Osteogenesis imperfecta – eine seltene Erbkrankheit mit Bedeutung für die orale Medizin
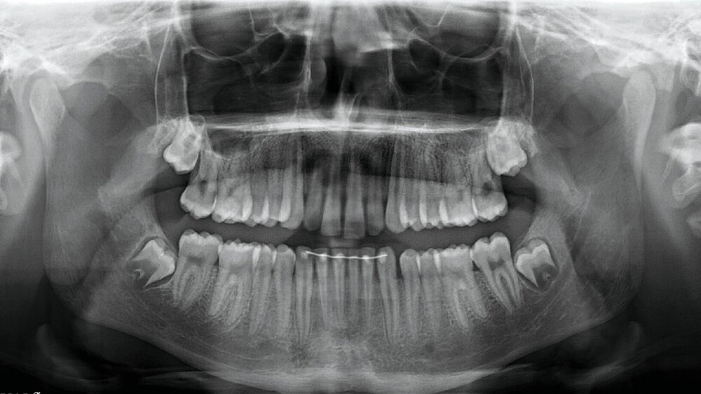
Im Januar 2023 stellte sich ein 17-jähriger Patient nach Überweisung vom Hauszahnarzt mit der Bitte um Mitbeurteilung in der Poliklinik der MKG-Chirurgie der Universitätsmedizin Mainz vor. Im Dezember 2022 waren ihm alio loco die Zähne 18 und 48 in Lokalanästhesie entfernt worden (Abbildung 1). Einige Stunden vor dem Zahnarztbesuch hatte der Patient ein lautes Knacken beim Kauen vernommen, was zu anschließenden Schmerzen geführt habe. Beim Zahnarzt erfolgte daraufhin eine Panoramaschichtaufnahme, die jedoch keinen sicheren Frakturausschluss ermöglichte.
Dieser Patient stellte sich nun mit Schmerzen und Druckdolenz im Kieferwinkel rechts vor. Der enorale Befund zeigte weder eine Fehlokklusion noch ein Os liberum, die faziale Sensomotorik war seitengleich intakt. Die allgemeine Anamnese förderte jedoch eine Osteogenesis imperfecta Typ I zutage („Glasknochenkrankheit“). Das ad domo angefertigte DVT ergab den Befund einer Fraktur an der Linea obliqua rechts (Abbildung 2).
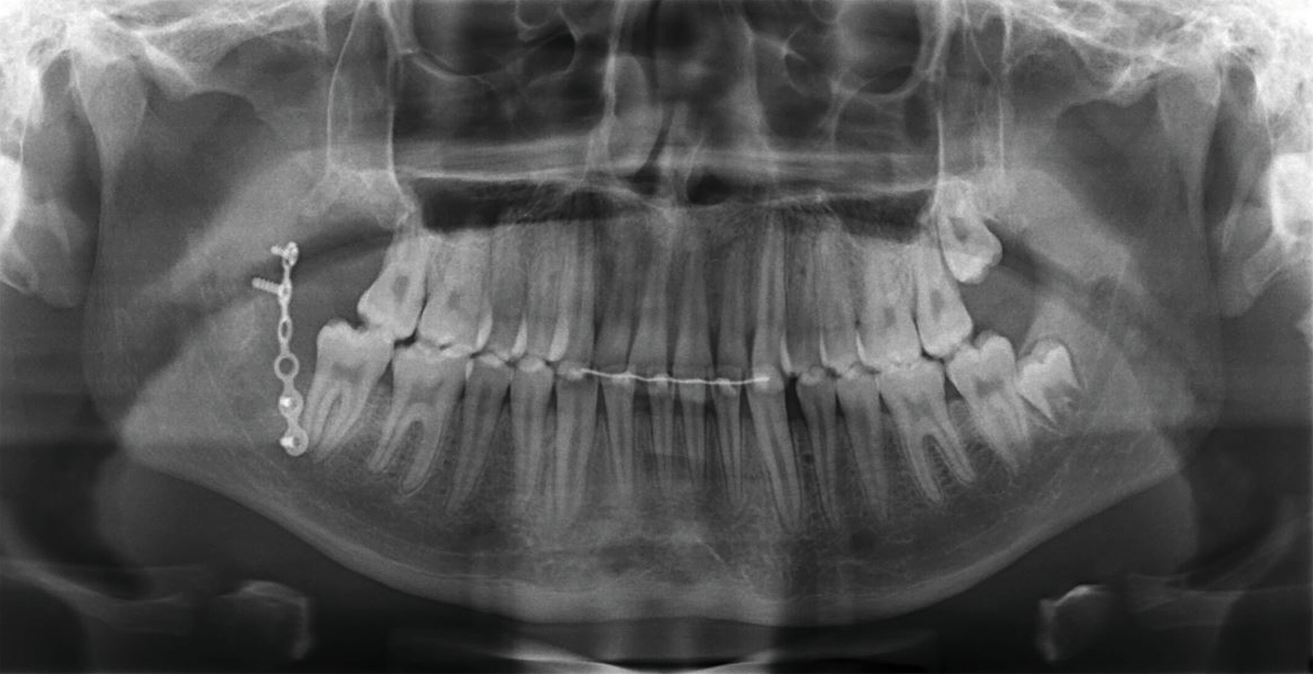
Nach ausführlicher Besprechung der Diagnose und der Therapieoptionen erfolgte am nächsten Tag die Reposition und Osteosynthese in Intubationsnarkose. Dabei konnte die Fraktur reponiert und mittels 6-Loch-Platte nach Champy stabilisiert werden (Abbildung 3). Der Patient konnte bei regelhafter postoperativer radiologischer Kontrolle am dritten postoperativen Tag in die ambulante Nachsorge entlassen werden.
Diskussion
Eine Fraktur ohne vorangegangenes Trauma wird in der Medizin als „pathologische“ Fraktur bezeichnet. In der Zahnmedizin können solche Ereignisse am Kieferknochen unter physiologischer Kaubelastung oder bei geringem Kraftaufwand beobachtet werden. Voraussetzung dafür ist eine vorangegangene Schwächung des Knochens durch beispielsweise