Implantologie: Was traue ich mir selbst zu, was muss zum Spezialisten?
In der zahnärztlichen Implantologie gibt es verschiedene Ansätze. Zum einen gibt es die klassische Überweiserstruktur zu erfahrenen Chirurginnen und Chirurgen. Dieser Ansatz hat sich besonders gut etabliert; ein Großteil der jährlich in Deutschland inserierten Implantate wird auf diese Art eingesetzt und versorgt. Der zweite denkbare Weg ist, dass Chirurgie und Prothetik in einer Hand bleiben. Hier stellt sich die Frage, wie breit das chirurgische Spektrum von allgemein tätigen Zahnärzten ist und welche Fälle sie beherrschen. Vor allem für Einsteiger in die Implantologie ist es entscheidend, einschätzen zu können, ob eine klinische Situation vergleichsweise einfach oder doch herausfordernder ist.
In diesem Artikel stellen wir zwei Fälle vor, bei denen ein unterschiedlicher Behandlungsmodus gewählt wurde. Im ersten Fall wurde die Rehabilitation von einem Operateur allein durchgeführt. Im zweiten Fall – einem aus chirurgischer und prothetischer Sicht komplexen Fall – wurde die Rehabilitation von zwei erfahrenen Kollegen, einem Chirurgen und einem Prothetiker, zusammen durchgeführt.
straightforward (S), advanced (A) und complex (C)
Das International Team for Implantology (ITI, Basel, Schweiz) hat sich der Klassifikation von Implantatsituationen gewidmet und eine im Alltag sehr gut anwendbare Einschätzung vor Behandlungsbeginn etabliert. Dabei werden laut SAC Assessment Tool drei Kategorien unterschieden: straightforward (S), advanced (A) und complex (C). Am Beispiel eines relativ einfachen Falles mit fehlendem Unterkiefermolar (Zahn 46) werden die verschiedenen Einflussfaktoren besprochen. Anschließend werden die klinisch relevantesten Schritte des komplexen zweiten Falles separat grafisch dargestellt.
Fall 1 – straightforward
Allgemeine Risikobewertung
Am Anfang werden wir vom Programm befragt, welche Situation wir einschätzen wollen: eine rein chirurgische Behandlung, eine rein prothetische Rehabilitation, beides kombiniert und/oder eine ästhetische Risikobeurteilung. Wir besprechen im Folgenden die chirurgischen und prothetischen Risikofaktoren (Abbildung 1): Zuerst müssen wir die Größe der Lücke angeben, in unserem Fall eine Einzelzahnlücke im Seitenzahnbereich ohne ästhetisches Risiko. Dann werden wir nach dem Gesundheitszustand des Patienten gefragt – und hier beginnt bereits die Komplexität. Auf der Skala der American American Society of Anesthesiologists (ASA) werden drei Kategorien unterschieden: der gesunde Patient (ASA 1) stellt hier die S-Variante dar.
Chirurgische Klassifikation
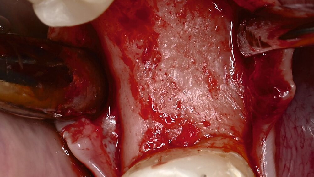
Als nächster Punkt wird der Zugang zum OP-Gebiet beurteilt. Liegt keine Einschränkung vor, befinden wir uns im S-Bereich. Die beiden nächsten Punkte betreffen Pathologien an den Nachbarzähnen und vorige Operationen im Implantationsgebiet. Die einfachste Situation ist, wenn weder Pathologien noch irgendwelche Voroperationen vorliegen. Bei der Beurteilung der chirurgischen Komplexität spielt die Ausheilung des Knochens eine Rolle, wobei die Implantation in eine ausgeheilte knöcherne Situation ohne Knochen-aufbauende Maßnahmen den einfachsten Fall darstellt.
