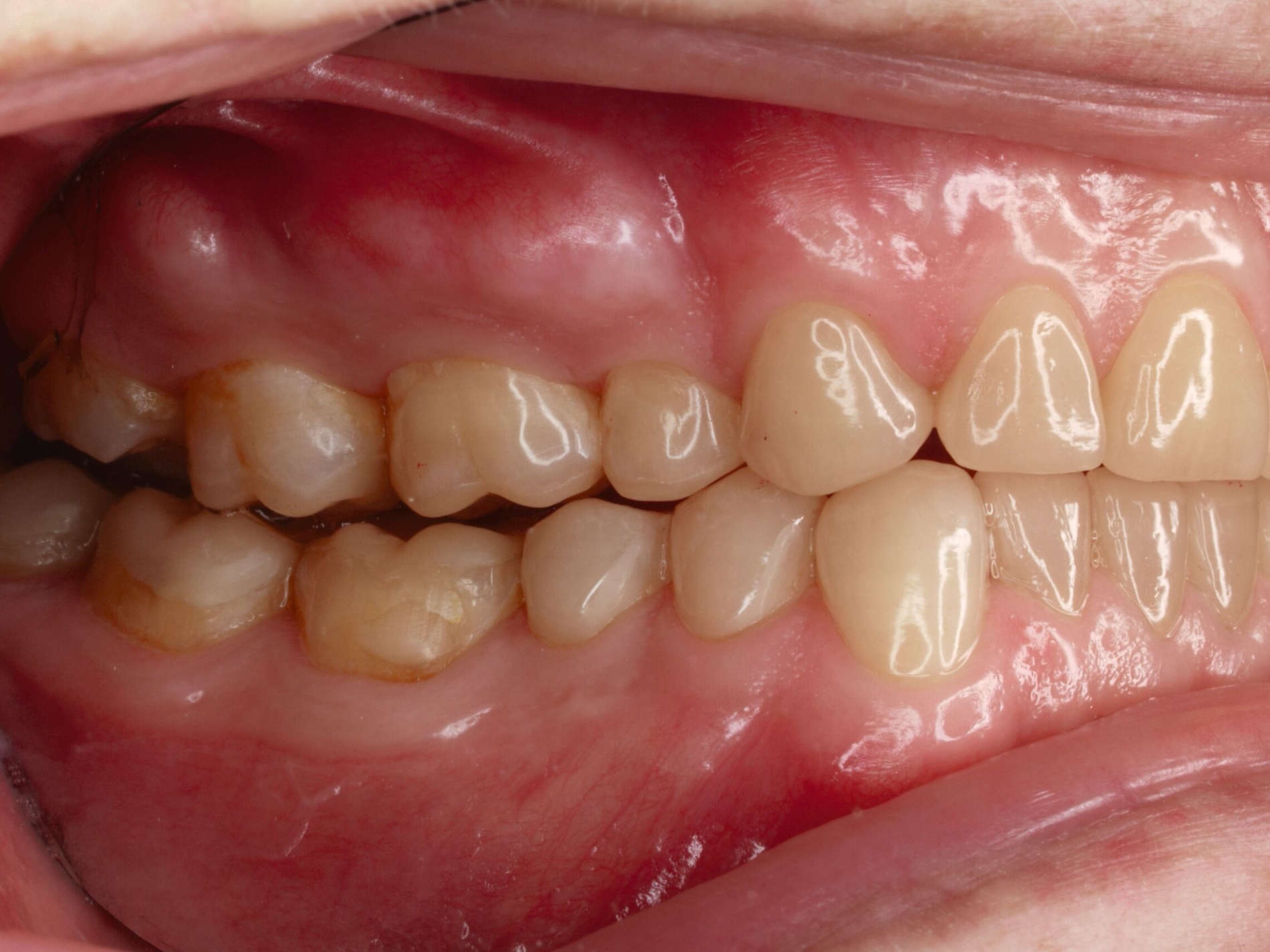
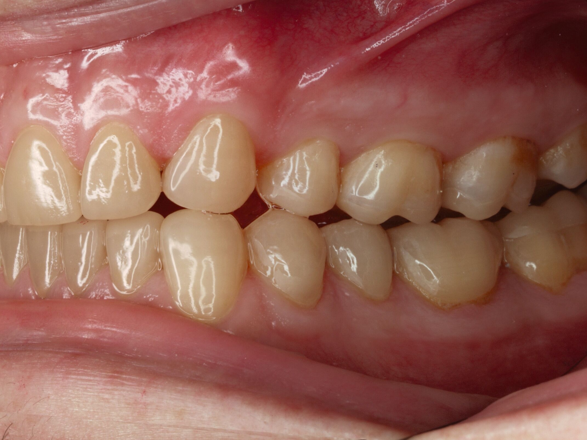
Das unter Beteiligung des Autors entwickelte Tooth Wear Evaluation System (TWES) 2.0 [Wetselaar et al., 2020] identifiziert per Screening Patienten mit erhöhten Verschleißwerten, vergleichbar mit dem PSI in der Parodontologie oder dem CMD-Kurzbefund. Bei auffälligen Werten folgt ein differenzierter Zahnverschleiß-Status einschließlich der Erfassung oraler und vestibulärer Substanzverluste [Wetselaar et al., 2016 sowie von Pathologie-Symptomen und einer strukturierten Diagnose [Tonetti und Sanz, 2019; Wetselaar, 2020]. Den Einsatz in der Praxis illustriert der in den Abbildungen beschriebene Patientenfall aus dem CMD-Centrum Hamburg-Eppendorf.