Entzündungen, osteolytische Prozesse oder – wie hier – eine iatrogene Schwächung der Knochenstruktur [Gerhards et al., 1998]. Besonders der Kieferwinkel ist durch die anatomischen Begebenheiten nach kieferchirurgischen Eingriffen wie der Osteotomie der Sapientes eine Prädilektionsstelle für Frakturen dieser Art [Bodner et al., 2011; Bergt, 2016].
Die Osteogenesis imperfecta (OI), umgangssprachlich „Glasknochenkrankheit“, ist eine genetische Erkrankung, die mit einer reduzierten Knochenstabilität und -dichte einhergeht. Mit einer Inzidenz von circa 1:20.000 Lebendgeburten gehört sie zu den seltenen genetischen Erkrankungen [Hoyer-Kuhn et al., 2017; Palomo et al., 2017]. Die phänotypische Ausprägung und damit assoziierte Schwere der Erkrankung variiert stark und reicht von milden Formen ohne Knochenbrüche (Typ I) bis hin zu intrauterinen Frakturen und perinatalem Tod (Typ II) [Malmgren und Norgren, 2002; Rauch und Glorieux, 2004]. Die klassische Einteilung erfolgte 1979 anhand der klinischen Ausprägung durch Sillence et al. und umfasst die Typen I bis IV, im Jahr 2000 wurde sie um die Typen V bis VII erweitert. Weitere Vorschläge für genetische Klassifikationssysteme wurden über die Jahre basierend auf der Erforschung des Krankheitsbildes ergänzt [Glorieux, 2008; Van Dijk und Sillence, 2014].
Bei den häufigeren autosomal-dominant vererbten Formen liegt eine Mutation in einem der beiden Gene, die für die alpha-Kette im Kollagen Typ 1 kodieren (COL1A1 und COL1A2), zugrunde. Bei den autosomal-rezessiven Formen finden sich Mutationen in Genen für Proteine der Kollagenmodifizierung (CRTAP, LEPRE1, PPIB), -prozessierung (BMP1) oder -faltung (SERPINH1, FKBP10) [Marini und Cabral, 2018]. Extraskelettale Symptome können unter anderem blaue Skleren, Dentinogenesis Imperfecta, eine Hypermobilität der Gelenke und Schallleitungsschwierigkeiten sein [Rauch und Glorieux, 2004; Van Dijk und Sillence, 2014].
