Manifestation eines palatinalen B-Zell-Lymphoms
Thomas Ziebart, Christian Walter
Ein 73-jähriger Patient wurde bei bereits seit Monaten bestehender, progredienter Schwellung im Bereich des Alveolarkamms über seinen Hauszahnarzt vorstellig.
Anamnestisch war bei dem Patienten fünf Jahre zuvor gluteal ein diffuses, kutanes, großzelliges B-Zell-Lymphom diagnostiziert worden, das exzidiert und anschließend radiiert wurde. Bei Verdacht auf Rezidiv des B-Zell-Lymphoms vier Jahre später wurde eine dermatologische Vorstellung durch den Patienten zur Probengewinnung nicht wahrgenommen und der Patient ging aus dem Recall verloren. Wegen Beschwerden des Oberkiefers links konsultierte er dann seinen Zahnarzt, der zunächst bei Verdacht auf Osteomyelitis eine antimikrobielle Therapie einleitete. Aufgrund des sich entwickelnden knöchernen Defekts mit deutlich zunehmender Schwellung wurde der Patient erneut überwiesen.
Klinisch zeigte sich eine etwa 4 cm x 3 cm große, nicht verschiebliche Schwellung im Bereich des zahnlosen Alveolarkamms von regio 25 bis 28 vom Gaumen bis fast zur Mittellinie, die das Vestibulum teilweise mit einbezog. Die Schleimhaut war im Bereich der größten Schwellung – auf dem Alveolarkamm – mazeriert mit zentraler Ulzeration (Abbildung 1).
In einer zum Zeitpunkt der Erstvorstellung bereits vorliegenden digitalen Volumentomografie imponierte eine komplette Verschattung der linken Kieferhöhle mit partiell schwer abgrenzbarer knöcherner Kieferhöhlenberandung mit Auflösung des Kieferhöhlenbodens (Abbildung 2).
Bei der klinischen Untersuchung des Halses fielen multiple vergrößerte Lymphknoten zervikal beidseits auf. Zur Befundsicherung erfolgten eine Probeexzision aus dem Gaumen sowie die Entnahme eines vergrößerten submandibulären Lymphknotens ipsilateral (Abbildung 3).
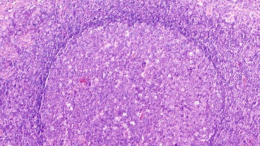
Die histopathologische Beurteilung bestätigte die Verdachtsdiagnose mit diffus großzelligem B-Non-Hodgkin-Lymphom (Abbildung 4a). Immunhistochemisch war der Tumor CD-20- (Abbildung 4b) und bcl-2- positiv. Die Histologie des Lymphknotens zeigte eine weitgehend erhaltene Lymphknotenarchitektur (Abbildung 4c). Die normalerweise bcl-2-negativen Keimzentren zeigten in der durchgeführten Immunhistologie eine kräftige Anfärbung gegen bcl-2 und bewiesen somit auch hier eine Infiltration des Lymphoms.
In der weiterführenden ambulanten Behandlung schloss sich ein vollständiges Staging bestehend aus CT Kopf-Hals und CT Thorax-Adomen an. Hier zeigten sich keine weiteren verdächtigen Lymphknoten oder Befunde. Zur Einleitung einer systemischen Therapie wurde der Patient an die Hämatoonkologie weitervermittelt.
Diskussion
Maligne Lymphome sind primäre Neoplasien des lymphatischen Gewebes, das heißt von unterschiedlichen Entwicklungsstadien der B-Lymphozyten, T-Zellen und natürlichen Killerzellen. Die Lymphome können dabei innerhalb (nodale Lymphome: etwa zwei Drittel aller Fälle) oder außerhalb von Lymphknoten (extranodale Lymphome: etwa ein Drittel aller Fälle, Manifestationsorte häufig Haut oder Gastrointestinaltrakt) entstehen. Eingeteilt werden sie traditionellerweise in Hodgkin- und Non-Hodgkin-Lymphome. Hodgkin-Lymphome sind monoklonale B-Zell-Lymphome die sich durch das Vorliegen von Hodgkin- Reed-Sternberg-Zellen auszeichnen, die im Non-Hodgkin-Lymphom nicht anzutreffen sind. Sonderformen unter den malignen Lymphomen sind das Plasmozytom und die chronisch lymphatische Leukämie.
Seit 2001 gibt es eine neue, weltweit anerkannte Klassifikation, die einen stärkeren Fokus auf die Zelllinie und deren Differenzierungsgrad legt, derer das Lymphom entstammt [Jaffe et al., 2001].
In Deutschland erkranken jährlich etwa 2 000 Menschen an einem Hodgkin- und 12 900 Menschen an einem Non-Hodgkin-Lymphom [Robert-Koch-Institut, 2008], wobei die Inzidenz seit den 1950er-Jahren um etwa das Vierfache zugenommen hat [Zeeb et al., 2001]. Etwas mehr Frauen als Männer sind betroffen. Insgesamt machen das Hodgkin- und das Non-Hodgkin- Lymphom zwischen zwei bis drei Prozent aller Krebssterbefälle in Deutschland aus. Die Fünf-Jahres-Überlebensraten für das Hodgkin-Lymphom liegen bei Männern und Frauen zwischen 87 und 97 Prozent, beim Non-Hodgkin-Lymphom zwischen 62 und 66 Prozent [Robert-Koch-Institut, 2008].
Wegen des Reichtums an lymphatischem Gewebe ist eine Manifestation von Lymphomen in der Kopf-Hals-Region nichts Unübliches. Mit 300 Lymphknoten befinden sich knapp 40 Prozent aller Lymphknoten des menschlichen Körpers in der Kopf-Hals-Region [Som, 1987], hinzu kommen unter anderem der Waldeyer’sche Rachenring und das Mucosa-assoziierte-lymphatische-Gewebe (MALT).
In Abhängigkeit vom Grundzustand des Patienten und vom Stadium der Erkrankung besteht die Therapie aus Strahlentherapie, Polychemotherapie, dem Einsatz von Antikörpern oder aus einer kombinierten Radio-Chemotherapie. Die Chirurgie stellt die Ausnahme dar.
Differenzialdiagnostisch kommen von der Lokalisation her viele weitere Erkrankungen infrage: Speicheldrüsentumore, Karzinome und Sarkomen, die unter anderem ihren Ursprung in der Kieferhöhle haben können.
Der vorliegende Fall soll jedoch nochmals die Wichtigkeit der Anamnese vermitteln. Die bestehende Lymphomhistorie in Verbindung mit dem enoralen Befund und der Hals-Lymphknotenschwellung legte die Verdachtsdiagnose des erneuten Auftretens des malignen Lymphoms nahe. Nach Verifizierung der Diagnose konnte der Patient einer entsprechenden Therapie zugeführt werden.
Dr. Dr. Dr. Thomas Ziebart
PD Dr. Dr. Christian Walter
Klinik für Mund-, Kiefer- und Gesichtschirurgie
Universitätsmedizin der Johannes Gutenberg-Universität
Augustusplatz 2
55131 Mainz
walter@mkg.klinik.uni-mainz.de
Info
Fazit für die Praxis
• Die Anamnese ist ein überaus wichtiges Instrument zur Diagnosefindung.
• Aufgrund des Reichtums an lymphatischem Gewebe ist eine Manifestation von malignen Lymphomen in der Kopf-Hals-Region keine Seltenheit.
• Die Chirurgie dient der Stellung der Diagnose, nicht aber der Therapie.