Zahnverschleiß-Screening
Die Bewertung des Ausmaßes von Zahnverschleiß erfolgt beim Zahnverschleiß-Screening und beim Zahnverschleiß-Status auf der Grundlage einer fünfstufigen Skala von 0–4 (Abbildung 4a, Tabelle 1). Wie beim PSI erfasst das Zahnverschleiß-Screening die jeweils höchsten Werte okklusal und inzisal pro Sextanten, ergänzt um den höchsten Verschleißwert in der Oberkieferfront palatinal. Auch hier ergibt sich aus dem Ergebnis und dem Gesamtbild die Indikation zur differenzierenden erweiterten Untersuchung. Demnach kann bei einem Zahnverschleißgrad 2 in einem Sextanten eine differenzierte Diagnostik erfolgen. Bei zwei und mehr Sextanten mit Grad 2 oder mindestens einem Sextanten mit Grad 3 oder 4 kann ein Zahnverschleiß-Status erfolgen.


Zahnverschleiß-Status
Im Unterschied zum Zahnverschleiß-Screening wertet der Zahnverschleiß-Status den höchsten Verschleißgrad pro Zahn aus, und zwar okklusal/inzisal, oral und vestibulär (Abbildungen 4b und 4c, Tabelle 1). Wichtig für die Planung therapeutischer Maßnahmen ist die Frage, welche Zähne okklusal in Kontakt stehen, denn die Behandlung von Zähnen mit erheblichem Zahnverschleiß lässt keinen weiteren Substanzverlust zu und erfordert bei Zähnen in Kontakt absehbar eine Erhöhung der vertikalen Dimension der Okklusion.
Der Zahnverschleiß-Status erfasst auch zehn Kriterien, die nach der Literatur Anzeichen eines pathologischen Geschehens sind. Als pathologisch wird Zahnverschleiß demnach eingeordnet, wenn bei Grad 3 zusätzlich mindestens ein Pathologie-Kriterium vorliegt (Abbildung 6).
Ergänzt wird der Zahnverschleiß-Status durch 20 Merkmale, die jeweils chemischen und mechanischen Ursachen zugeordnet sind und in der summativen Auswertung zeigen, welche Ursachen offensichtlich dem Geschehen zugrunde liegen. Dies ist auch bei vermeintlich eindeutigen Fällen hilfreich, da zuweilen mehrere Faktoren ineinandergreifen, die dann möglichst alle abzustellen sind, bei erheblichem oder extremem pathologischem Zahnverschleiß einhergehend mit einer eventuellen restaurativen Therapie.
Wichtig für das Therapiekonzept ist zudem der Umfang des Zahnverschleißes. Die Auswertung unterscheidet daher lokalisierten und generalisierten Zahnverschleiß.
Am Ende des Status steht die Stellung einer Diagnose. Im TWES 2.0 ist dafür eine Systematik realisiert, die am Vorbild der Parodontologie orientiert. Das System kombiniert zweistufig wie folgt:
Grad | Verteilung | und Grad | Verteilung | Pathologie? | Zahnverschleiß | Ursache(n)
Im Beispiel ist daher die Diagnose ein generalisierter erheblicher und lokalisierter moderater pathologischer Zahnverschleiß überwiegend mechanischer und zudem chemischer Ursache. Die sich daraus ableitende Erkenntnis ist, dass in allen Sextanten Zähne freiliegende Dentinkerne aufweisen (generalisierter moderater Zahnverschleiß), dass darüber hinaus Zähne erheblich geschädigt und somit gefährdet sind, dass Merkmale eines pathologischen Geschehens bestehen – und dass als Ursache neben dem dominierenden Bruxismus ein Säureeinfluss hinzukommt.
Restaurative Therapie
Auch die Therapie des Zahnverschleißes sollte ursachenbezogenen und möglichst minimal invasiv erfolgen. Bei Hinweisen auf chemische Ursachen ist eine Ernährungsanamnese wichtig. Häufig stehen dabei industriell hergestellte Getränke im Vordergrund (Fruchtsäfte mit Säurezusätzen, Softdrinks mit Zitronen- oder Phosphorsäurezusatz). Zahnärzte können aber auch Hinweise auf Reflux oder Bulimie aufdecken, zumal Studien hier Querverbindungen zum Bruxismus nachweisen [Li et al., 2018].
Moderater Zahnverschleiß: direkte Restaurationen
Hinsichtlich restaurativer Maßnahmen sieht das bereits zitierte Konsensus-Statement zur Therapie erheblichen Zahnverschleißes vor, nach Möglichkeit minimalinvasive Techniken einzusetzen [Loomans et al., 2017]. Bei lokalisiertem oder generalisiertem moderatem Zahnverschleiß (TWES-Grad 2) allein (!) liegen lediglich Dentinkerne frei. Hier lohnt zumindest der Versuch der Versorgung mittels noninvasiver direkter Composite-Restaurationen. Nach den Erfahrungen des Autors ist deren Prognose bei großflächigen Defekten allerdings ungünstiger als bei durch Karies verursachten Defekten. In diesen Fällen bleibt dann nur die Alternative einer Behandlung mittels indirekter Restaurationen.
