Rezidivierendes Lymphangiom des Mittelgesichts – Sklerosierung und Resektion
Der inzwischen 23-jährige Patient stellte sich mit der seit seiner Kindheit gering größenprogredienten Schwellung der rechten Wange in der Klinik für Mund-, Kiefer- und Gesichtschirurgie Mainz vor (Abbildung 1). Der bereits kongenital vorliegende Befund hatte sich in den vorherigen Biopsien histologisch als Lymphangiom herausgestellt. Aufgrund der – vorrangig optischen – Beeinträchtigung ohne Amblyopiegefahr waren schon früh eine Laserbehandlung des Befunds sowie – zwei Jahre vor der aktuellen Vorstellung – eine lokale Therapie mittels Imeron-verdünnter Belomycinlösung erfolgt. Klinisch stellte sich die Raumforderung als derber, indolenter Tumor ohne Pulsation und ohne sensible oder motorische Beeinträchtigung dar. Es zeigten sich weder Visuseinschränkungen noch Augenbewegungsstörungen. Aufgrund der optischen Veränderung der rechten Wange mit deutlich ästhetischem Defizit und hohem subjektivem Leidensdruck erfolgte die elektive Vorstellung zur operativen Therapie.
Zur Beurteilung der Befundausdehnung und zur Planung der Therapie wurde präoperativ eine Magnetresonanztomografie (MRT) des Schädels angefertigt (Abbildung 2). Hier zeigte sich die bekannte vaskuläre Malformation der rechten Wange mit Ausläufern nach intraorbital, in die Fossa pterygopalatina und infratemporalis. Im Vergleich zu den Voraufnahmen zeigte sich eine geringe Größenprogredienz des extraorbitalen Befunds (Abbildung 3).
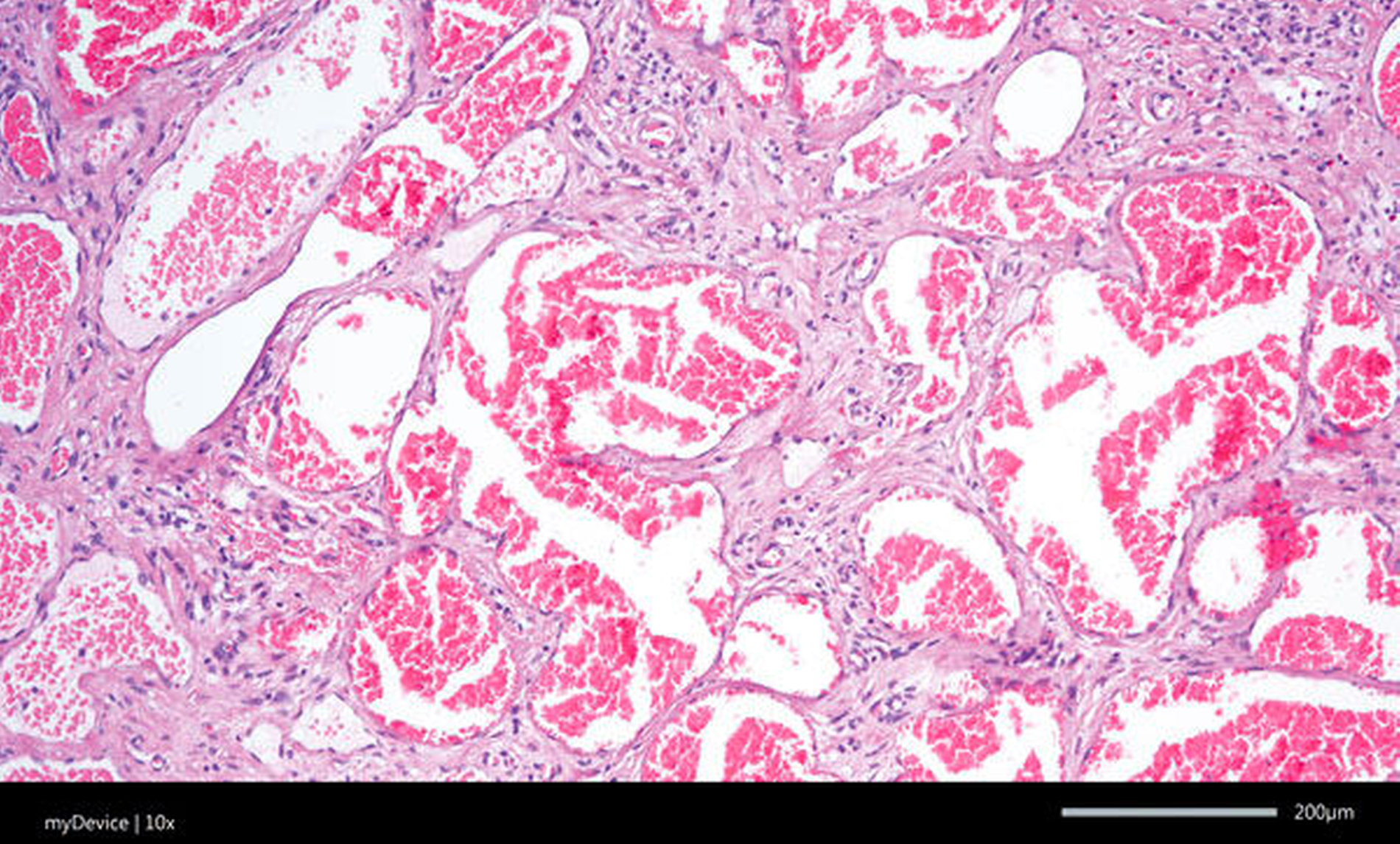
Nach präoperativer Sklerosierung des Wangenhauptbefunds (Abbildung 4) erfolgte am Folgetag die Resektion in Intubationsnarkose. Hierzu wurde nach subziliärer Schnittführung (Abbildung 5) eine scharfe Präparation des Tumors nach kaudal unter Schonung des Ramus buccalis des Nervus facialis durchgeführt (Abbildung 6) und dieser schließlich exzidiert (Abbildung 7). In der histopathologischen Aufarbeitung zeigten sich Muskel-, Fett- und Weichgewebe mit reichlich interponierten, kavernös konfluierenden, blutgefüllten Gefäßformationen unterschiedlicher Größe (Abbildung 8). Der postoperative Verlauf gestaltete sich bis auf eine vorübergehende Einschränkung der Fazialisfunktion im Bereich des Mundastes unauffällig, sodass der Patient zeitnah in die ambulante Weiterbetreuung entlassen werden konnte.