Aufgrund der Variabilität an Symptomen wird die Diagnose der OI oft primär klinisch anhand der Anamnese (wiederholte Frakturen bei inadäquatem Trauma) und der radiologischen Befunde gestellt, genetische Untersuchungen dienen weiterführend als Beweis der Verdachtsdiagnose. Des Weiteren sollte eine Osteoporose als Grund für die multiplen Knochenbrüche ausgeschlossen werden [Hoyer-Kuhn et al., 2017; Palomo et al., 2017]. In der Zahnarztpraxis kann die Diagnose der Dentinogenesis Imperfecta Hinweis auf eine zugrundeliegende OI sein.
Eine international anerkannte Leitlinie zur Behandlung der OI existiert derzeit noch nicht, die Therapie erfolgt meist symptombezogen sowie alters- und verlaufsabhängig [Monti et al., 2010; Palomo et al., 2017]. Dabei gliedert sich die interdisziplinäre Betreuung und Therapie von Patienten mit OI in verschiedene Arme. Neben der Physiotherapie und der chirurgisch-orthopädischen Behandlung spielt die individuelle medikamentöse Therapie eine wichtige Rolle. Die meisten Medikamente werden außerhalb der Zulassung verabreicht, ganz im Sinne eines „individuellen Heilungsversuchs“.
Besonders in der Wachstumsphase führt die intravenöse Gabe von Bisphosphonaten zu einer Zunahme der Knochenmasse. Die Schwere der Krankheit und das Alter der Patienten korrelieren dabei mit dem Therapieerfolg. Therapieansätze mit dem RANKL-Inhibitor Denosumab sind derzeit Gegenstand der Forschung. Ein weiterer Grundbaustein der Therapie ist die adäquate Vitamin-D-Substitution in den Wintermonaten [Monti et al., 2010; Cho et al., 2020; Semler et al., 2020].
Die chirurgische Therapie folgt den grundsätzlichen Prinzipien der Frakturversorgung, wobei auch bei Patienten mit OI von einer suffizienten Heilung ausgegangen werden kann. Nichtsdestotrotz sind bei elektiven chirurgischen Interventionen besondere Kautelen geboten. Eine besonders gründliche Anamnese (und damit die Kenntnis der individuellen Krankheitsgeschichte) sowie die strukturierte Planung anhand von Untersuchungen und Bildgebungen sind vor dem Eingriff unerlässlich [Semler et al., 2020].
Pathologische Frakturen nach Weisheitszahnosteotomie zählen zu den seltenen Komplikationen. In Situationen wie im vorliegenden Fall bei dem Patienten mit Osteogenesis Imperfecta sollte jedoch besondere Vorsicht geboten sein. Allgemein lässt sich sagen, dass eine hinreichende Indikation zur Osteotomie der Sapientes vorliegen sollte. Ein präoperativ angefertigtes DVT hätte eventuell zur besseren Planung und Risikoeinschätzung beitragen können.
Fazit für die Praxis
Die Osteogenesis Imperfecta ist eine seltene Krankheit mit heterogener Ausprägung, wodurch auch die Diagnosestellung erschwert sein kann.
Bei rezidivierenden Knochenbrüchen nach inadäquatem Trauma in der Anamnese sollte gegebenenfalls eine weitere Abklärung erfolgen.
Bei Anzeichen einer Dentinogenesis Imperfecta sollte eine damit assoziierte OI in Betracht gezogen werden.
Bei gesicherter Osteogenesis Imperfecta sollten elektive Eingriffe möglichst vermieden und nur unter besonderen Kautelen nach ausführlicher Anamnese, Planung und Bildgebung durchgeführt werden.