Erheblicher Zahnverschleiß: direkte Restaurationen und Grenzen
Auch erheblicher Zahnverschleiß lässt sich theoretisch mittels intraoral direkt verarbeiteter Komposit-Restaurationen behandeln. Dies erfordert dann allerdings zusätzlichen erheblichen zahntechnischen Vorbereitungsaufwand. An dessen Anfang stehen indirekte Präzisionsabformungen, die darauf beruhende Herstellung von Kiefermodellen und Duplikaten aus Superhartgips, deren schädelbezügliche Montage im Artikulator wegen der nachfolgenden Änderung der vertikalen Dimension.
Die Position des Unterkiefermodells wird zumeist auf der Grundlage von Registraten festgelegt. Die AWMF-Leitlinie zur instrumentellen Funktionsanalyse der DGFDT [Utz et al., 2022] empfiehlt, bei funktionsgesunden Patienten, die bei natürlicher Bezahnung in maximaler Interkuspidation gut abgestützt sind, diese Unterkieferposition in der Regel zu übernehmen (Empfehlung 25). Anders ist es, wenn zu wenige interokklusal abstützende Zähne vorhanden sind, eine sekundäre Unterkieferverlagerung vorliegt – etwa durch Zahnverschleiß – oder der Kauflächenkomplex insgesamt restauriert werden muss; in diesen Fällen sollte die vorliegende habituelle Okklusion in die restaurative Behandlung nicht übernommen werden. „In diesen Fällen hat sich die zentrische Kondylenposition, die dann zur zentrischen Okklusion wird, als Referenzlage bewährt (Empfehlung 26).“
Diese Simulation der Okklusion bildet die Voraussetzung für das nachfolgende Wax-Up der geplanten Zahnform als zahntechnische Planungsgrundlage. Das so ergänzte Kiefermodell wird anschließend dubliert, als Grundlage der Herstellung neuer Kiefermodelle in neuer Kontur, auf denen wiederum speziell verstärkte Formteile für die spätere intraorale Ausformung der Komposite erstellt werden. Die Ausformung der Restaurationen aus Kompositen und ihre Aushärtung erfolgen insofern zwar intraoral „direkt“, das Gesamtvorgehen ist aber an die gleichen zahntechnischen Vorarbeiten gebunden wie eine Therapie mittels indirekter Restaurationen. Solchermaßen hergestellte Restaurationen überstehen nach Untersuchungen der engagierten Kollegen aus Zürich drei Jahre in gutem Zustand [Schmidlin et al., 2009]; nach fünf Jahren ist der Zustand allerdings beeinträchtigt [Attin et al., 2012].
Die Indikation ist jedoch auf jene Fälle beschränkt, in denen Bruxismus und Zahnverschleiß ohne Zeichen einer CMD in Form einer Arthropathie auftreten, da die aufwendige intraorale Ausformung nachträgliche Anpassungen erfordert und somit keine sichere Einstellung einer bestimmten Kiefergelenkposition ermöglicht. Kommt eine solche Problematik zum Bruxismus-bedingten Zahnverschleiß hinzu, so sind zur restaurativen Therapie indirekte Restaurationen erforderlich.

Erheblicher/extremer Zahnverschleiß: indirekte Restaurationen
Wegen der genannten Einschränkungen kommen bei moderatem Zahnverschleiß und ausgedehnten Defekten, vor allem aber bei erheblichem Zahnverschleiß indirekte Restaurationen zum Einsatz. Deren Ausführung wird bestimmt durch
die Art und das Ausmaß der Präparation: invasiv/minimalinvasiv/noninvasiv,
die eingesetzten Restaurationswerkstoffe (Metall, Keramik),
die eingestellte vertikale Dimension,
die horizontale Kieferrelation beziehungsweise Gelenkstellung,
die Behandlungsabfolge,
und die Vor- und Nachbehandlung.
Bei extremem Zahnverschleiß führt kein Weg an Kronen vorbei. Diese sind zwar maximalinvasiv, aber das Ausmaß der Schäden an den Zahnhartsubtanzen und die notwendige Retention lassen in der Regel keine Wahl – im Gegenteil, häufig ist es ein kleines Wunder, wenn allein durch Adhäsivtechnik ohne endodontischen Stiftaufbau eine dauerhafte Retention gelingt. In allen anderen Fällen sind Teilkronen wegen ihrer geringeren Invasivität im Vorteil. Ihr Substanzverlust liegt im Seitenzahnbereich bei circa 43 Prozent, verglichen mit 63 Prozent für Vollkronen und 73 Prozent für metallkeramische Verblendkronen [Edelhoff und Sorensen, 2002] – wobei im Falle erheblichen Zahnverschleißes bereits ein Teil des Substanzabtrags erfolgt ist.
