Restaurative Umgestaltung der Okklusion nach Collumfraktur
Die zum Zeitpunkt des Erstbefunds 53-jährige Patientin stellte sich nach Überweisung ihres Hauszahnarztes mit einer beidseitigen Nonokklusion im Seitenzahnbereich bei ansonsten fast voller Bezahnung in der Poliklinik für Zahnärztliche Prothetik und Werkstoffkunde der Universitätsmedizin Mainz vor.
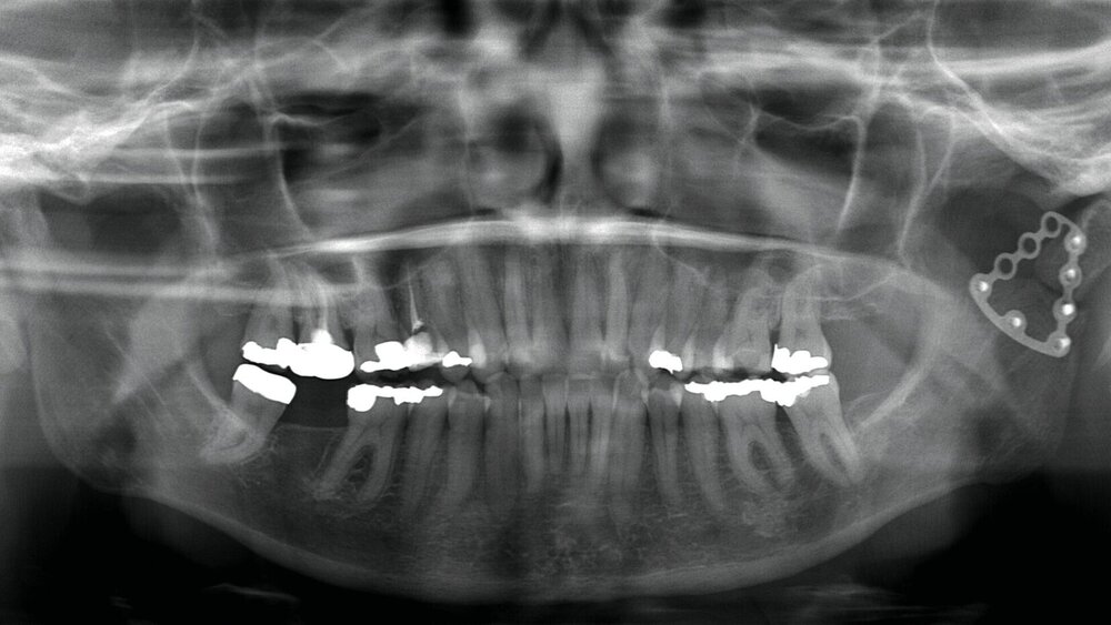
Anamnestisch waren bei ihr im März 2021 eine beidseitige Collumfraktur mit begleitendem frontoffenem Biss und eine Corpusfraktur im Unterkiefer infolge eines synkopalen Sturzes nach einer COVID-19-Impfung aufgetreten. Da das linke Collum in Fehlstellung verheilte, erfolgte alio loco eine operative Revision mit Osteosynthese (Abbildung 1). Das Metall wurde im April 2022 entfernt. Der Hauszahnarzt führte daraufhin im Verlauf eine Aligner-Therapie durch, um die immer noch fehlerhafte Okklusion zu optimieren sowie diverse Dreh- und Kippstände zu beseitigen.
Allgemeinanamnestisch imponierte die Dauermedikation mit dem Thrombozytenaggregationshemmer ASS 100 mg (0-1-0) aufgrund von zwei inserierten Stents im Dezember 2019 und den Lipidsenkern Rosuvastatin 40 mg (0-0-1) und Ezetimib 10 mg (1-0-0) sowie eine Kaliumsubstitution mittels Kalinor-Kapseln.