Dann wird der Status der Weichgewebe erfasst und beurteilt: Bei einer Breite von mehr als 4 mm keratinisierter Mukosa ohne Narbengewebe und Entzündungen wird das Label S vergeben. Die Nähe von anatomischen Nachbarstrukturen ist der nächste Punkt, im S-Fall besteht nur ein minimales Risiko der Beteiligung. Das Vorhandensein der Papille an den Nachbarzähnen ohne Rezessionen stellt die ideale Situation dar. In der S-Variante befindet sich das Knochenniveau der Nachbarzähne auf der Höhe der Schmelz-Zement-Grenze, wobei ein gewisser Knochenabbau im Zusammenhang mit dem Verlust eines Zahnes einzurechnen ist.

Prothetische Klassifikation
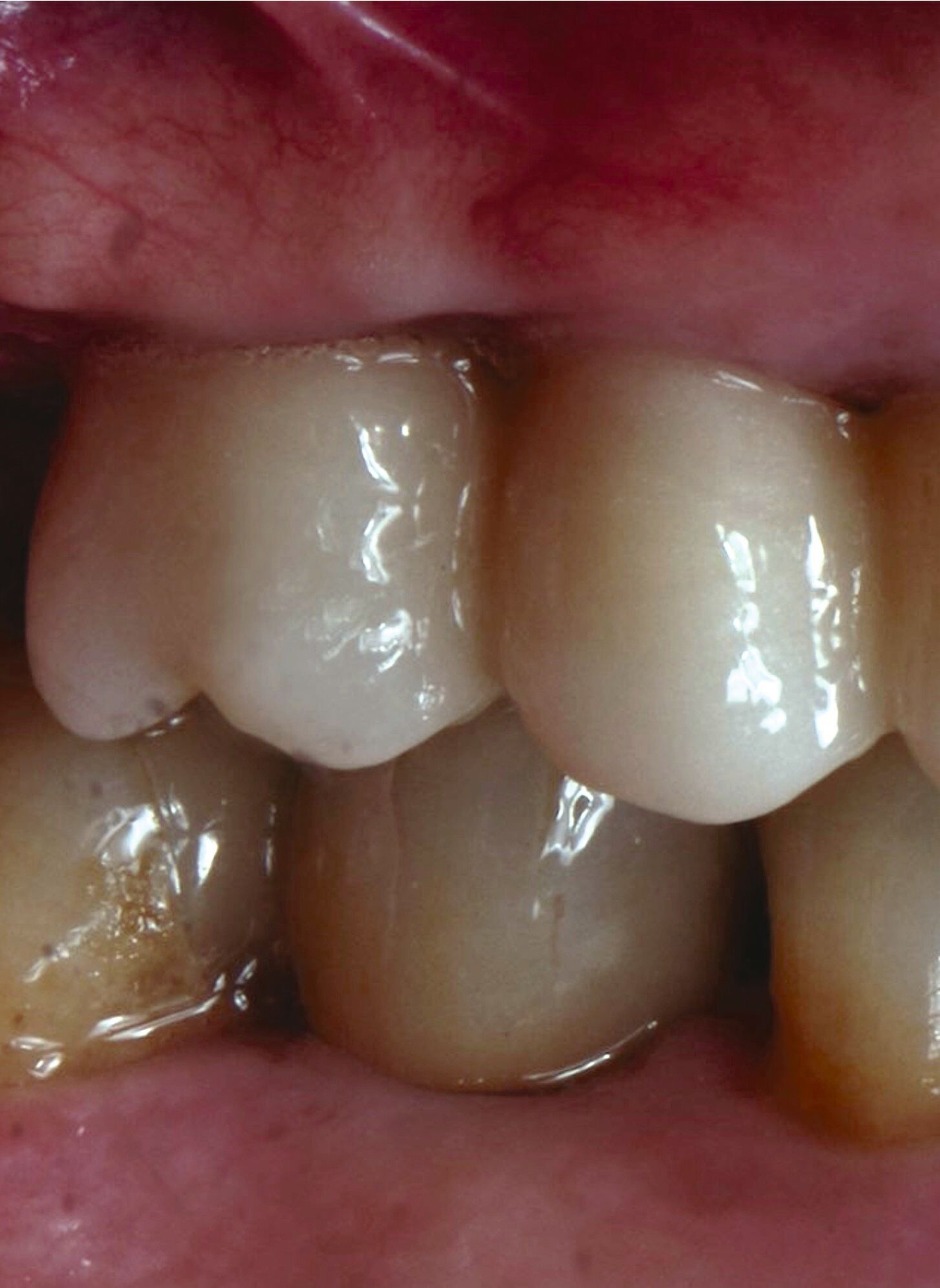
Nach der Beurteilung der chirurgischen Risiken werden die prothetischen Voraussetzungen evaluiert. Ist ausreichend Platz für die Idealgestaltung der zukünftigen Restauration vorhanden (sowohl was die Anatomie als auch was die funktionelle Gestaltung angeht), stellt dies die S-Variante dar. Im vorliegenden Fall zeigt sich der Zahn 47 kariös sowie teilweise rotiert und mesioincliniert, wodurch der prothetische Raum für 46 partiell verschlossen ist (Abbildung 2). Wir entschieden uns daher für eine simultane Versorgung von Zahn 47 mit einer Teilkrone. Ziel war es, die Insertionsachse der Implantatkrone und die Reinigbarkeit der Interdentalräume zu optimieren (Abbildung 3).