Noch schonender sind Okklusionsonlays, einespeziell für hochfeste Dentalkeramik geeignete Restaurationsform [Edelhoff und Ahlers, 2018]. Deren minimalinvasive Präparation gelingt effizient mittels spezieller Präparationsinstrumente (Okklusionsonlay-Set Ref. 4665, Fa. Komet Dental, Lemgo). Für die Approximalpräparation ermöglichen darauf abgestimmt dünne oszillierende Schallfeilen (SFD6 und SFM6, Fa. Komet Dental) eine Präparation ohne Schädigung der Nachbarzähne, entsprechend der wissenschaftlichen Stellungnahme der DGZMK zur Präparationstechnik [Hellwig et al., 1998]. Als Antrieb dienen spezielle Handstücke, die auf die passenden Turbinenkupplung aufgesteckt werden (SONICflex 2003L, Fa. KaVo, Biberach; SF1LM / SF1LS, Fa. Komet Dental; sowie Airscaler Ti-Max S970, Fa. NSK Europe, Eschborn). Derartig präparierte Okklusionsonlays eigenen sich darüber hinaus ideal für dimensionsgetreue intraorale Scans [Ashraf et al., 2023].
Bei erheblichem Zahnverschleiß besteht durch das Ausmaß des Substanzverlusts zuweilen auch die Option noninvasive Behandlung mit indirekten Restaurationen, die ganz ohne zusätzliche Präparation auskommen, vorausgesetzt, die Restaurationen halten allein durch die adhäsive Eingliederung. Der Vorteil dieses Vorgehens liegt in der Vermeidung fragiler provisorischer Versorgungen bei minimalinvasiver Präparation: Deren geringer Substanzverlust reicht zwar für haltbare Restaurationen aus adhäsiv verklebter hochfester Dentalkeramik. Das Platzangebot überfordert aber die Stabilität provisorischer Kronen- und Brückenmaterialien und die retentiven Flächen reichen für den Haftverbund provisorischer Befestigungswerkstoffe oft nicht aus.
Unmittelbar mit der Art der Präparation verbunden ist die Wahl geeigneter Restaurationswerkstoffe. Grundsätzlich kommen hierfür Metalle, Komposite und Dentalkeramiken infrage. Der Herstellungs- und Verarbeitungsaufwand ist bei indirekten Restaurationen vom Material weitgehend unabhängig, mit Ausnahme für (metall-)keramische Verblendkronen. Die AWMF-Leitlinie zur Behandlung mit vollkeramischen Kronen und Brücken [Gierthmühlen et al., 2021] empfiehlt, bei Patienten mit Bruxismus nach Möglichkeit metallische Restaurationen zu wählen.
Wo dies nicht möglich oder nicht gewünscht ist, sollten die Patientinnen und Patienten über das erhöhte Verlustrisiko keramischer Restaurationen bei Bruxismus und eventuelle Einschränkungen in den Indikationsempfehlungen seitens der Hersteller aufgeklärt werden. Dies trifft insbesondere für Glaskeramik aus Lithiumdisilikat zu (zum Beispiel Ivoclar e.max press/e.max CAD), die sich gleichwohl in praxi sehr gut bewährt hat [Edelhoff et al., 2019]. Eine Studie aus Freiburg zeigt, dass mit dünnerer Schichtstärke der hochfesten Glaskeramik (LiSi2) das Risiko einer Keramikfraktur steigt; dafür bleiben die darunter befindlichen Zahnhartsubstanzen intakt – im Gegensatz zu Keramikrestaurationen größerer Schichtstärke [Guess et al., 2013]. Es kommt hier also zu einem Paradigmenwechsel, wo nicht der Erhalt der Restauration im Vordergrund steht, sondern der dauerhafte Erhalt der Zahnhartsubstanz. Die Restaurationen sollten bei Bruxismus monolithisch ausgeführt sein. Bei Kronen empfiehlt dies die Vollkeramik-Leitlinie [Gierthmühlen et al., 2021]; bei Teilkronen und Okklusionsonlays ist es de facto nicht anders möglich.
Für die Einstellung der Vertikaldimension (VD) sind in der Vergangenheit verschiedene Vorschläge veröffentlicht worden. Diese gehen entweder von der Ruheschwebelage aus oder basieren kieferorthopädisch auf einer Fernröntgenaufnahme mit kephalometrischer Auswertung. Restaurativ sind jedoch auch prothetische Parameter wesentlich, darunter die Mindeststärke der verwandten Dentalkeramik (LiSi2: 1 mm im Kaulast tragenden Bereich, punktuell mindestens 0,6 mm), ausreichender Platz für die Gestaltung eines eindeutigen okklusalen Reliefs in statischer Okklusion und einer funktionalen dynamischen Führung sowie eine harmonische Frontzahnästhetik. Im Ergebnis ist daher der Spielraum für die Einstellung der VD häufig klein und der Entscheidungsspielraum beschränkt sich auf etwa 1–2 mm. Dabei bedingt eine größere VD häufiger eine Mitbehandlung der Frontzähne, während dies bei geringerer Schichtstärke zuweilen vermieden werden kann, bei geringerer Festigkeit der Restaurationen und günstigerem Kronen-Wurzel-Längenverhältnis.