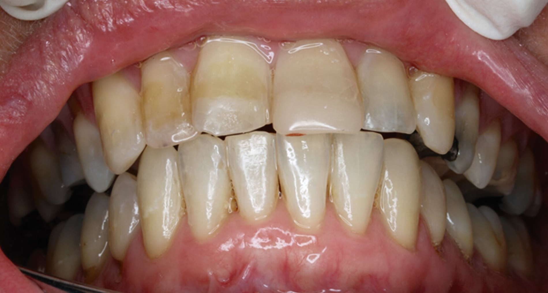
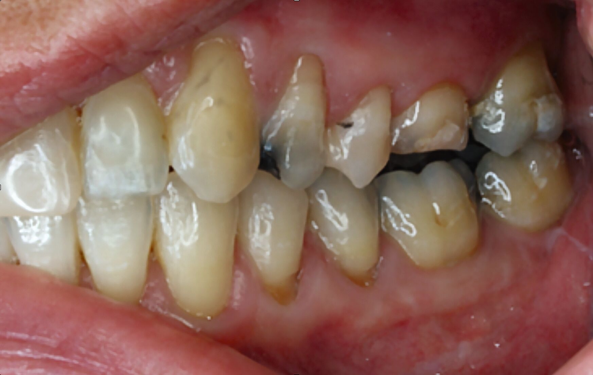
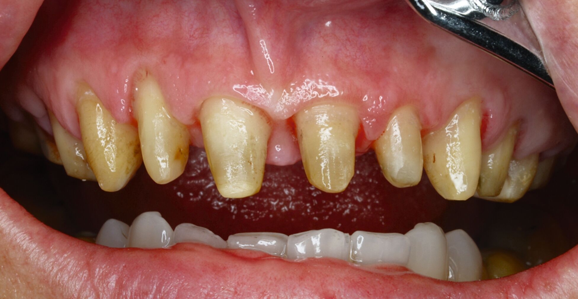
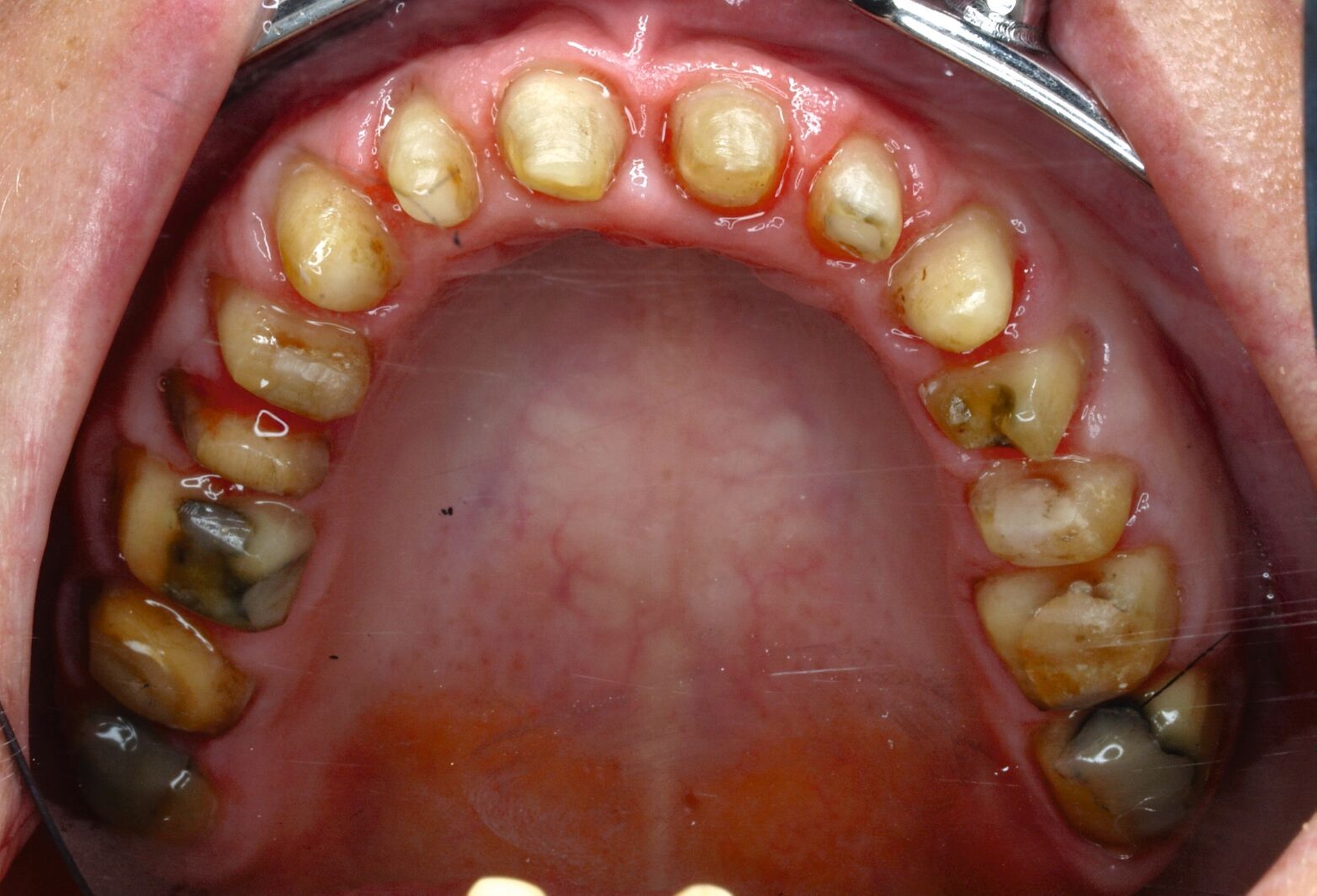
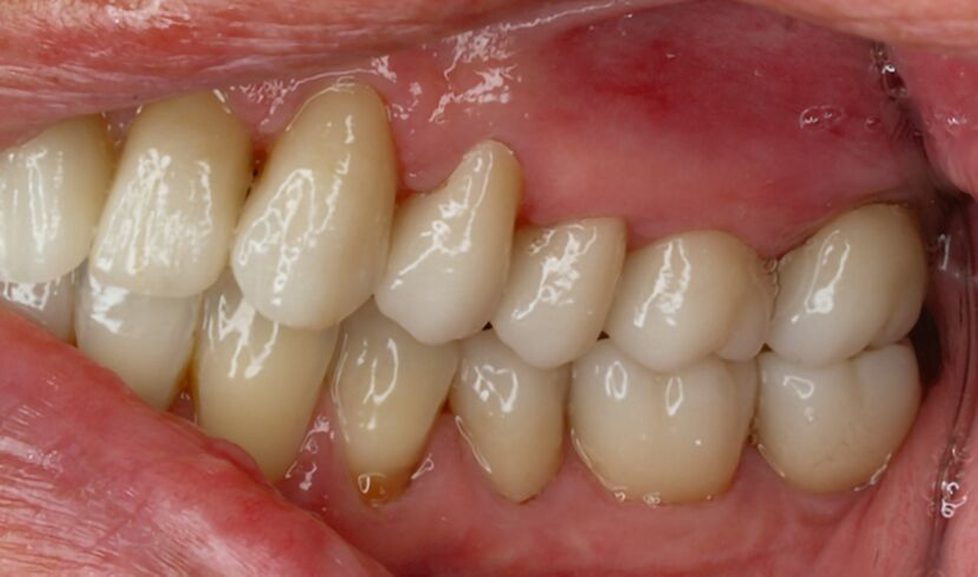
Klinisch zeigten sich diverse großflächig, mehrheitlich mit Amalgam gefüllte Seitenzähne, suffiziente endodontische Behandlungen an den Zähnen 16 und 14 sowie intakte Kronen an den Zähnen 16 und 48 (Abbildung 2). Ein Parodontaler Screening-Index (PSI) wurde erhoben (1-1-0-0-2-1), der stabile Verhältnisse nachwies. Das funktionelle CMD-Screening zeigte eine nicht-druckdolente Kaumuskulatur sowie eine uneingeschränkte Mundöffnung ohne Reiben und Knacken.
Tabelle 1 zeigt das entsprechende Befundschema mit den Taschentiefen mesial und distal, den Lockerungsgraden und den Sensibilitätsüberprüfungen mittels Kältespray (ViPr). Die Ruheschwebelage wurde mithilfe des Zielinsky-Zirkels auf 2 mm bestimmt. Die Nonokklusion im Seitenzahnbereich konnte