Diskussion
Lymphangiome stellen eine seltene gutartige Fehlbildung des Lymphgefäßsystems dar. Sie entwickeln sich bereits während der Embryonalzeit und werden zu 90 Prozent zum Zeitpunkt der Geburt klinisch auffällig [Zhou et al., 2011]. Die vaskuläre Malformation zeigt weder eine Geschlechterpräferenz noch typische Prädilektionsstellen. Eine besonders hohe Prävalenz findet sich jedoch – aufgrund der starken lymphatischen Drainage – im Kopf-Hals-Bereich. Enoral kommen Lymphangiome gehäuft am Zungenrücken, extraoral am ehesten in der hinteren Halsregion vor [Ganesh et al., 2013]. Klinisch zeigt sich häufig eine schmerzlose, weiche Schwellung. Dabei ist die Größe des Lymphangioms variabel und kann durch Infektionen oder eine lymphatische Stauung massiv an Volumen zunehmen [Hancock et al., 1992; Barnes et al., 2005]. Abhängig von der Größe, der Ausdehnung und der Lokalisation des Befunds ist das Auftreten verschiedenster Komplikationen möglich, jedoch selten. Zu diesen zählen kompressionsbedingte Schäden lokaler Nerven sowie die Obstruktion der oberen Atemwege [Hancock et al., 1992; Kotsis et al., 2019]. Es wurden einige Fälle mit moderatem bis massivem Blutverlust beschrieben. Zahnextraktionen an jungen Patienten mit bekanntem Lymphangiom oder verdächtigen, bisher nicht abgeklärten Schwellungen mit enoraler Ausdehnung sind mit besonderer Vorsicht vorzunehmen [Llapur et al., 2011; Kudur and Hulmani, 2013; Rai et al., 2013].
Lymphangiome werden in drei Gruppen unterteilt: a) Lymphangioma simplex, b) Lymphangioma cavernosum und c) Lymphangioma cysticum. Das Lymphangioma simplex formt typischerweise multiple, lymphgefüllte Bläschen mit erythrozytärem oder leukozytärem Inhalt. Tiefer innerhalb des Hautniveaus liegt das Lymphangioma cavernosum. Dieses setzt sich aus massiv dilatierten Lymphräumen mit einem festen umgebenden Bindegewebe zusammen, deren Lumina miteinander in Verbindung stehen und eine proliferative Progredienz zeigen. Eine gelegentliche Infiltration in benachbarte Strukturen wie beispielsweise Muskelgewebe wurde beschrieben. Das Lymphangioma cysticum erstreckt sich über tief gelegene Lymphgefäße und zeigt ein infiltrativ-verdrängendes Wachstum ins umgebende Gewebe. Die oben genannten Gruppen können auch als Mischformen auftreten [Burgdorf et al., 1981].