Für die Behandlungsabfolge bestehen verschiedene Möglichkeiten, die unmittelbar mit der Kontrolle der Gelenkstellung verbunden sind. Generalisierter Zahnverschleiß erfordert häufig eine Behandlung aller Zähne zumindest eines Kiefers, weil der vertikale Platzbedarf zum Schutz der geschädigten Zähne eine Erhöhung der vertikalen Dimension erfordert. Dies bedingt insofern eine zeitgleiche Versorgung aller behandelten Zähne zumindest im Seitenzahnbereich, weil sonst eine ungleichmäßige Abstützung resultiert. Bewährt hat sich die Aufteilung derartig aufwendiger Behandlungen in mehrere Abschnitte. Dabei erfolgt im ersten Abschnitt die Abstützung im Seitenzahnbereich in neuer VD, in der Regel einhergehend mit einer semipermanenten Versorgung der Frontzähne zur Wiederherstellung der dynamischen Führung in neuer VD. Im begründeten Ausnahmefall kann dieser Schritt entfallen, etwa bei unmittelbar nachfolgend geplanter Behandlung der Frontzähne; in dem Fall erfolgt die Steuerung der dynamischen Okklusion in der Zwischenzeit mit einer entsprechend gestalteten Okklusionsschiene, die auch tagsüber getragen wird (Abbildung 11).
Problematisch bei derartig umfangreichen restaurativen Therapien ist eine Kieferrelationsbestimmung nach erfolgter Präparation, weil die Patienten nach längerer Kieferöffnung mit spezieller Kopfposition potenziell eine veränderte Kieferposition einnehmen und die Lokalanästhesie die Zuverlässigkeit beeinträchtigen kann. Es bedarf daher einer vorherigen Planung der späteren Kieferposition sowie deren kontrollierter Übertragung, etwa mittels einer zuvor angefertigten Memobite Okklusionsplatte [Christiansen, 2018], die bei Bedarf intraoral sukzessive unterfüttert wird (zum Beispiel mit LuxaBite, DMG-Dental, Hamburg). Besonders sicher gelingt die Kontrolle der Kiefergelenkstellung nach der Restauration beim noninvasiven Vorgehen, weil die räumliche Einstellung der Unterkieferposition relativ zum Oberkiefer nicht zusätzlich durch Präparationen tangiert wird.
Nach der Eingliederung der Restaurationen hat sich eine umgehende Abformung bewährt, die ebenso umgehend in Modelle überführt wird, um zu prüfen, ob die Restaurationen gleichmäßig aufeinandertreffen. Beim Folgetermin zum Finetuning liegen diese dann vor und erlauben im Zweifelsfall eine umgehende okklusale Korrektur. Wichtig ist, den sensorischen Eingewöhnungsstress der Patienten abzufangen. Das gelingt am Tag der Eingliederung durch eine hydrostatische Sofortschiene (The Aqualizer, Bausch Dental, Köln; AquaSplint mini, TeleDenta, Chemnitz; FreeBite Gel, MediPlus, Unterleinleiter). Spätestens nach dem Finetuning erfolgt eine neue Abformung als Grundlage für die Herstellung einer neuen Okklusionsschiene. Die AWMF-Leitlinie zu vollkeramischen Kronen und Brücken verlangt, dass diese bei Bruxismus zum Schutz der Restaurationen dauerhaft getragen wird. Diese Okklusionsschiene kann im Ober- oder Unterkiefer getragen werden, die eingestellte Kieferposition entspricht der durch die Restauration eingestellten Position.
Unabhängig von der Eingliederung einer Kunststoffschiene nach erfolgter restaurativer Therapie bedarf es vor derartig umfangreichen Behandlungen einer funktionellen Vorbehandlung. Bei funktionell unauffälligen Patienten mit negativem CMD-Kurzbefund kann diese auf das Tragen einer Okklusionsschiene beschränkt bleiben, die den Kiefer in korrigierter VD abstützt und so bereits eine Abschätzung ermöglicht, ob der oder die Betroffene die geplante VD tolerieren wird. Wenn es für die Betroffenen inakzeptabel erscheint, eine „normale“ Okklusionsschiene auch tagsüber zu tragen, bieten vollanatomische Simulationsschienen aus zahnfarbenem Polycarbonat oder hochfestem Polyethylen eine praktikable Alternative.
Sofern hingegen erheblicher Zahnverschleiß mit craniomandibulären Dysfunktionen einhergeht, einschließlich Myopathien und Arthropathien der Kiefergelenke, erfordert die Kombination der verschiedenen Diagnosen eine erweiterte Behandlungsstrategie mit restaurativer Wiederherstellung der durch Zahnverschleiß betroffenen Zähne unter funktioneller Wiederherstellung der Gelenkfunktion in korrigierter Gelenkstellung. In diesem Fall ist zunächst eine Funktionstherapie erforderlich, mit einer Stabilisierung der Situation über sechs Monate vor einer restaurativen Weiterbehandlung.

Diskussion
Erheblicher Zahnverschleiß als Folge von Bruxismus und/oder Erosionen belastet die Betroffenen erheblich, stellt aber auch in der Behandlung eine Herausforderung dar. So wirken die Kräfte, die zunächst die Zahnhartsubstanzen verschlissen haben, auch auf Restaurationen ein und begrenzen deren Haltbarkeit und Lebensdauer. Auch aus diesem Grund empfiehlt das oben genannte Konsensus-Statement zur Therapie erheblichen Zahnverschleißes [Loomans et al., 2017], Restaurationen nach Möglichkeit zu vermeiden, und wenn dies nicht möglich ist, möglichst minimalinvasiv vorzugehen. Deshalb orientiert sich die Schilderung der restaurativen Behandlungsoptionen in diesem Beitrag primär am Ausmaß des vorhandenen Zahnverschleißes.