auf circa 1,5 mm bemessen werden. Tabelle 2 spiegelt das entsprechende Okklusionsprotokoll wider. Das Okklusionsprofil wird auch in den Abbildungen 3a bis 3c deutlich.
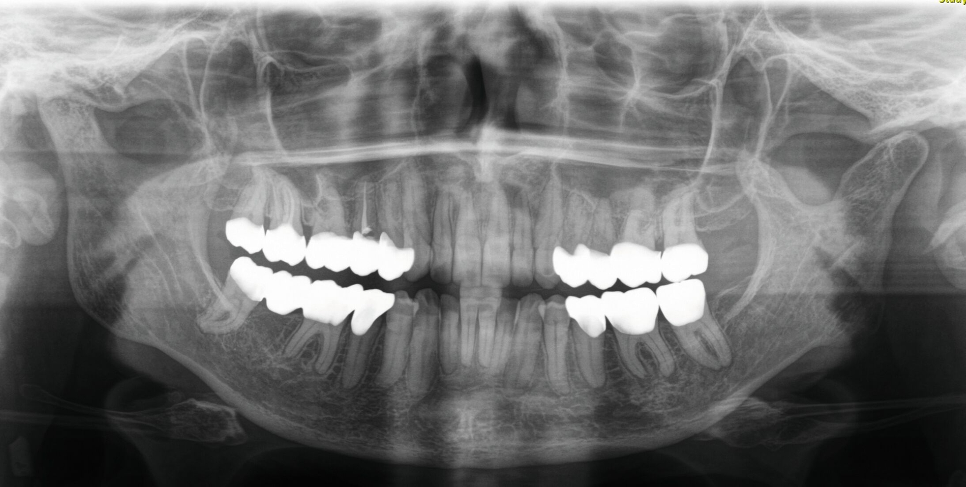
Im Rahmen der Konsultation der Mund-, Kiefer- und Gesichtschirurgie und der Kieferorthopädie erfolgte eine erneute radiologische Bildgebung (Abbildung 4). Die Patientin wurde im Anschluss beraten, dass eine Re-Osteotomie des ehemals frakturierten und nun in Fehlstellung verheilten Collumsegments links ihr Okklusionsproblem adäquat lösen könnte. Ebenso sei eine orthognathe Umstellungsosteotomie möglich. Nach ausführlicher Aufklärung entschied sich die Patientin allerdings gegen eine chirurgisch-kieferorthopädische und für eine rein prothetische Lösung. Die Patientin hatte derart Angst vor einem erneuten chirurgischen Eingriff, dass sie selbst die Aussicht auf eine längere und invasivere prothetische Behandlungsphase nicht abschreckte.