Eine zusätzliche Maßnahme, um das Weichgewebe zu optimieren, ist nicht notwendig und das angestrebte Okklusionskonzept kann umgesetzt werden, wobei die implantatprothetische Restauration nur minimal im Kontakt steht. Dies ist in vielen Fällen nur schwer umzusetzen. Wird die Restauration voll in statischer Okklusion belastet, bekommt die Restauration das Label A. Im vorliegenden Fall wird die Implantatkrone in gewisser Weise von den Nachbarzähnen geschützt, befindet sich aber dennoch in Okklusion (Abbildung 5). Für Implantatkronen, wie in diesem Fall, wird das Okklusionsschema so angepasst, dass die Shimstock-Folie im Schleifkontakt durchgehen kann. Situationen ohne okklusale Parafunktionen stellen ein geringes Risiko dar. Dann entscheidet der Zeitpunkt der Belastung über das Risiko, wobei spät und früh belastete Implantate dasselbe geringe Risiko haben. In unserem Fall zeigt der Patient Anzeichen einer Parafunktion, sodass den Unterkieferbewegungen und der okklusalen Morphologie der Restauration besondere Aufmerksamkeit gewidmet werden muss.

In der vorgestellten Situation wird kein therapeutischer Zahnersatz (Langzeitprovisorium) benötigt, daher bekommt unser Fall das Label S. Kann eine verschraubbare Krone verwendet werden, erhält diese ebenfalls das Prädikat S, die zementierte Restauration wird mit einem höheren Risiko bewertet.
Fall 2 – complex (chirurgisch/prothetisch)
Der zweite Fall zeigt, dass nicht alle implantologischen Behandlungen chirurgisch als straightforward (S) eingestuft werden können. Während im Straightforward-Fall ein Behandler ausreichte, war im komplexen Fall die Expertise von zwei spezialisierten Kollegen nötig. Dies verdeutlicht, dass die Einschätzung der Komplexität vor Behandlungsbeginn entscheidend ist, um den optimalen Behandlungsweg zu wählen und das bestmögliche Ergebnis zu erzielen.
Fazit
Das SAC Assessment Tool bietet eine praxisnahe und fundierte Einschätzung vor Behandlungsbeginn, die sowohl bei einfachen als auch bei komplexen Fällen wertvolle Entscheidungshilfen für eine erfolgreiche implantologische Versorgung liefert.
Kastentitel
Kastentext - Lorem ipsum dolor sit amet, consetetur sadipscing elitr, sed diam nonumy eirmod tempor invidunt ut labore et dolore magna aliquyam erat.
Aufzählung
Aufzählung
Fall 1: Chirurgie/Prothetik: PD Dr. Stefano Pieralli
Fall 2: Chirurgie: Prof. Dr. Stimmelmayr, Prothetik: Univ.-Prof. Dr. Beuer, MME






