Differenzialdiagnostisch ist insbesondere das kapilläre Hämangiom in Betracht zu ziehen, dessen Wachstumsverhalten sich innerhalb der ersten sechs Lebensmonate deutlich progredient zeigt und bei Verdeckung der Pupille zur Amblyopie führen kann. Hierbei handelt es sich um weichgewebliche Schwellungen mit einer starken Rückbildungstendenz innerhalb der ersten sieben Lebensjahre, sodass häufig ein konservatives Vorgehen ausreichend ist [Barnes et al., 2005]. Kavernöse Hämangiome hingegen treten gehäuft bei Erwachsenen im Bereich der Orbita auf, stellen jedoch nicht immer eine Indikation zur operativen Entfernung dar [Grehn, 2012].
Zur Diagnostik stehen insbesondere bildgebende Verfahren wie die Sonografie, die Computertomografie (CT) und die Magnetresonanztomografie (MRT) im Vordergrund. Sonografisch stellen sich Lymphangiome als zystische, durch Septen unterschiedlicher Dicke unterteilte Strukturen dar. Um jedoch eine exakte Aussage über die weichgewebliche Ausdehnung des Befunds treffen zu können, benötigt man eine MRT [Meinel und Daum, 1974; Giese, 2005]. Histologisch zeigen sich mit flachem Endothel ausgekleidete, erweiterte Lymphgefäße unterschiedlicher Größe ohne kapsuläre Begrenzung [Barnes et al., 2005]. Neueste Studien befassen sich mit der Frage, inwiefern sich Lymphangiome mittels Biomarkern wie MEK/ERK, BMP und Wnt/beta-catenin im peripheren Blut nachweisen lassen [Kim et al., 2019]. Die endgültige Diagnosestellung erfolgt mittels histopathologischer Aufarbeitung [Ganesh et al., 2013]. Ergänzend stehen die immunhistochemischen Marker CD31, CD34 und FVIII-rAg zur Verfügung [Burgdorf et al., 1981; Brown et al., 1999; Galambos und Nodit, 2005].
Im Gegensatz zu Hämangiomen bilden sich Lymphangiome nur sehr selten spontan zurück, weshalb – wie im vorliegenden Fall – eine konservative Therapie wenig Erfolg versprechend ist. Die chirurgische Exzision in toto gestaltet sich häufig aufgrund der komplexen Anatomie und des infiltrativen Wachstums wichtiger Strukturen schwierig. Zu den typischen postoperativen Komplikationen zählen die Entwicklung von Seromen, Infektionen und eine übermäßige Narbenbildung. Dennoch ist die chirurgische Vorgehensweise das Mittel der Wahl. Hierbei ist die Berücksichtigung sowohl des Ausmaßes als auch der Unterform essenziell. Ohne Erreichen einer vollständigen Resektion kommt es häufig zu Rezidiven innerhalb der ersten drei bis fünf Jahre nach dem Eingriff [Hancock et al., 1992; Zheng et al., 2005; Kotsis et al., 2019]. Eine weitere Therapieoption stellt die Sklerosierung des Tumors, insbesondere bei superfiziellen, leicht zugänglichen Läsionen dar. Vorteilhaft hierbei ist die fehlende Narbenbildung unter der Therapie. Superfizielle, mikrozystische Befunde können auch mittels CO2-Laser lokalablativ behandelt werden [Zheng et al., 2005].
Aufgrund der anderweitig nicht beherrschbaren Rezidivsituation erfolgte im vorliegenden Fall die chirurgische Exzision des Befunds. Zur Reduktion der Blutungsgefahr wurde eine Kombinationstherapie aus präoperativer Sklerosierung und anschließender chirurgischer Sanierung des Befunds gewählt. Insbesondere aufgrund des infiltrativ-verdrängenden Wachstums mit dem Risiko der Schädigung relevanter Nachbarstrukturen und eines funktionellen ebenso wie ästhetischen Defizits im Gesichtsbereich stellt die adäquate Diagnostik und Therapie des Lymphangioms eine ärztliche Kernkompentenz dar. Zahnärztlich relevant sind im Besonderen die adäquate Einschätzung des Blutungsrisikos unter enoral operativen Eingriffen wie auch die Abgrenzung gegenüber benignen und malignen Neoplasien im Kopf-Hals-Bereich.