Zunächst musste daraufhin ein prothetisches Therapieziel definiert werden, wie genau die Okklusion durch den Zahnersatz (in diesem Fall Kronen und Brücken) verbessert werden kann. Dazu wurden konventionelle Alginatabformungen genommen und Situationsmodelle hergestellt, die mithilfe eines Gesichtsbogens schädelbezüglich in einen Artikulator übertragen wurden. Aufgrund der besseren Reproduzierbarkeit sollte – wenn möglich – die maximale Interkuspidation als bevorzugte Kieferrelation verwendet werden [Utz et al., 2007].
Da in diesem Patientenfall nicht mehr ausreichend viele okkludierende Zahnpaare zur Verfügung standen und zudem eine Änderung der Kieferrelation angestrebt wurde, musste folglich die Registrierung der zentrischen Kondylenposition erfolgen [Utz et al., 2010]. Die Position der Kondylen in maximaler Interkuspidation ist üblicherweise nicht exakt identisch mit der zentrischen Kondylenposition. Es werden in der Literatur sogar sagittale Abweichungen von bis über 1 mm im gesunden Kauorgan gefunden [Utz et al., 1990; Böhm et al., 1995; Böhm et al., 1995; Lentner et al., 1997].
Zur Ermittlung der zentrischen Kondylenposition wurden Gerber-Registrierschablonen angefertigt (Abbildung 5a), um enoral die Grenzbewegungen als Pfeilwinkel aufzeichnen zu können (Abbildung 5b). Die Verschlüsselung kann dabei mit Silikon oder Abformgips erfolgen. Andere Verfahren, etwa die Registrierung mittels Kinnmanipulation [Yamashita et al., 2002] oder die bimanuelle Führung [Williamson et al., 1980; Keshvad und Winstanley, 2003] stellen ebenso geeignete Verfahren dar, um die zentrische Kondylenposition bei Teil- und Vollbezahnten zu bestimmen [Utz et al., 2010].
Im zahntechnischen Labor wurde nun im Artikulator mithilfe eines diagnostischen Wax-ups die optimale Okklusion simuliert und analysiert, wie viel fehlende Zahnhartsubstanz durch den Zahnersatz kompensiert werden muss (Abbildungen 6a bis 6e). Letztlich wurde das definitive Therapiekonzepts festgelegt:
im Oberkiefer 15 Kronen (18–27)
im Unterkiefer vier Kronen (35–37 + 45) sowie eine Brücke (48-b-46)
Im Seitenzahnbereich wurden Kronen aus monolithischer Zirkondioxidkeramik und in der Front aus monolithischer Lithiumdisilikatkeramik geplant. Differenzialtherapeutisch wären bei kerngesunden Zähnen Table Tops beziehungsweise Veneers ebenso eine sehr sinnvolle alternative Therapieoption. Diese Möglichkeit schied allerdings aus: Angesichts der tiefen Füllungen und endodontischen Behandlungen waren zahnärztliche Kronen medizinisch indiziert. Die Situationsmodelle mit Wax-up wurden im Verlauf doubliert und Tiefziehschienen erstellt, um die Provisorien nach der Präparation in der neu definierten Kieferrelation herstellen zu können.
Nach Befürwortung des Therapiekonzepts durch einen Gutachter der gesetzlichen Krankenkassen wurden alle alten insuffizienten Amalgamfüllungen durch Aufbaufüllungen aus Komposit ausgetauscht. Nach Präparation der entsprechenden Zähne (Abbildungen 7a bis 7c), wurden diese mittels Doppel-Fadentechnik auf den Intraoralscan (Abbildung 7d) mittels Primescan™ (Dentsply Sirona) vorbereitet.
