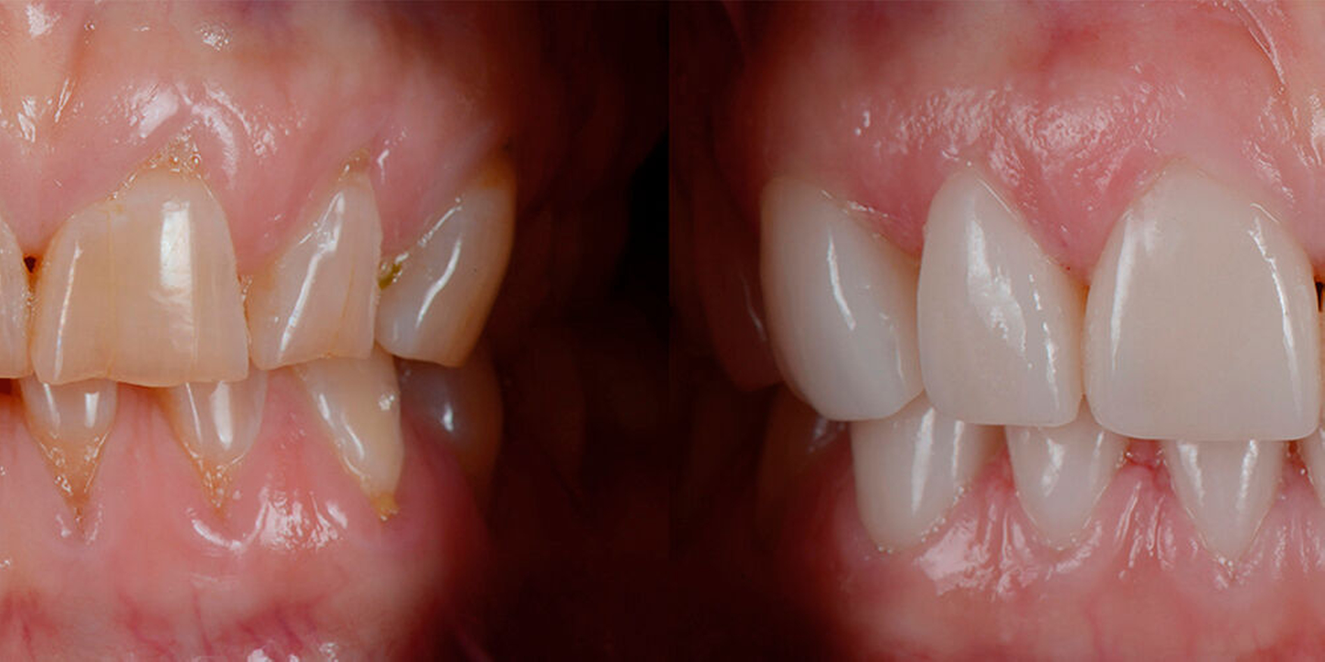
Die Perfekte Lösung: Veneers ohne Präparation
Ob Zähne abgebrochen, verschachtelt oder in der Achsrichtung nicht korrekt ausgerichtet sind, Protilab Easyfit-NonPräp Veneers korrigieren schnell und einfach Unregelmäßigkeiten. Protilab kombiniert Ästhetik mit einer hohen Präzision, um eine perfekte Passform auf die natürlichen Zähne des Patienten zu gewährleisten. Sie, als Behandler, sparen wertvolle Zeit, da die Veneers meist ohne Anästhesie fixiert werden können.
Vorteile für den Patienten:
Minimale Eingriffe: Die Veneers ohne Präparation erfordern keine schmerzhafte Entfernung von Zahnschmelz. Dies bedeutet für Ihre Patienten eine schmerzfreie Erfahrung ohne den unangenehmen Bohrer.
Erhalt der natürlichen Zahnsubstanz: Durch den Verzicht auf die Präparation bleibt die Integrität der natürlichen Zahnsubstanz vollständig erhalten. Dies minimiert das Risiko von Schäden und erhält die langfristige Gesundheit der Zähne.
Zeitersparnis: Die Anwendung herkömmlicher Veneers erfordert oft mehrere Sitzungen, während Veneers ohne Präparation in einer einzigen Sitzung angebracht werden können. Patienten sparen wertvolle Zeit und erhalten gleichzeitig sofortige ästhetische Ergebnisse.
Natürliches Aussehen: Dank fortschrittlicher Technologie sind diese Veneers kaum von natürlichen Zähnen zu unterscheiden. Patienten können ihr strahlendes Lächeln genießen, ohne Kompromisse bei der Ästhetik einzugehen.
Vorteile für den Zahnarzt:
Erweiterte Behandlungsoptionen: Die Möglichkeit, Veneers ohne Präparation anbieten zu können, erweitert Ihr Behandlungsspektrum. Sie können nun auch Patienten, die Angst vor minimalen Eingriffen haben, behandeln.
Effizienzsteigerung: Die Anbringung erfordert weniger Zeit im Vergleich zu herkömmlichen Veneers. Dies ermöglicht es Ihnen, mehr Patienten in kürzerer Zeit zu behandeln und gleichzeitig hochwertigen Zahnersatz für Patienten anzubieten.
Insgesamt bieten Veneers ohne Präparation eine Win-Win-Situation für Zahnärzte und Patienten gleichermaßen. Die Patienten profitieren von einer schmerzfreien, schnellen und ästhetisch ansprechenden Lösung. Sie als Zahnärzte können effizienter arbeiten und diesen Behandlungsvorteil nutzen.
Wir laden Sie herzlich ein, diese Technik zu testen und Ihren Patienten einen alternativen Weg in Sachen schmerzfreier, ästhetischer Zahnheilkunde aufzuzeigen.
Bei Fragen oder Interesse stehen wir Ihnen gerne zur Verfügung.
Klicken Sie hier hier, um die Dokumentation herunterzuladen.