Fazit für die Praxis
Typischerweise treten Lymphangiome bereits kongenital auf.Bei nicht vollständig exzidiertem Befund besteht eine hohe Rezidivgefahr.Eine Ausdehnung des Lymphangioms nach enoral kann zu starken Blutungen bei Zahnextraktionen führen. Bei Verdacht auf ein Lymphangiom ist eine präoperative umfassende Diagnostik essenziell.
Richard W. Frick
Klinik und Poliklinik für Mund-, Kiefer- und Gesichtschirurgie – Plastische Operationen
Universitätsmedizin der Johannes Gutenberg-Universität Mainz
Augustusplatz 2, 55131 Mainz
PD Dr. Dr. Peer W. Kämmerer, MA, FEBOMFS
Klinik und Poliklinik für Mund-, Kiefer- und Gesichtschirurgie – Plastische Operationen
Universitätsmedizin der Johannes Gutenberg-Universität Mainz
Augustusplatz 2,55131 Mainz
peer.kaemmerer@unimedizin-mainz.de
Literaturliste
Barnes, L., J. W. Eveson, P. Reichart and D. Sidransky (2005). World Health Organization Classification of Tumors. Pathology and genetics of head and neck tumours. Lyon, IARC Press.
Brown, M., T. Pysher and C. M. Coffin (1999). „Lymphangioma and congenital pulmonary lymphangiectasis: a histologic, immunohistochemical, and clinicopathologic comparison.“ Mod Pathol 12(6): 569-575.
Burgdorf, W. H., K. Mukai and J. Rosai (1981). „Immunohistochemical identification of factor VIII-related antigen in endothelial cells of cutaneous lesions of alleged vascular nature.“ Am J Clin Pathol 75(2): 167-171.
Galambos, C. and L. Nodit (2005). „Identification of lymphatic endothelium in pediatric vascular tumors and malformations.“ Pediatr Dev Pathol 8(2): 181-189.
Ganesh, C., G. S. Sangeetha, V. Narayanan and T. N. Umamaheswari (2013). „Lymphangioma circumscriptum in an adult: an unusual oral presentation.“ J Clin Imaging Sci 3: 44.
Giese, D. (2005). Lymphatische Malformationen im Kindesalter unter besonderer Berücksichtigung von Prognose und Spätergebnissen, Humboldt-Universität zu Berlin, Medizinische Fakultät - Universitätsklinikum Charité.
Grehn, F. (2012). Augenheilkunde. Berlin, Heidelberg, Springer-Lehrbuch.
Hancock, B. J., D. St-Vil, F. I. Luks, M. Di Lorenzo and H. Blanchard (1992). „Complications of lymphangiomas in children.“ J Pediatr Surg 27(2): 220-224; discussion 224-226.
Kim, T., E. Tafoya, M. P. Chelliah, R. Lekwuttikarn, J. Li, K. Y. Sarin and J. Teng (2019). „Alterations of the MEK/ERK, BMP, and Wnt/β-catenin pathways detected in the blood of individuals with lymphatic malformations.“ PLOS ONE 14(4): e0213872.
Kotsis, T., G. Exarchos, L. Metaxa and S. Triantos (2019). „Recurrent Neck Lymphangioma in a Young Adult: Twenty-Three Years After Successful Treatment.“ Vasc Endovascular Surg 53(2): 170-176.
Kudur, M. H. and M. Hulmani (2013). „Extensive and invasive lymphangioma circumscriptum in a young female: A rare case report and review of the literature.“ Indian Dermatol Online J 4(3): 199-201.
Llapur, E. C., J. M. Alvarez, O. P. Quevedo, M. V. Lemaur, S. P. Nesic and X. G. Urgelles (2011). „Cystic lymphangioma as a cause of massive abdominal hemorrhage.“ Case Rep Crit Care 2011: 492564.
Meinel, A. and R. Daum (1974). „Lymphangiome bei Kindern.“ Dtsch Arztebl International 71(45): 3237-3244.
Rai, P., R. N. Rao and S. B. Chakraborthy (2013). „Caecal lymphangioma: a rare cause of gastrointestinal blood loss.“ BMJ Case Rep 2013.
Zheng, J. W., Z. P. Qin and Z. Y. Zhang (2005). „[Management of lymphatic malformations in oral and maxillofacial regions: the rationale according to the new classification].“ Shanghai Kou Qiang Yi Xue 14(6): 553-556.
Zhou, Q., J. W. Zheng, H. M. Mai, Q. F. Luo, X. D. Fan, L. X. Su, Y. A. Wang and Z. P. Qin (2011). „Treatment guidelines of lymphatic malformations of the head and neck.“ Oral Oncol 47(12): 1105-1109.