Da die Stützzonen in diesem Fall komplett aufgelöst wurden, erfolgte das Scannen des Bisses über das sequenzielle Einsetzen der Provisorien, die auf Grundlage der neu definierten Kieferrelation hergestellt wurden. Die Provisorien dienten somit nicht nur dem Erhalt von Kaufunktion, Ästhetik und Phonetik, sondern kamen auch beim Scannen als eine Art Bissschablone zum Einsatz. Dies basiert grundsätzlich auf einer in der Literatur weitverbreiteten Methodik („prophylaktische Bissnahme“), bei der Bissschablonen aus dem Autopolymerisat Pattern Resin vor der Präparation und der Auflösung der Stützzonen angefertigt wurden [Jude et al., 1977].
Der festsitzende Zahnersatz wurde im zahntechnischen Labor designt und aufgrund der hohen Zahl der abzuformenden Zähne zunächst aus dem PMMA Telio® CAD (Ivoclar Vivadent) gefräst, um das suffiziente Abschließen der Kronenränder sowie die statische und dynamische Okklusion überprüfen zu können (Abbildungen 8a bis 8c). Danach folgte die Rohbrandanprobe (Abbildung 9). Hierbei konnten noch einmal final Form und Farbe überprüft werden, bevor die Kronen mit einem Glanzbrand schließlich ihre endgültige Gestalt (Abbildung 10) annahmen. Im letzten Schritt wurden die Kronen schließlich mit RelyX™ Unicem 2 (3M™) selbstadhäsiv auf den Stümpfen befestigt. Mit dem Endergebnis war die Patientin hochzufrieden.
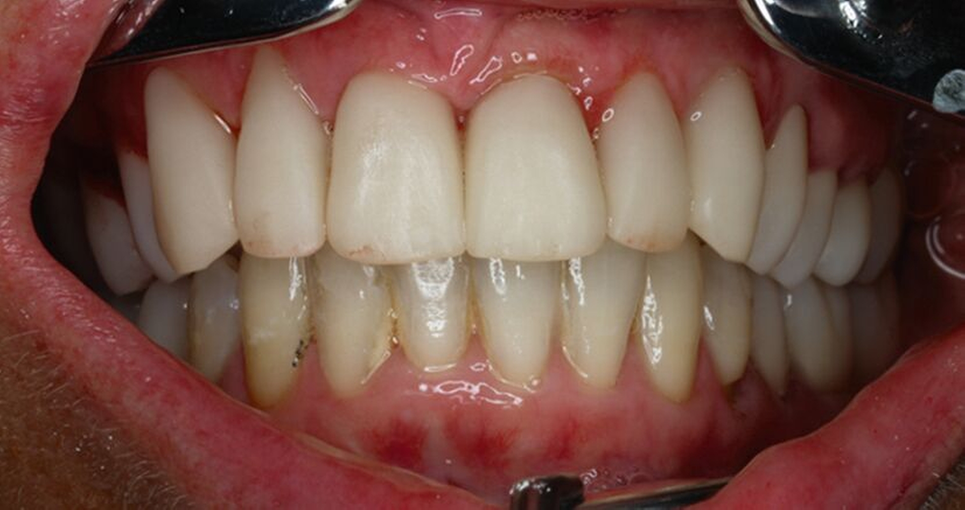
Die anschließenden Verlaufskontrollen zeigten klinisch stabile Verhältnisse. Der prothetische Behandlungsaufwand betrug etwa acht Monate inklusive Planung, Begutachtung, Durchführung und Inkorporation des Zahnersatzes. In den Folgeterminen wurde der Patientin noch eine Aufbissschiene für den Unterkiefer eingegliedert, um Schäden durch etwaigen Schlafbruxismus vorzubeugen [Macedo et al., 2007]. Für die Nachsorge empfiehlt sich ein halbjährliches Kontrollintervall. Die erfolgte Okklusionskorrektur im Seitenzahnbereich wird in Abbildung 11 deutlich.
Diskussion
Die Beziehung zwischen Ober- und Unterkiefer wird vor allem durch die Kiefergelenke, die Kaumuskulatur und die Okklusion bestimmt [Utz et al., 2010]. Eine Fraktur des Collum mandibulae manifestiert sich oft klinisch durch eine eingeschränkte Mundöffnung und eine Verschiebung in Richtung der Frakturseite. Dies kann zu einem neu auftretenden vorzeitigen Kontakt im Molarenbereich auf der gleichen Seite und zu einem offenen Biss auf der gegenüberliegenden Seite führen [Gielisch et al., 2020].