Bei Bisphosphonattherapie in der Vergangenheit traumatische Eingriffe vermeiden, scharfe Knochenkanten entfernen und Defekte plastisch decken.
Bei der Aufklärung sollte verdeutlicht werden, dass ein erhöhtes Risiko für eine Kieferfraktur vorliegt, und der Patient über das postoperative Verhalten instruiert werden. Zu den allgemeinen Maßnahmen zählen Schonung und Kühlung, man hätte in diesem Fall auch weiche Kost für mehrere Wochen in Erwägung ziehen können, da hohe Kaufkräfte maßgeblich an der Entstehung von pathologischen Frakturen beteiligt sind. Intraoperativ kann auch die Auffüllung der Extraktionsalveole mit Kollagenvlies oder Knochen(ersatz)material in Betracht gezogen werden. Ob diese Maßnahmen letzten Endes zur Vermeidung der Fraktur geführt hätten, bleibt jedoch ungewiss.
<bibliography>
Bergt, P. M. (2016). Die pathologische Fraktur des Unterkiefers-Eine retrospektive Analyse des Patientengutes der Mund-, Kiefer-und Gesichtschirurgischen Klinik am Universitätsklinikum Erlangen, Erlangen, Friedrich-Alexander-Universität Erlangen-Nürnberg (FAU), Diss., 2016.
Bodner, L., P. A. Brennan and N. M. McLeod (2011). "Characteristics of iatrogenic mandibular fractures associated with tooth removal: review and analysis of 189 cases." Br J Oral Maxillofac Surg 49(7): 567-572.
Cho, T. J., J. M. Ko, H. Kim, H. I. Shin, W. J. Yoo and C. H. Shin (2020). "Management of Osteogenesis Imperfecta: A Multidisciplinary Comprehensive Approach." Clin Orthop Surg 12(4): 417-429.
Gerhards, F., H. D. Kuffner and W. Wagner (1998). "Pathological fractures of the mandible. A review of the etiology and treatment." Int J Oral Maxillofac Surg 27(3): 186-190.
Glorieux, F. H. (2008). "Osteogenesis imperfecta." Best Practice & Research Clinical Rheumatology 22(1): 85-100.
Hoyer-Kuhn, H., J. Bartz-Seel, R. Blickheuser, U. v. Deimling, R. Stücker, T. Wirth, J. Wolf, K. H. Wollinsky and O. Semler (2017). "Diagnostik und Therapie der Osteogenesis imperfecta." Monatsschrift Kinderheilkunde 165(4): 333-346.
Malmgren, B. and S. Norgren (2002). "Dental aberrations in children and adolescents with osteogenesis imperfecta." Acta Odontologica Scandinavica 60(2): 65-71.
Marini, J. C. and W. A. Cabral (2018). Chapter 23 - Osteogenesis Imperfecta. Genetics of Bone Biology and Skeletal Disease (Second Edition). R. V. Thakker, M. P. Whyte, J. A. Eisman and T. Igarashi, Academic Press: 397-420.
Monti, E., M. Mottes, P. Fraschini, P. Brunelli, A. Forlino, G. Venturi, F. Doro, S. Perlini, P. Cavarzere and F. Antoniazzi (2010). "Current and emerging treatments for the management of osteogenesis imperfecta." Ther Clin Risk Manag 6: 367-381.
Palomo, T., T. Vilaça and M. Lazaretti-Castro (2017). "Osteogenesis imperfecta: diagnosis and treatment." Current Opinion in Endocrinology & Diabetes and Obesity 24(6): 381-388.
Rauch, F. and F. H. Glorieux (2004). "Osteogenesis imperfecta." The Lancet 363(9418): 1377-1385.
Semler, O., U. Kornak, R. Oheim and L. Seefried (2020). "Genetische Ursachen und Therapie der Osteogenesis imperfecta." Osteologie 29(04): 302-310.
Van Dijk, F. S. and D. O. Sillence (2014). "Osteogenesis imperfecta: Clinical diagnosis, nomenclature and severity assessment." American Journal of Medical Genetics Part A 164(6): 1470-1481.
</bibliography>