Auch wenn Restaurationen nach Möglichkeit vermieden werden sollten, ist deren Verfügbarkeit für die Betroffenen individuell höchst wichtig, weil sie bestehende Schmerzen beseitigt, die verlorengegangene Kauleistung wiederherstellt und ästhetische und nicht zuletzt auch phonetische Einschränkungen aufhebt. Bei dem in den Abbildungen beschriebenen Fall korrelierte der erhebliche Zahnverschleiß mit der Lokalisation der Zahnschmerzen des Patienten. Direkte Restaurationen mit Kompositen hatten keinen Bestand. Die durchgeführte restaurative Behandlung hingegen hat Bestand, die Schmerzen waren danach umgehend verschwunden und sind seit zehn Jahren nicht wiedergekehrt.
Dabei führt die Verfügbarkeit hochfester Dentalkeramiken heute zu viel weniger invasiven Restaurationen als früher durchgängig übliche metallkeramische Kronen, und die Transluzenz der keramischen Werkstoffe ermöglicht zudem natürlichere Restaurationen. Der beschriebene Behandlungsfall zeigt, wie eine mehrstufige Zahnverschleiß-Diagnostik im Praxisalltag umgesetzt wird, mit initialem Zahnverschleiß-Screening und einer im Bedarfsfall erfolgenden erweiterten Diagnostik per Zahnverschleiß-Status.
GKV-Leistungen bei Zahnverschleiẞ versus funktionstherapeutisch indizierte Bisshebungen
Für die Kostenerstattung in der gesetzlichen Krankenversicherung (GKV) ist die jeweilige Behandlungsindikation entscheidend. So gibt das SGB V § 28 Abs. 2 Satz 8 vor, dass funktionsdiagnostische und funktionstherapeutische Behandlungen nicht Bestandteil der (vertrags-)zahnärztlichen Behandlung sind. Daher hat die Kassenzahnärztliche Bundesvereinigung (KZBV) schon 2007 per Rundschreiben an die Kassenzahnärztlichen Vereinigungen darauf hingewiesen, dass „Bisshebungen“ allein aus funktionstherapeutischer Indikation keine vertragszahnärztlichen Leistungen darstellen.
Sofern hingegen Zähne durch Zahnverschleiß geschädigt und daher in ihrer Vitalität oder in ihrem Zahnerhalt bedroht sind, sieht nach Bewertung der KZBV die Zahnersatzrichtlinie des Gemeinsamen Bundesausschusses (G-BA) gemäß Nr. 16 a und d die Behandlung mit Zahnersatz als Vertragsleistung vor. Eingeschlossen sind dann auch Zähne, die selbst nicht geschädigt sind, aber im Rahmen einer notwendigen Erhöhung der Vertikaldimension mitversorgt werden müssen. Dies ist im Heil- und Kostenplan als Kommentar oder mit ergänzendem Schreiben darzulegen und wird in der Regel mit einem Planungsgutachten geprüft. Im Zweifel kann dies auch dazu führen, dass in diesem Fall eine Zusatzversicherung des Patienten erst zum Tragen kommt, wenn deren Erstattungsleistung an Leistungen der GKV gebunden ist.
Das minimalinvasive Vorgehen entspricht damit dem Konzept der präventionsorientierten Zahnheilkunde der Bundeszahnärztekammer, der Kassenzahnärztlichen Bundesvereinigung und der Deutschen Gesellschaft für Zahn-, Mund- und Kieferheilkunde. Dabei erlaubt das Zahnverschleiß-Screening, auffällige Behandlungsfälle mit geringem Aufwand zu entdecken. Nur in diesen Fällen bedarf es eines Zahnverschleiß-Status zur vollständigen Kartierung. Die Erfassung der Verschleißwerte ist nach vorliegenden Studien zuverlässig, sowohl für die Inspektion intraoral als auch für die Bewertung auf der Grundlage von Kiefermodellen und Fotos[Wetselaar et al., 2016]. Eine weitere Studie aus den Niederlanden zeigte außerdem, dass prinzipiell die Auswertung auch auf der Basis einer Datenakquisition per Intraoralscanner möglich ist. Die Auswertung erfolgt in dem Fall wie mit analogen Kiefermodellen.
Denkbar wäre es, auf dieser Grundlage wiederholte Intraoralscans zu erstellen, zu matchen und so per Differenzberechnung die Progredienz des Zahnverschleißes zu beurteilen. Dies ist aber nur zuverlässig, wenn die Intraoralscans deutlich genauer sind als der nach Studienlage zu erwartende jährliche Zahnverschleiß [Lambrechts et al., 1984; Xhonga, 1977]. Dies ist derzeit noch nicht Fall. Schon heute erkennbar wäre allenfalls eine pathologische Zunahme von Zahnverschleiß, wie an anderer Stelle bereits quantifiziert [Seligmann und Pullinger, 1995].