Die angemessene Behandlung von Frakturen im Bereich des Gelenkfortsatzes und insbesondere nahe des Gelenks der Mandibula bleibt weiterhin kontrovers. Allerdings hat sich für dislozierte oder luxierte Frakturen der Gelenkfortsatzbasis – wie im vorliegenden Fall – und zunehmend auch für Frakturen nahe der Basis des Gelenkhalses im Erwachsenenalter die operative Behandlung weitgehend als Standard etabliert [Neff et al., 2014; Al-Moraissi et al., 2023]. Als entscheidende Kriterien für eine erfolgreiche Therapie gilt eine möglichst vollständige und beschwerdefreie Wiederherstellung der ursprünglichen Okklusion und der Gelenkfunktion.
Die Entwicklung von Malokklusionen wie einer Kreuzbisslage wird durch die verkürzte Abstützung (Frakturdislokation) sowie durch den Zug der suprahyoidalen Muskulatur auf den Unterkiefer erklärt [Becking et al., 1998; Chen et al., 2011] und tritt bei bis zu 24 Prozent der konservativ geschlossenen und nur bei etwa zehn Prozent der chirurgisch offen behandelten Collumfrakturen auf [Chen et al., 2011; Forouzanfar et al.; 2013; Rozeboom et al., 2017]. Einige Autoren schlussfolgern, dass die chirurgische Versorgung einer Kiefergelenksfraktur Okklusionsstörungen in der Regel zuverlässig vermeiden kann [Neff et al., 2005; Kolk et al., 2020].
Die Korrektur von Malokklusionen nach verheilten Collumfrakturen kann je nach Ausmaß mittels einseitiger oder beidseitiger Umstellungsosteotomien oder durch gezielte Re-Osteotomie und Osteosynthese des Collum erfolgen, wobei jeweils spezifische Komplikationsraten zu beachten sind [Becking et al., 1998; Gielisch et al., 2020]. Dabei ist auch die mögliche Beeinträchtigung der Lebensqualität bis zur endgültigen Korrektur der Fehlstellung zu berücksichtigen [Palomares et al., 2016; Gielisch et al., 2020].
Eine relevante Komplikation nach operativer Versorgung von Collumfrakturen – was auch die Patientin primär abschreckte – ist das Auftreten von dauerhaften oder von temporären Facialisparesen. Eine temporäre Facialisparese tritt bei enoralem Zugang in 0,72 bis 4,2 Prozent der Fälle auf, während sie bei retromandibulärem oder modifiziertem präaurikulärem oder retroaurikulärem Zugang in 0 bis 3,4 Prozent der Fälle auftritt [Al-Moraissi et al., 2018]. Dauerhafte Facialisstörungen werden unabhängig vom gewählten Zugang in 0,3 bis 2,2 Prozent der Fälle berichtet [Al-Moraissi et al., 2018].
Die hier vorgestellte prothetische Variante zur Behandlung der posttraumatischen Nonokklusion stellt im Rahmen eines prothetischen Gesamtkonzepts unter bestimmten Voraussetzungen eine weitere therapeutische Alternative dar. Üblicherweisewird bei tiefgreifenden Veränderungen der Kieferrelation, beispielsweise im Rahmen einer Bisshebung, ausführlich über die Dauer, einzelne Phasen und Risiken der Behandlung aufgeklärt. Dabei gilt es zudem stets zu eruieren, was der Grund für die veränderte Kieferrelation ist. Dabei können Nichtanlagen, Zahn- und Kieferfehlstellungen (Dysgnathien), Karies, Traumata sowie nichtkariöse Zahnhartsubstanzdefekte wie Abrasion, Attrition oder Erosion infrage kommen. Auch die Dauer des Vorhandenseins der veränderten Kieferrelation spielt eine entscheidende Rolle in der Therapie. So besteht die Situation bei einem Trauma – wie in diesem Fall – eher kurzfristig und bei Bruxismus-Patienten über viele Jahre. In letzterem Fall ist anzunehmen, dass wegen des langen Bestehens und der starken muskulären Aktivität eine muskuläre Adaptation an die zu niedrige Kieferrelation stattgefunden hat.
Die Ursachen von Bruxismus wurden lange Zeit auf Störungen in der statischen (Vorkontakte) oder in der dynamischen Okklusion (Gleithindernisse) zurückgeführt. Angenommen wurde, dass Patienten durch das Knirschen versuchen, diese störenden Kontakte zu beseitigen. Die Erkenntnis, dass korrigierendes Einschleifen den Bruxismus nicht stoppen konnte, und die Feststellung, dass Störungen der Okklusion auch als eine Folge des Bruxismus auftreten können, haben zu einem Umdenken geführt [Peroz et al., 2019].