Neue Studien der Arbeitsgruppe aus Hamburg und Amsterdam konnten zudem zeigen, dass es bereits unerfahrenen Anwendern gelingt, auf Grundlage der Befunde recht zuverlässig die entsprechenden Diagnosen zu stellen, und dass sich mit mehr Schulung die Qualität verbessert [Roehl et al., 2022, 2024].
Hinweis zu Interessenkonflikten: Das dargestellte Vorgehen basiert auf der Originalpublikation des Tooth Wear Evaluation System (TWES) 2.0 [Wetselaar et al., 2020] und wurde frei von jeglichen Fremdeinflüssen entwickelt. Die in der Behandlung des Patientenfalls genutzte Befundsoftware hat der Autor zur Umsetzung des TWES 2.0 entwickelt (Autorenvertrag). Alle im Beispielfall verwandten Materialien wurden für die Behandlung regulär von der Praxis eingekauft. Die Hersteller konnten keinen Einfluss auf den Einsatz der Medizinprodukte in der Behandlung nehmen und es erfolgten keine bezahlten Studien unter Einsatz der genutzten Medizinprodukte.
Literaturliste
Ashraf, K., K. Ebeid and T. Salah (2023). „Effect of different preparation designs of minimally invasive occlusal onlays on the accuracy of different intraoral scanners: An in vitro study.“ J Prosthodont.
Attin, T., T. Filli, C. Imfeld and P. R. Schmidlin (2012). „Composite vertical bite reconstructions in eroded dentitions after 5·5 years: a case series.“ J Oral Rehabil 39(1): 73-79.
Bartlett, D., C. Ganss and A. Lussi (2008). „Basic Erosive Wear Examination (BEWE): a new scoring system for scientific and clinical needs.“ Clin Oral Investig 12 Suppl 1: S65-68.
Bartlett, D. W., A. Lussi, N. X. West, P. Bouchard, M. Sanz and D. Bourgeois (2013). „Prevalence of tooth wear on buccal and lingual surfaces and possible risk factors in young European adults.“ J Dent 41(11): 1007-1013.
Behr, M., S. Hahnel, A. Faltermeier, R. Bürgers, C. Kolbeck, G. Handel and P. Proff (2012). „The two main theories on dental bruxism.“ Ann Anat 194(2): 216-219.
Christiansen, G. (2018). Memobite – Nie wieder verlorener Biss. Ingolstadt, CMD-Kompakt KG.
de Abreu, T., C. Bahia, T. Foscaldo, P. Senna, H. de Souza, R. Fischer and P. Kirveskari (2023). „Effect of occlusal equilibration on masticatory muscle activity in females with sleep bruxism: a double-blind randomised controlled trial.“ J Sleep Res 32(4): e13879.
Edelhoff, D. and M. O. Ahlers (2018). „Occlusal onlays as a modern treatment concept for the reconstruction of severely worn occlusal surfaces.“ Quintessence Int 49(7): 521-533.
Edelhoff, D., J. F. Güth, K. Erdelt, O. Brix and A. Liebermann (2019). „Clinical performance of occlusal onlays made of lithium disilicate ceramic in patients with severe tooth wear up to 11 years.“ Dent Mater 35(9): 1319-1330.
Edelhoff, D. and J. A. Sorensen (2002). „Tooth structure removal associated with various preparation designs for anterior teeth.“ J Prosthet Dent 87(5): 503-509.
El Aidi, H., E. M. Bronkhorst, M. C. Huysmans and G. J. Truin (2010). „Dynamics of tooth erosion in adolescents: a 3-year longitudinal study.“ J Dent 38(2): 131-137.
Gierthmühlen, P., A. Jerg, F. Spitznage, M. Ahlers, J. Beck, F. Beuer, K. Christelsohn, J. Güth, M. Kern, B. Reiss and R. Struck (2021). Vollkeramische Kronen und Brücken (S3-Leitlinie (Langfassung)). M.-u. K. D. Deutsche Gesellschaft für Prothetische Zahnmedizin und Biomaterialien (DGPro) und Deutsche Gesellschaft für Zahn-. Düsseldorf, Arbeitsgemeinschaft med. Wissenschaftlicher Fachgesellschaften (AWMF): 29.
Guess, P. C., S. Schultheis, M. Wolkewitz, Y. Zhang and J. R. Strub (2013). „Influence of preparation design and ceramic thicknesses on fracture resistance and failure modes of premolar partial coverage restorations.“ J Prosthet Dent 110(4): 264-273.
Hellwig, E., K. Kimmel and K. Lehmann (1998). „Präparationstechnik als Grundlage der Qualitätssicherung (Wissenschaftliche Stellungnahme).“ 3.
Hugoson, A., T. Bergendal, A. Ekfeldt and M. Helkimo (1988). „Prevalence and severity of incisal and occlusal tooth wear in an adult Swedish population.“ Acta Odontol Scand 46(5): 255-265.
Hugoson, A., A. Ekfeldt, G. Koch and A. L. Hallonsten (1996). „Incisal and occlusal tooth wear in children and adolescents in a Swedish population.“ Acta Odontol Scand 54(4): 263-270.
Imhoff, I., M. Ahlers, C. Kirschneck, C. Lux, A. Neff, P. Ottl, H. Piekartz and A. Wolowski (2022). „Therapie craniomandibulärer Dysfunktionen C(MD).“ 18.