Interessant ist deshalb, dass es in der Literatur nach wie vor keine Belege dafür gibt, dass Okklusion und Bruxismus in einem engen ätiologischen Zusammenhang stehen [Lobbezoo und Naeije, 2001; Lobbezoo et al., 2012]. Auch wird kontrovers diskutiert, ob Bruxismus als auslösender Faktor einer Craniomandibulären Dysfunktion (CMD) gilt [Jiménez-Silva et al., 2017; Peroz et al., 2019].
Fazit für die Praxis
Der derzeitige therapeutische Goldstandard bei dislozierten oder luxierten Frakturen der Gelenkfortsatzbasis und des basisnahen Gelenkhalses besteht in der anatomischen Reposition und Osteosynthese.
Eine Malokklusion nach chirurgischer Versorgung einer Collumfraktur stellt eine eher seltene Komplikation dar.
Die Behandlung der posttraumatischen Malokklusion kann chirurgisch oder in speziellen Fällen auch prothetisch erfolgen.
Zum Definieren eines Therapieziels und zum Festlegen des Behandlungskonzepts kann ein konventionelles diagnostisches Wax-up bei Veränderung der Kieferrelation notwendig sein.
Zuvor kann eine Pfeilregistrierung zur Ermittlung der zentrischen Kondylenposition indiziert sein.
Sofern die veränderte Kieferrelation erst kurzfristig besteht (Trauma) und die vertikale Kieferrelation nicht verändert werden soll, kann auf eine Vorbehandlung mit Okklusionsschienen und Langzeitprovisorien zum Austesten der neuen Kieferrelation verzichtet werden.
Vor Veränderung der Kieferrelation bei Bruxismuspatienten mit definitiven prothetischen Therapiemaßnahmen sollte eine Vorbehandlung basierend auf funktionsanalytischen Maßnahmen mit Okklusionsschienen in der geänderten Kieferrelation für mehrere Wochen und Langzeitprovisorien für mehrere Monate zum Austesten der neuen Kieferrelation durchgeführt werden [Peroz et al., 2019].
Bei kieferorthopädischen oder kieferchirurgischen Veränderungen der Kieferrelation sollten funktionsanalytische Maßnahmen in Betracht gezogen werden [Bernhardt et al., 2014].
In diesem Patientenfall wurde weder die vertikale Kieferrelation verändert, noch war der Grund für die veränderte Kieferrelation eine hohe Bruxismusaktivität. Daher bestand auch keine muskuläre Anpassung an die erst seit Kurzem bestehende veränderte Kieferrelation wegen des Traumas, so dass auf eine Adaptationsphase mittels Aufbissschiene und Langzeitprovisorien verzichtet werden konnte.
Literaturliste
Al-Moraissi EA, A Louvrier, G Colletti, LM Wolford, F Biglioli, M Ragaey, C Meyer and E Ellis, 3rd: Does the surgical approach for treating mandibular condylar fractures affect the rate of seventh cranial nerve injuries? A systematic review and meta-analysis based on a new classification for surgical approaches. J Craniomaxillofac Surg 46:398-412, 2018.
Al-Moraissi EA, A Neff, A Kaur, SGM Falci, G Maria de Souza and E Ellis: Treatment for Adult Mandibular Condylar Process Fractures: A Network Meta-Analysis of Randomized Clinical Trials. J Oral Maxillofac Surg 81:1252-1269, 2023.
Becking AG, SA Zijderveld and DB Tuinzing: Management of posttraumatic malocclusion caused by condylar process fractures. J Oral Maxillofac Surg 56:1370-1374; discussion 1374-1375, 1998.
Böhm A, P Rammelsberg, H May, J Pho Duc, P Pospiech and W Gernet: Direkte dreidimensionale elektronische Kondylenpositionsanalysen zur Bestimmung von RKP-IKP-Diskrepanzen. Dtsch Zahnärztl 50, 1995.
Böhm A, P Rammelsberg, J Pho Duc, H May, P Pospiech and W Gernet: Elektronische Kondylenpositionsanalyse bei Gesunden und Patienten mit anteriorer Diskusverlagerung im Kiefergelenk. Dtsch Zahnärztl 50, 1995.
Chen CT, CH Feng, PK Tsay, JP Lai and YR Chen: Functional outcomes following surgical treatment of bilateral mandibular condylar fractures. Int J Oral Maxillofac Surg 40:38-44, 2011.
Forouzanfar T, F Lobbezoo, M Overgaauw, A de Groot, S Kommers, M van Selms and B van den Bergh: Long-term results and complications after treatment of bilateral fractures of the mandibular condyle. Br J Oral Maxillofac Surg 51:634-638, 2013.