Lambrechts, P., G. Vanherle, M. Vuylsteke and C. L. Davidson (1984). „Quantitative evaluation of the wear resistance of posterior dental restorations: a new three-dimensional measuring technique.“ J Dent 12(3): 252-267.
Li, Y., F. Yu, L. Niu, W. Hu, Y. Long, F. R. Tay and J. Chen (2018). „Associations among Bruxism, Gastroesophageal Reflux Disease, and Tooth Wear.“ J Clin Med 7(11).
Loomans, B., N. Opdam, T. Attin, D. Bartlett, D. Edelhoff, R. Frankenberger, G. Benic, S. Ramseyer, P. Wetselaar, B. Sterenborg, R. Hickel, U. Pallesen, S. Mehta, S. Banerji, A. Lussi and N. Wilson (2017). „Severe Tooth Wear: European Consensus Statement on Management Guidelines.“ J Adhes Dent 19(2): 111-119.
Peroz , I., O. Bernhardt , K. Kares , H.-J. Korn , Kropp, M. Lange, A. Müller, P. Nilges, M. A. Ommerborn, A. Steffen, R. Tholen, J. C. Türp and A. Wolowski (2019). „Diagnostik und Behandlung von Bruxismus.“ 083-027: 114.
Roehl, J. C., H. A. Jakstat, K. Becker, P. Wetselaar and M. O. Ahlers (2022). „Tooth Wear Evaluation System (TWES) 2.0-Reliability of diagnosis with and without computer-assisted evaluation.“ J Oral Rehabil 49(1): 81-91.
Roehl, J. C., L. Katzer, H. A. Jakstat, P. Wetselaar and M. O. Ahlers (2024). „Tooth Wear Evaluation System 2.0-Evaluation of diagnostic reliability in the assessment of signs and symptoms for tooth wear by non-experts.“ J Oral Rehabil 51(4): 712-723.
Schmidlin, P. R., T. Filli, C. Imfeld, S. Tepper and T. Attin (2009). „Three-year evaluation of posterior vertical bite reconstruction using direct resin composite--a case series.“ Oper Dent 34(1): 102-108.
Seligman, D. A. and A. G. Pullinger (1995). „The degree to which dental attrition in modern society is a function of age and of canine contact.“ J Orofac Pain 9(3): 266-275.
Tonetti, M. S. and M. Sanz (2019). „Implementation of the new classification of periodontal diseases: Decision-making algorithms for clinical practice and education.“ J Clin Periodontol 46(4): 398-405.
Utz, K., A. Hugger, M. Ahlers, K. Bartsch, J. Beck, J. Feyen, G. Frahn, R. Hussein, B. Imhoff, B. Kordaß, B. Marré, A. Neff, P. Rammelsberg, M. Schellmann, O. Winzen and A. Wolowski (2022). „Instrumentelle zahnärztliche Funktionsanalyse und Kieferrelationsbestimmung.“ AWMF Arbeitsgemeinschaft wissenschaftlich medizinischer Fachgesellschaften, S2k-Leitlinie (Langfassung) 93.
Van't Spijker, A., J. M. Rodriguez, C. M. Kreulen, E. M. Bronkhorst, D. W. Bartlett and N. H. Creugers (2009). „Prevalence of tooth wear in adults.“ Int J Prosthodont 22(1): 35-42.
Vervoorn-Vis, G. M., P. Wetselaar, M. Koutris, C. M. Visscher, M. Evalahti, J. Ahlberg and F. Lobbezoo (2015). „Assessment of the progression of tooth wear on dental casts.“ J Oral Rehabil 42(8): 600-604.
Wetselaar, P. (2020). "The Tooth Wear Evaluation System (TWES): New insights, further developments.
(Das Tooth Wear Evaluation System (TWES): neue Erkenntnisse, Weiterentwicklungen)." Journal of Craniomandibular Function 12(2): 133-143.
Wetselaar, P., A. Faris and F. Lobbezoo (2016). „A plea for the development of an universally accepted modular tooth wear evaluation system.“ BMC Oral Health 16(1): 115.
Wetselaar, P. and F. Lobbezoo (2016). „The tooth wear evaluation system: a modular clinical guideline for the diagnosis and management planning of worn dentitions.“ J Oral Rehabil 43(1): 69-80.
Wetselaar, P., F. Lobbezoo, M. Koutris, C. M. Visscher and M. Naeije (2009). „Reliability of an occlusal and nonocclusal tooth wear grading system: clinical use versus dental cast assessment.“ Int J Prosthodont 22(4): 388-390.
Wetselaar, P., M. J. Wetselaar-Glas, M. Koutris, C. M. Visscher and F. Lobbezoo (2016). „Assessment of the amount of tooth wear on dental casts and intra-oral photographs.“ J Oral Rehabil 43(8): 615-620.
Wetselaar, P., M. J. M. Wetselaar-Glas, L. D. Katzer and M. O. Ahlers (2020). „Diagnosing tooth wear, a new taxonomy based on the revised version of the Tooth Wear Evaluation System (TWES 2.0).“ J Oral Rehabil 47(6): 703-712.
Xhonga, F. A. (1977). „Bruxism and its effect on the teeth.“ J Oral Rehabil 4(1): 65-76.






