Gielisch M, F Schmidseder and PW Kämmerer: Der besondere Fall mit CME: Dislozierte beidseitige Collumfraktur – Probleme der konservativen Behandlung. Zahnärztliche Mitteilungen 110:56-59, 2020.
Jiménez-Silva A, C Peña-Durán, J Tobar-Reyes and R Frugone-Zambra: Sleep and awake bruxism in adults and its relationship with temporomandibular disorders: A systematic review from 2003 to 2014. Acta Odontologica Scandinavica 75:36-58, 2017.
Jude H, S Fukushima, F Drechsler and B Nenhauser: Elektromyographische Untersuchungen an der Kaumuskulatur nach Präparation endständiger Molaren als Brückenpfeiler. 1977.
Keshvad A und RB Winstanley: Comparison of the replicability of routinely used centric relation registration techniques. Journal of prosthodontics 12:90-101, 2003.
Kolk A, LM Scheunemann, F Grill, H Stimmer, KD Wolff and A Neff: Prognostic factors for long-term results after condylar head fractures: A comparative study of non-surgical treatment versus open reduction and osteosynthesis. J Craniomaxillofac Surg 48:1138-1145, 2020.
Lentner E, P Rammelsberg, A Böhm, P Pospiech and W Gernet: Zum Untersuchereinfluss auf Lage und Reproduzierbarkeit der zentrischen Kondylenposition. Dtsch Zahnärztl 52:411-415, 1997.
Lobbezoo F, J Ahlberg, D Manfredini and E Winocur: Are bruxism and the bite causally related? Journal of oral rehabilitation 39:489-501, 2012.
Lobbezoo F and M Naeije: Bruxism is mainly regulated centrally, not peripherally. Journal of oral rehabilitation 28:1085-1091, 2001.
Macedo CR, AB Silva, MAC Machado, H Saconato and GF Prado: Occlusal splints for treating sleep bruxism (tooth grinding). Cochrane Database of Systematic Reviews 2007.
Neff A, C Chossegros, JL Blanc, P Champsaur, F Cheynet, B Devauchelle, U Eckelt, J Ferri, MF Gabrielli, L Guyot, DA Koppel, C Meyer, B Muller, T Peltomaki, F Spallaccia, A Varoquaux, A Wilk, P Pitak-Arnnop and A International Bone Research: Position paper from the IBRA Symposium on Surgery of the Head--the 2nd International Symposium for Condylar Fracture Osteosynthesis, Marseille, France 2012. J Craniomaxillofac Surg 42:1234-1249, 2014.
Neff A, A Kolk, F Meschke, H Deppe and HH Horch: [Small fragment screws vs. plate osteosynthesis in condylar head fractures]. Mund Kiefer Gesichtschir 9:80-88, 2005.
Palomares NB, RK Celeste and JA Miguel: Impact of orthosurgical treatment phases on oral health-related quality of life. Am J Orthod Dentofacial Orthop 149:171-181, 2016.
Peroz I, O Bernhardt, H Kares, K Hj, M Lange and P Nilges: S3 Leitlinie: Diagnostik und Behandlung von Bruxismus. Journal of Cranimandibular Function 2019.
Rozeboom AVJ, L Dubois, RRM Bos, R Spijker and J de Lange: Closed treatment of unilateral mandibular condyle fractures in adults: a systematic review. Int J Oral Maxillofac Surg 46:456-464, 2017.
Utz K, H Duvenbeck and K Oettershagen: The distance between the terminal hinge position and the intercuspation position in the temporomandibular joint area. Schweizer Monatsschrift fur Zahnmedizin= Revue Mensuelle Suisse D'odonto-stomatologie= Rivista Mensile Svizzera di Odontologia e Stomatologia 100:42-49, 1990.
Utz K, M Schmitter, W Freesmeyer, T Morneburg, A Hugger, J Türp and R Rammelsberg: Wissenschaftliche Mitteilung der Deutschen Gesellschaft für Prothetische Zahnmedizin und Biomaterialien eV (vormals DGZPW): Kieferrelationsbestimmung. Dtsch Zahnärztl 65, 2010.
Utz KH, F Müller, W Lückerath, P Schwarting, W Noethlichs, R Büttner, E Fuss, M Grüner and B Koeck: The lateral leeway in the habitual intercuspation: experimental studies and literature review. Journal of oral rehabilitation 34:406-413, 2007.
Williamson E, R Steinke, P Morse and T Swift: Centric relation: a comparison of muscle-determined position and operator guidance. American journal of orthodontics 77:133-145, 1980.
Yamashita S, Y Igarashi and M Ai: Tooth contacts at the mandibular retruded position, comparison of two different methods for bite registration. Journal of oral rehabilitation 29:823-826, 2002.































